ANKLE ARTHRODESIS DR ABHISHEK SHETTY ANKLE ARTHRODESIS SURGICAL

ANKLE ARTHRODESIS DR ABHISHEK SHETTY

ANKLE ARTHRODESIS • SURGICAL FUSION OF ANKLE JOINT • PROCEDURE OF CHOICE FOR CHRONIC PAINFUL ANKLE ARTHRITIS • NOT ALWAYS PERFECT IN OUTCOME • CAN OBTAIN A STABLE , PAIN FREE ANKLE • DRAMATIC IMPROVEMENT IN THE FUNCTION AND QUALITY OF LIFE IN PATIENTS


BIOMECHANICAL ASPECTS • PRIMARILY A HINGE JOINT, THERE IS CONTINUOUSLY CHANGING AXIS OF ROTATION THROUGHOUT THE RANGE OF MOTION OF TIBIOTALAR JOINT • TALUS SITS WITHIN A WELL DEFINED , STABLE ARCHITECTURE OF THE ANKLE JOINT • NORMAL GAIT REQUIRES 10 -12 DEGREE OF ANKLE EXTENSION

• INTRAARTICULAR • EXTRAARTICULAR • COMBINED EXTRA AND INTRAARTICULAR

ALTERNATIVES TO ANKLE ARTHRODESIS • NON OPERATIVEBRACING TO LIMIT MOTION NSAIDS INTRAARTICULAR STEROID INJECTIONS INTRAARTICULAR HYALURONATE INJECTION

• OPERATIVEOPEN/ARTHROSCOPIC DEBRIDEMENT REALIGNMENT OSTEOTOMIES DISTRACTION ARTHROPLASTY ALLOGRAFT REPLACEMENT TOTAL ANKLE ARTHROPLASTY

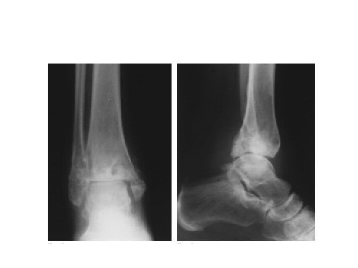
INDICATIONS • • • POST TRAUMATIC ARTHRITIS OSTEOARTHRITIS RHEUMATOID ARTHRITIS GOUT POSTINFECTIOUS ARTHRITIS CHARCOT NEUROARTHROPATHY OSTEONECROSIS OF TALUS FAILURE OF TOTAL ANKLE ARTHROPLASTY NEUROMUSCULAR DISORDERS


CONTRAINDICATIONS • ABSOLUTE-VASCULAR IMPAIRMENT INFECTION OF SKIN • RELATIVE-PREEXISTING MODERATE TO SEVERE IPSILATERAL HINDFOOT ARTHROSIS & CONTRALATERAL ANKLE ARTHROSIS LIKELY REQUIRE SURGICAL TREATMENT IN THE FUTURE

PATIENT EVALUATION CAREFUL HISTORY ASSESMENT OF MEDICAL COMORBIDITIES GOOD GLYCEMIC CONTROL TO R/O PERIPHERAL VASCULAR DISEASE AVOID IN ACTIVE SMOKERS AVOID ANTI TUMOR NECROSIS FACTOR – ALPHA MEDICATIONS • PREVENT VITAMIN D DEFICIENCY • • •

RADIOGRAPHIC EVALUATION • X RAY ANKLE (AP/LATERAL) INCLUDE AS MUCH OF DISTAL TIBIA • COMPUTED TOMOGRAPHY • NUCLEAR MEDICINE IMAGING


OTHER INVESTIGATIONS • WHITE BLOOD CELL COUNT • ESR • C REACTIVE PROTEIN

SUBTALAR COMPLEX • TALO CALCANEUM • TALO NAVICULAR • CALCANEOCUBOID


TECHNIQUES • NEUTRAL FLEXION/EXTENSION, EXTERNAL ROTATION OF 5 DEGREES , 5 DEGREES OF VALGUS AND SLIGHT POSTERIOR TRANSLATION OF THE TALUS UNDER THE TIBIA • FUSION OF ANKLE JOINT IN PLANTAR FLEXION RESULTS IN GENU RECURVATUM

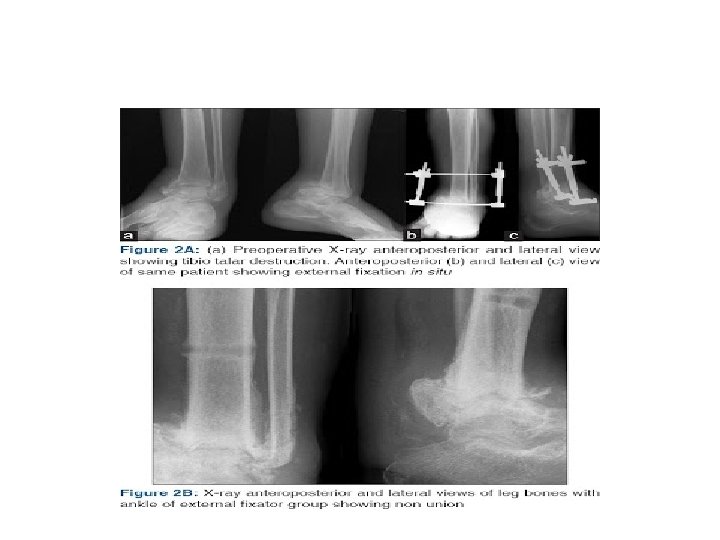
GENERAL RULE • EXTERNAL FIXATORS –PREFERRED FOR PREEXISTING SEPTIC JOINT AND THEN WITH SEVERE OSTEOPENIA • ARTHROSCOPIC ARTHRODESIS(MINI OPEN)WITH MINIMAL DEFORMITY • OPEN ARTHRODESIS- SIGNIFICANT ANKLE DEFORMITY & FOOT ANKLE MALALIGNMENT

APPROACHES • ANTERIOR APPROACH • POSTERIOR APPROACH • TRANSMALLEOLAR(TRANSFIBULAR)APPROACH

CHARNLEY’S EXTERNAL FIXATOR • COMBINED OPEN SURGICAL DEBRIDEMENT AND APPLICATION OF EXTERNAL FIXATOR • ONE PIN THROUGH THE TIBIA & ONE THROUGH THE NECK OF TALUS WITH CONNECTING BARS BETWEEN THE PINS • INTACT ACHILLES TENDON-TENSION BAND • AFTER 8 WEEK – BEAR WEIGHT • AFTER REMOVAL-IMMOBILIZED IN B/K CAST -4 WEEKS

CALANDRUCCIO EXTERNAL FIXATOR • TRIANGULAR CONFIGURATION-TO ACHIVE STABILITY & COMPRESSION ACROSS TIBIOTALAR JOINT • PINS-THROUGH TIBIA , THE NECK & BODY OF THE TALUS • FUSION SITE-BUTTRESSED WITH BIMALLEOLAR ONLAY BONE GRAFT • DOESN’T REQUIRE INTACT ACHILLES TENDON


CALANDRUCCIO II EXTERNAL FIXATOR


ARTHROSCOPIC ARTHRODESIS • • WITH MINIMAL DEFORMITY DIFFICULT TO CORRECT SEVERE FORMS 2 TO 3 PORTALS MEDIAL TO TIBIALIS ANTERIOR TENDON, LATERAL TO EXTENSOR DIGITORUM LONGUS, 3 RD TO LATERAL TO THE PERONEUS TERTIUS TENDON

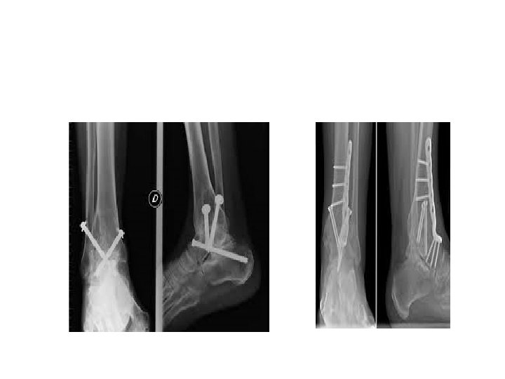
CONTINUED • AFTER PREPARATION , COMPRESSION OF THE JOINT SURFACES WITH INTERNAL FIXATOR • 2 CANNULATED SCREWS PLACED ACROSS THE TIBIA INTO THE TALUS • 1 ST-LATERAL ASPECT OF TIBIA INTO THE NECK OF THE TALUS • 2 ND-MEDIAL MALLEOLUS INTO THE LATERAL ASPECT OF TALUS • POST OPERATIVELY-5 WEEKS NON WEIGHT BEARING

ARTHROSCOPIC APPROACH

OPEN ARTHRODESIS • TWO INCISION TRANSFIBULAR EXPOSURE • CAN USED FOR ANY PATIENTS • USEFUL FOR PATIENTS WITH SEVERE ANKLE JOINT DEFORMITY • BETTER VISUALIZATION, IMPROVED ASSESS FOR BONE RECESSION, CORRECTION OF DEFORMITY & SCREW PLACEMENT

• 1 ST –DIRECTLY OVER DISTAL FIBULA • 2 ND-ANTERIOR THIRD OF MEDIAL MALLEOLUS

INSIDE OUT TECHNIQUE • HOLT ET AL • TO PLACE A POSTEROLATERAL TIBIOTALAR SCREW THROUGH THE POSTEROLATERAL TIBIAL CORTEX INTO THE HEAD OF TALUS


POSTERIOR SCREW FIXATION • SWLRD ET AL • POSTERIOR INTERNAL COMPRESSION BY TWO POSTERIOR CACELLOUS SCREWS WITH WASHERS INSERTED OBLIQUELY ACROSS THE TIBIOTALAR JOINT & DOWN INTO THE NECK OF TALUS • AUTOGENOUS CANCELLOUS BONE CHIP FROM THE ILIAC CREST INTO THE JOINT


STUDY BY OGILVIE-HARRIS • 3 CROSSED SCREWS GENERATED SIGNIFICANTLY MORE COMPRESSION & RESISTANCE TO TORQUE ACROSS THE ARTHRODESIS SITE THAN 2 SCREWS • BETTER COMPRESSION WHEN LATERAL SCREW PLACED FIRST • ONE LATERALLY, ONE MEDIALLY, ONE ANTERIORLYFROM TIBIA TO TALUS


ANTERIOR TENSION PLATE FIXATION

TIBIOTALAR ARTHRODESIS WITH ILIAC CREST BONE GRAFT • CHUINARD & PETERSON • ANTERIOR LONGITUDINAL INCISION BETWEEN EHL & EDL TENDONS • REMOVE THE ARTICULAR CARTILAGE FROM THE HORIZONTAL SURFACE OF TIBIA & TALUS • GRAFT FROM ANTERIOR SUPERIOR ILIAC SPINE


TIBIOTALAR ARTHRODESIS WITH SCREW FIXATION • MANN ET AL • INCISION-10 CM PROXIMAL TO THE TIP OF FIBULA AND CARRYING IT DOWN ALONG THE FIBULAR SHAFT. DISTALLY 10 CM TOWARS THE BASE OF FOURTH METATARSAL • OSTEOTOMIZE THE FIBULA APPROX 2 CM PROXIMAL TO ANKLE JOINT


MINIARTHROTOMY TECHNIQUE • MILLER, PAREMAIN & MYERSON • MAKE 1. 5 CM INCISIONS, ONE AT ANTEROLATERAL & ONE AT ANTEROMEDIAL

INCISION

• • TIBIOTALAR ARTHRODESIS WITH NARROWING OSTEOTOMIES OF THE MALLEOLI STEWART & HARLEY TECHNIQUE COMPRESSION ARTHRODESIS ANTEROMEDIAL & ANTEROLATERAL INCISION LONGITUDINAL WEDGE OF BONE IS REMOVED FROM THE INNER THIRD OF THE MEDIAL MALLEOLUS, MEDIAL SIDE OF TIBIA & MEDIAL SIDE OF TALAR BODY

• LONGITUDINAL WEDGE BONE IS REMOVED FROM THE LATERAL SIDE OF METAPHYSIS OF THE DISTAL END OF TIBIA, LATERAL SIDE OF TALAR BODY, MEDIAL TWO THIRD OF FIBULA




TIBIOTALOCALCANEAL ARTHRODESIS • WITH INTRAMEDULLARY NAILING • GRAVES ET AL




BLAIR FUSION • TIBIOTALAR ARTHRODESIS WITH A SLIDING BONE GRAFT • PROCEDURE THAT FUSES THE DISTAL TIBIA TO THE TALAR NECK • BODY OF THE TALUS HAS BEEN LOST OR IS OSTEONECROTIC



POSTERIOR ARTHRODESIS • PERMITS LENGTHENING OF THE ACHILLES TENDON & ANKYLOSIS OF THE ANKLE & SUBTALAR JOINT • RARELY USED • CAMPBELL APPROCH • 7. 5 CM LONGITUDINAL INCISION MEDIAL TO & PARALLEL WITH THE ACHILLES TENDON OVER THE POSTERIOR ASPECT OF ANKLE

• REMOVE THE POSTERIOR PORTION OF THE TALUS & POSTERIOR PORTION OF ARTICULAR SURFACES OF THE ANKLE & SUBTALAR JOINT • BONE GRAFT FROM POSTERIOR ASPECT OF DISTAL TIBIA & SUPERIOR ASPECT OF CALCANEUM


COMPLICATIONS • Non-union is the most common complication following ankle arthrodesis • Others include – – Infection Never injury malunion wound problems

THANK YOU
- Slides: 59