Angio CT Az rrendszer krfolyamatainak brzolsa CT vizsglattal
Angio. CT
Az érrendszer kórfolyamatainak ábrázolása CT vizsgálattal Rtg sugárabszorbtion alapuló metszeti képek és azok postprocessing reconstructiojával a vasculatura és a parenchyma ábrázolása, az intravascularis áramlás stacioner megjelenítése kontrasztanyag alkalmazásával.
Az érrendszer kórfolyamatainak ábrázolása CT vizsgálattal Az extra- és intravascularis tér, valamint az érszerkezet direkt megjelenítése. Az érrendszeri folyamatok által okozott parenchymás elváltozások detektálása (az érfolyamat indirekt megjelenítése).
CT Angiographia - CTA Intravénás kontrasztanyag adásával végzett spirál CT vizsgálat. Az érlument kitöltő kontrasztanyag és a szövetek közti nagy denzitás különbségen alapuló 2 D vagy 3 D rekonstructios non invazív angiographiás technika.
CTA methodika I. n n Iv. nem ionizált jódot tartalmazó kontrasztanyag alkalmazása, megfelelő átmérőjű perifériás (kar) vénán keresztül – bolusban Injector használata 100 - 140 ml kontrasztanyag befecskendezése 2 ~ 4 ml/sec flow Extravasatio veszélye!
CTA methodika II. n n Az injektálás utáni spirál CT vizsgálat indításának időzítése fontos Az első - artériás fázis alatt szükséges a vizsgálat végzése, a maximális intravasalis kontrasztanyag koncentrációnál: - túl korai scan: nem megfelelő kontraszt túl késői scan: vénás fázis, nem megfelelő kontraszt
CTA methodika III. n n n Spirál CT vizsgálat (120 k. V, min 220 m. A, 512 -es mátrix) Pitch megválasztása (szeletvastagság/asztallépés – 11. 5) Rekonstrukciós increment (1 -2 mm), átfedő szeletek Rekonstrukciós képminőség (lágyrész algoritmus) Légzésvisszatartás
CTA methodika IV. képrekonstructio n n n Számítógépes munkaállomás Subtractio (prae- és posztkontrasztos kép) végezhető a képminőség javításához 2 D hatású rekonstructiok n n n MPR - Multi Planar Reconstruction MIP - Maximum Intensity Projection 3 D hatású rekonstructiok n Surface és volume rendering
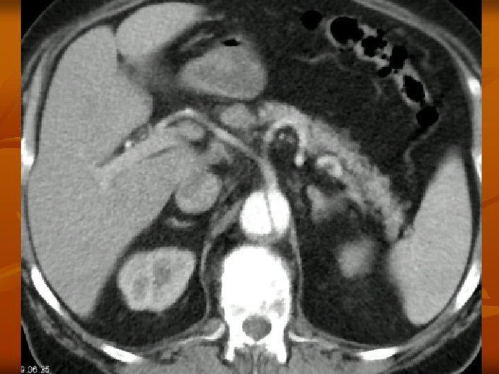
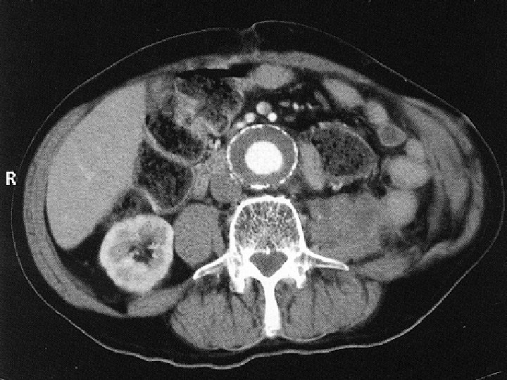
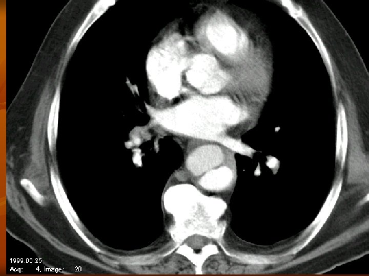
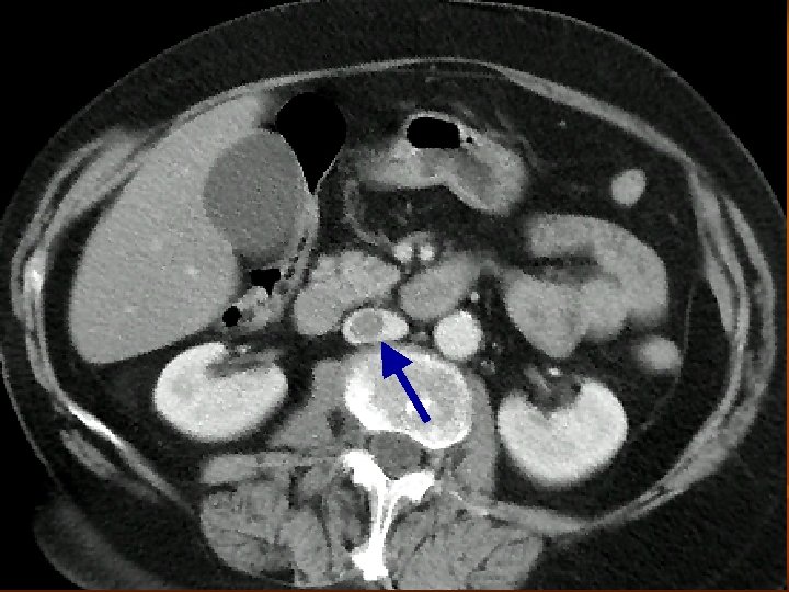
A CTA leggyakoribb alkalmazása n Mellkasi és hasi aorta, valamint iliaca rendszer vizsgálata aneurysma esetén a CTA pontos választ ad: - nagyság – növekedés - kiterjedés – kiinduló erek érintettsége - trombotizáltság - ruptura fennállása – haematoma
A CTA leggyakoribb alkalmazása dissectio esetén a CTA pontos választ ad: - dissectio fennáll vagy nem a dissectio kiterjedése, típusa kettős lumen megléte pericardium érintettsége supraaorticus ágak érintettsége visceralis ágak érintettsége ruptura occlusio esetén a CTA pontos választ ad az elzáródás helyére, collateralis keringés kialakulására, a parenchyma károsodására
A CTA leggyakoribb alkalmazása n n n Renovascularis és cerebralis vasculatura obliterativ folyamatának meghatározása Abdominalis és thoracalis daganatok műtéti eltávolítása előtt vasculatura ábrázolása Pulmonalis embolia gyanújának esetén! Első vizsgálati lépésként!
CTA vizsgálat előnyei n n n Non-invasiv 2 D, 3 D ábrázolás Intra- és extravascularis tér megjelenítése Parenchyma ábrázolása is Acut esetben is elvégezhető!
CTA vizsgálat hátrányai n n n Rtg sugár alkalmazása Stacioner képalkotás, nem dynamicus Limitált térbeli felbontás - kiserek Artefactumok(csontstruktúra) Kontrasztanyag alkalmazása szükséges Kontraindicatiok: kontrasztanyag érzékenység cardiorespiratoricus állapot renalis állapot
- Slides: 23