Animal Histology BIOL 241 Topic 10 Digestive System
Animal Histology BIOL 241 Topic 10: Digestive System II: Extrinsic Glands Dr. Issa Al-Amri Department of Biological Sciences & Chemistry College of Arts & Sciences
Digestive system: extrinsic glands Extrinsic glands of digestive system A. Include: major salivary glands, pancreas, and liver (with associated gallbladder), all are outside wall of digestive tract. B. Produce: enzymes, buffers, emulsifiers, and lubricants delivered to lumen of digestive tract via system of ducts. C. Produce: hormones blood proteins, and other products.
Major Salivary glands I. Major Salivary Glands • Consist of three paired exocrine glands: parotid, submandibular, and sublingual. A. Function: • Synthesize and secrete salivary amylase, lysozyme, lactoferrin, and secretory component. • Release enzyme kallikrein into connective tissue, which enters bloodstream; it converts kininogens into vasodilator and bronchial smooth muscle contractant bradykinin
Major Salivary glands B. Structure: • Salivary glands: compound tubuloacinar (tubuloalveolar) glands. • Further classified as: serous, mucous, or mixed (both serous and mucous), depending on type of secretory acini they contain. • Surrounded by: capsule of dense irregular collagenous connective tissue with septa that subdivide each gland into lobes and lobules. • Neurovascular elements serving these glands conveyed to acinar cells within connective tissue septa.
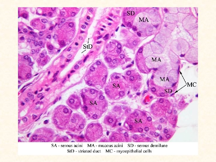
Major Salivary glands: acini 1. Salivary gland acini: a. Consist of pyramidal serous or mucous cells arranged around central lumen that connects with intercalated duct. Mucous acini overlaid with crescent-shaped serous cells called serous demilunes. b. Contain myoepithelial cells share basal lamina of acinar cells. The acinus and its associated intercalated and striated ducts form salivon, the functional unit of a salivary gland. c. Release primary secretion, modified in ducts to produce the final secretion. d. Classified according to their types of acini: 1. Parotid glands: has serous acini; classified as serous. 2. Sublingual glands: mucous acini, serous demilunes; mixed. 3. Submandibular glands: serous and mucous; mixed
Salivary Glands Figure 1 : Parotid gland -Serous gland, with connective tissue capsule sending trabeculae (T) Into substance of gland, subdividing it into lobules(Lo) -Surrounding small blood vessels( BV) and intralobular ducts(i. D) -Interlobular ducts(ID), connective tissue(CT) -Acini (Ac) packed within each lobule -Round nuclei(N) of serous acini basally located -Lateral cell membranes (arrows) not clearly visible -Slender sheets of connective tissue (arrowheads) investing each acinus Figure 2: Sublingual gland Figure 3: Sublingual gland Figure 4: Submandibular gland -Mucous acini (MA) with dark nuclei (N) in basal cell membrane -Mucous acini capped by serous cells, forming a crescentshaped cap: serous demilune(SD) -Connective tissue septa (CT) -Higher mag. of Figure 2 -Fattened, dark nuclei (N) of mucous acini -Cytoplasm occupied by small, mucin-containing vesicles (arrows) -Lateral cell membrane (arrowheads) -Lumen (L), Serous demilunes (SD) -Serous-producing cells nuclei (N) are round to oval -Serous (SA), mucous acini (MA), extensive duct system (D) -Round nuclei, pale cytoplasm and large lumina (L) -Gland subdivided into lobes and lobules by connective tissue septa (CT) -Granular appearance of cells with serous demilune (SD), in contrast with “frothy” appearing cytoplasm of mucous acinus (MA)
Salivary Gland (TEM) Figure 1 : Sublingual gland -Composed mostly of mucous acini capped by serous demilunes. -Mucous cells (mc) display many filamentous bodies(f) and secretory granules, which appear to be empty (asterisks). -Serous cells (dc) recognized by their paler cytoplasm and presence of secretory granules (arrows)housing electron-dense materials. -Presence of myoepithelial cells (myo), whose processes (arrow-heads) encircle acinus.
Major Salivary glands: ducts 2. Salivary gland ducts: a. Intercalated ducts: originate in acini and join to form striated ducts. Deliver bicarbonate ions into primary secretion. b. Striated (intralobular) ducts: • Lined by ion-transporting cells: transform primary saliva (by acinar cells) into secondary saliva; that enters oral cavity. • Form interlobular (excretory) ducts in connective tissue septa; drain into duct of each gland; empties into oral cavity. c. Saliva (Hypotonic solution produced at rate 1 L per day): • • • Lubricates, cleanses oral cavity by its water & glycoprotein. Controls bacterial flora by lysozyme, lactoferrin, and Ig. A. Initiates digestion of carbohydrates by salivary amylase. Assists in process of deglutition (swallowing). Acts as solvent for substances stimulate taste buds.
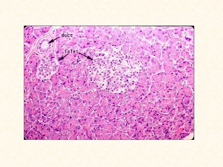
Pancreas (exocrine: aciner cells) II. PANCREAS • Has slender connective tissue capsule. • Produces digestive enzymes in its exocrine portion and number of hormones in its endocrine portion (islets of Langerhans). A. Exocrine pancreas (serous compound tubuloacinar gland): 1. Pancreatic acinar cells: a. Are pyramidal serous cells arranged around a central lumen. b. Contains round basal nucleus, abundant RER, extensive Golgi complex, many mitochondria, and many free ribosomes. c. Zymogen (secretory) granules: contain enzymes and proenzymes packaged in Golgi complex. d. Basal plasmalemma has receptors for cholecystokinin and acetylcholine.
Pancreas (exocrine: ducts) 2. Pancreatic ducts: a. Initial intercalated ducts formed by centroacinar cells (low cuboidal with pale cytoplasm). b. Intercalated ducts converge into intralobular ducts, which empty into large interlobular ducts that empty into main pancreatic duct. c. The main pancreatic duct fuses with common bile duct, forming ampulla of Vater, which delivers secretions of exocrine pancreas and contents of gallbladder into duodenum at major duodenal papilla.
Pancreas (exocrine: secretions) 3. Exocrine pancreatic secretions: a. Enzyme-poor alkaline fluid: (1) Released in large quantities by intercalated duct cells stimulated by secretin in conjunction with acetylcholine. (2) Function. neutralizes acidic chyme as it enters duodenum. b. Digestive enzymes: (1) Synthesized and stored in acinar cells. Their release stimulated by cholecystokinin. (2) Secreted as enzymes or proenzymes must be activated in intestinal lumen. (3) Enzymes: pancreatic amylase, pancreatic lipases, ribonuclease, and deoxyribonuclease; proenzymes: trypsinogen, chymotrypsinogen, procarboxypeptidase, and proelastase.
Pancreas (endocrine) B. Islets of Langerhans (endocrine pancreas): • Richly vascularized clusters (100 -200 µm diameter) of endocrine cells surrounded by fine network of reticular fibers. • Scattered among acini of exocrine pancreas in random fashion. 1. Islet cells: a. Differentiated from each other by immunocytochemistry or special stains. b. Produce several polypeptide hormones, each cell type produces only one hormone.
Pancreas Figure 1 : Pancreas -Has both exocrine and endocrine components. -Exocrine portion is bulk of organ: compound tubuloaveolar gland, secreting serous fluid. -Gland subdivided into lobules by connective tissue septa (CT). -Each acinus (Ac) made of several pyramid-shaped cells, with round nuclei. - Endocrine portion is small, spherical clumps of cells, islets of Langerhans (IL). -Cells located in center of acinus: centroacinar cells (CA). Figure 2: Pancreas Figure 3: Pancreas Figure 4: Islets of Langerhans -Higher mag. of Figure 1. -Connective tissue septa (CT), -Trapezoidal morphologies of individual cells of serous acini (arrow). -Centroacinar cells (CA), located in center of acini. -Pancreatic acinus look like a pie, with individual cells clearly delineated (arrows). -Nucleus (N) of each trapezoid-shaped cell is round and basal cytoplasm (arrowhead) homogeneous. -Apical cytoplasm packed with zymogen granules (ZG). -Centroacinar cells (CA) recognized by their locations as well as by pale appearance of nuclei. -Islets of Langerhans (IL), serousacini (Ac), Blood supply (BV) -Connective tissue elements (CT) -Erythrocyte (RBC) -Although each islet is composed of A, B, C, and D cells, they can only be distinguished from each other by special stains.
Pancreas (endocrine) 2. Islet hormones: a. Glucagon: produced by α-cells and acts to elevate blood glucose level. b. Insulin: produced by β-cells and acts to decrease blood glucose level. c. Somatostatin: produced by δ-cells. Inhibits release of hormones by nearby secretory cells, reduces motility of GI tract and gallbladder by decreasing contraction of their smooth muscles. d. Gastrin: produced by G cells, stimulates (in conjunction with histamine and acetylcholine) gastric HCl secretion. e. Pancreatic polypeptide: produced by PP cells, inhibits release of exocrine pancreatic secretions.
Liver III. Liver 1. Composed of single type of parenchymal cell, hepatocyte. 2. Surrounded by dense, irregular collagenous connective tissue known as Glisson capsule; gives rise to septa subdivide liver into lobes and lobules. 3. Function. liver produces bile and plasma proteins and has other functions.
Liver (lobules: classical) A. Liver lobules: 1. Classic liver lobule: hexagonal mass of tissue made of plates of hepatocytes, which radiate from region of central vein toward periphery. a. Portal areas (portal canals or portal triads): (1) Regions of connective tissue between lobules contain branches of portal vein, hepatic artery, lymph vessel, and bile duct. (2) Present at alternate corners of classic liver lobule.
Liver Figure 1 : Liver -liver invested by connective tissue capsule, Glisson’s capsule (GC). -Septa (S) extend to subdivide gland into hexagon-shaped classical lobules (Lo). -Blood vessels, lymph vessels, and bile ducts travel within the connective tissue septa to reach the: -Apices of classic lobules: known as the portal areas (PA). -Bile reaches portal areas from within lobules, whereas blood enters the substance of the lobules from portal areas. -Within each lobule, blood flows through tortuous channels , liver sinusoids, to enter central vein (CV) in middle of classical lobule. Figure 2: Liver -Portal area of liver houses terminal branches of hepatic artery (HA) and portal vein (PV). -Branches of lymph vessels (LV) and bile ducts (BD) in portal area. -Bile ducts recognized by their cuboidal-to-columnar epithelium. -Plates of liver cells (PL) and sinusoids (Si) extend from the portal areas. Figure 3: Liver Figure 4: Liver -Central vein (CV) of liver lobule (a terminal radix of the hepatic vein) collects blood from sinusoids (Si) and delivers it to sublobular veins. -Plates of liver cells (PL) and hepatic sinusoids radiate, as spokes of a wheel, from central vein. -Higher mag. of Figure 3. -Lumen of central vein (CV) lined by simple squamous epithelium (Ep). - Hepatic sinusoids (Si), liver plates (LP), hepatocytes (H).
Liver (lobules: classical) b. Liver sinusoids: (1) Sinusoidal capillaries arise at periphery of a lobule and run between adjacent plates of hepatocytes. (2) Receive blood from vessels in portal areas and deliver it to central vein. (3) Lined by sinusoidal lining cells (endothelial cells) have large discontinuities between them, display fenestrations, and lack basal laminae. (4) Contain phagocytic cells (Kupffer cells) derived from monocytes; these cells remove debris, old erythrocytes, and cellular fragments from the blood-stream.
Liver (lobules: portal) 2. Portal lobule: a. The portal lobule, viewed in two dimensions, is a triangular region with three apices that are neighboring central veins and a center in a portal area. b. Contains portions of three adjacent classic liver lobules. c. Defined as bile flow; bile duct is in center of the lobule. 3. Hepatic acinus of Rappaport: a. Diamond-shaped region encompassing triangular sections of two adjacent classic liver lobules, and divided by common distributing vessels. b. Divided into three zones on basis of proximity of hepatocytes to incoming blood.
Liver (hepatocytes: structure) C. Hepatocytes 1. Large polyhedral cells (20– 30 µm diameter) contain abundant RER and SER; many mitochondria, lysosomes, and peroxisomes; several Golgi complexes; and many lipid droplets and glycogen deposits. 2. Usually contain one round central nucleus; about 25% of cells are binucleated. Occasionally, nuclei are polyploid. 3. Hepatocyte surfaces: a. Surfaces facing space of Disse possess microvilli; facilitate transfer of materials (endocrine secretions) between hepatocytes and the blood. b. Surfaces of adjacent hepatocytes: Contain microvilli that extend into bile canaliculus. Have gap junction.
TEM: of liver hepatocytes: mitochondria (M), RER, SER, nucleus, bile canaliculi (BC)
TEM: of liver hepatocyte surfaces showing: microvilli, bile canaliculi, and gap junctions (arrow)
Liver (hepatocytes: functions) D. Hepatic functions: 1. Exocrine secretion: production and release of 600 - 1200 m. L of bile per day. 2. Endocrine secretion: production and release of plasma proteins (prothrombin, fibrinogen, albumin, factor III, and lipoproteins) and urea. 3. Metabolites: stored in form of glycogen (stored glucose) and triglycerides (storedlipid). 4. Gluconeogenesis: conversion of amino acids and lipids into glucose (complex process catalyzed by a series of enzymes). 5. Detoxification: inactivation of drugs, (noxiouschemicals), and toxins, by enzymes (microsomal mixed-function oxidase system). 6. Ig. A transfer: uptake of Ig. A across space of Disse and its release into bile canaliculi.
Liver (gallbladder) E. Gallbladder: A. Communicates with common hepatic duct via cystic duct, which originates at neck of gallbladder. B. Has muscular wall whose contraction, stimulated by cholecystokinin, forces bile from its lumen into duodenum. The wall has four layers: 1. Mucosa: composed of simple columnar epithelium, richly vascularized lamina propria. 2. Muscle layer: thin, oblique layer of smooth muscle cells. 3. Connective tissue layer: consists of dense irregular collagenous layer, houses nerves and blood vessels. 4. Serosa covers most of the gallbladder, but adventitia is present where the organ is attached to the liver. C. Function: concentrates, stores, and releases bile.
Liver, Gallbladder Figure 1 : Liver -High magnification of liver plates (LP). -Hepatocytes (H), hepatic sinusoids(Si), sinusoidal lining cells (SC). -Space between sinusoidal lining cells and hepatocytes, the space of Disse, not visible here. -Small intercellular spaces (arrows). Figure 2: Liver Figure 3: Gallbladder Figure 4: Gallbladder -Macrophages: Kupffer cells(KC), interspersed among endothelial lining cells of liver sinusoids(Si). -They are filled with phagocytosed ink (asterisk). -Phagocytosed material (arrowheads). -Pear-shaped, hollow organ functions in storing and concentrating bile. But its appearance may be deceiving. -Mucosa of empty gallbladder thrown into numerous folds (arrows), providing it with glandular morphology. -Close examination of Epithelium (Ep) shows that all simple columnar cells of mucous membrane are identical. -Loose connective tissue (CT), sometimes referred to lamina propria, lies deep to the epithelium. -Muscularis mucosae is lacking, and smooth muscle(SM) surrounding connective tissue is the muscularis externa. -Outermost coat is serosa or adventitia. -Higher mag. of Figure 3. -Epithelium (Ep) composed of identical-appearing tall columnar cells, nuclei (N) basally oriented. -The lateral cell membranes evident in certain regions (arrows). -Thick basal membrane (BM) separates epithelium from underlying loose connective tissue (CT).
- Slides: 47