Antegrade vs retrograde nailing of the femur moderated

  • Slides: 16
Download presentation
Antegrade vs retrograde nailing of the femur moderated interactive session AOTrauma Advances Course

Antegrade vs retrograde nailing of the femur moderated interactive session AOTrauma Advances Course

Learning outcomes • Outline and discuss the steps of antegrade and retrograde intramedullary nailing

Learning outcomes • Outline and discuss the steps of antegrade and retrograde intramedullary nailing with emphasis on correct entry point • Assess the indications for plating femoral shaft fractures • List potential complications of both techniques

Closed simple midshaft femoral fracture Your treatment of choice is? 1. Antegrade nailing—piriformis entry

Closed simple midshaft femoral fracture Your treatment of choice is? 1. Antegrade nailing—piriformis entry point 2. Antegrade nailing—trochanteric entry point 3. Retrograde nailing 4. Minimally invasive plating 5. Conventional open plating

Closed complex (32 -B or 32 -C) midshaft femoral fracture Your treatment of choice

Closed complex (32 -B or 32 -C) midshaft femoral fracture Your treatment of choice is? 1. Antegrade nailing—piriformis entry point 2. Antegrade nailing—trochanteric entry point 3. Retrograde nailing 4. Minimally invasive plating 5. Conventional open plating

30 -year-old patient with a closed midshaft femoral fracture and associated displaced femoral neck

30 -year-old patient with a closed midshaft femoral fracture and associated displaced femoral neck fracture Your treatment of choice is? 1. Antegrade reconstruction nail 2. ORIF femoral neck + retrograde IM nailing 3. ORIF femoral neck + plating of femoral shaft

Key points from lectures Femoral shaft fractures—plate fixation • Indicated in neck/shaft fractures, periprosthetic

Key points from lectures Femoral shaft fractures—plate fixation • Indicated in neck/shaft fractures, periprosthetic fractures, children, periarticular fractures • Success depends on meticulous surgical technique in both ORIF and MIPO • Restore axial alignment, length, and rotation • Plate can be used as a reduction aid

Key points from lectures Femoral shaft fractures—nail fixation • Reamed antegrade piriformis entry nailing

Key points from lectures Femoral shaft fractures—nail fixation • Reamed antegrade piriformis entry nailing is the gold standard • Trochanteric entry point seems easier but it has no better outcomes than piriformis entry point • Retrograde nailing has clear indications

19 -year-old in a motorcycle accident • Injury to right femur • Closed •

19 -year-old in a motorcycle accident • Injury to right femur • Closed • Neurovascular structures intact • Stable vital signs

Your treatment of choice is: 1. Piriformis entry, antegrade nail 2. Trochanteric entry, antegrade

Your treatment of choice is: 1. Piriformis entry, antegrade nail 2. Trochanteric entry, antegrade nail 3. Retrograde nail 4. Plate

Same patient: 19 -year-old in a motorcycle accident • • • Injury to right

Same patient: 19 -year-old in a motorcycle accident • • • Injury to right femur Closed Neurovascular structures intact Stable vital signs Mid-shaft femoral fracture on left side • Very short and obese

Your treatment of choice is: 1. Piriformis entry, antegrade nail 2. Trochanteric entry, antegrade

Your treatment of choice is: 1. Piriformis entry, antegrade nail 2. Trochanteric entry, antegrade nail 3. Retrograde nail 4. Plate

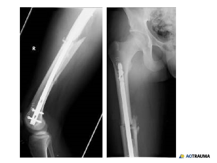
Same patient: 19 -year-old in a motorcycle accident • • Injury to right femur

Same patient: 19 -year-old in a motorcycle accident • • Injury to right femur Closed Neurovascular structure intact Stable vital signs Mid-shaft femoral fracture on left side Very short and obese Mid-shaft tibial fracture on right side • Patella fracture on right side

Your treatment of choice is: 1. Piriformis entry, antegrade nail 2. Trochanteric entry, antegrade

Your treatment of choice is: 1. Piriformis entry, antegrade nail 2. Trochanteric entry, antegrade nail 3. Retrograde nail 4. Plate

Summary • Antegrade piriformis entry/point nailing is the gold standard in treatment of mid-shaft

Summary • Antegrade piriformis entry/point nailing is the gold standard in treatment of mid-shaft femoral fractures • There are some indications for a retrograde nail • Equivalent outcomes using different nailing techniques • Each technique has complications/problems • Important to have skills in each technique • There are some indications for modern plating • Know tricks and pearls for success with each technique