Anesthesia for emergency surgery in hemodynamically unstable patient
Anesthesia for emergency surgery in hemodynamically unstable patient Dr Ravindra Bhat MD DA DNB Ganga Hospital, Coimbatore
Hemodynamic instability • A state requiring pharmacologic or mechanical support to maintain a normal blood pressure or adequate cardiac output
Out of range clinical measurements Perfusion Failure (Shock)
Source of Unstable Patients • Emergency Department – Hemorrhagic • Traumatic • Non traumatic – Cardiogenic • Intensive Care – Sepsis – Pulmonary Embolectomy • Ward Patient
Anesthetic Management • • • Preoperative Assessment Laboratory Investigations Monitoring Induction Maintenance Recovery / Shifting to ICU
Preoperative assessment • Conventional Assessments of fitness for anesthesia and surgery cannot be followed • Rapid assessment and intervention to stabilise the patient
Primary Survey A B C D E ASSESS DIAGNOSE TREAT
• • Airway Breathing Assess Circulation Disability (Neurology) Diagnose Treat If not assessed, diagnosed and treated immediately you may not have a live patient on the operating table
Airway Assessment • Assessment of patency and anatomy • Difficult Laryngoscopy with risk of failed intubation Beware of C- Spine Injury Full Stomach
Difficult Airway - LEMON • • • Look Evaluate Mallampatti Obstruction Neck Mobility Surgery Hematoma Obesity Radiation Tumor Low Threshold for Surgical Airway Assess neck for access ( SHORT)
Treat • • Simple airway maneuvers- Jaw Thrust, chin lift Simple airway adjuncts- oral, nasal airways Endotracheal Intubation – Gum elastic bougie Surgical Access - Cricothyroidotomy
Breathing with ventilatory support • Respiratory rate – Bradypnoea, tachypnoea • Breath sounds- 5 life threatening conditions • Oxygen saturation – very useful if signals are picked up
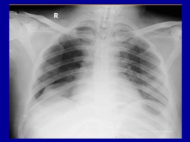
Anticipated problems needing intervention 1. 2. 3. 4. 5. Tension pneumothorax Massive Hemothorax Open Pneumothorax Flail Chest Cardiac Tamponade Treatment – Intercostal drain insertion Sealing of the wound Intubation & ventilation
Circulation • Assessment of circulatory state – Pulse –Rate, Volume, character, – Cold extremities – Level of Consciousness – Blood Pressure – Potentially late sign Shock Index Heart Rate <0. 7 Systolic Pressure Higher the ratio poorer the prognosis
Diagnose-5 places to look for • • • External Long bones Chest – x ray chest Abdomen - FAST Pelvis and Retro peritoneum Shock in a multiply injured patient is “hemorrhagic shock” unless proved otherwise
Treat- Management of shock • Stop Bleeding – – Surgical intervention / – interventional Radiology • 2 large bore canulae – peripheral – send for group, cross matching - lab • 2 litres of warm crystalloids ? ? ? • Exsanguinating hemorrhage o -ve packed cells
Fluid resuscitation Early responders Transient responders Non responders Definitive surgery Damage control surgery Life Saving Surgery
Neurological • Quick GCS • Secondary Neurological damage – Hypoxia – Hypotension – Hypercapnia Permissive Hypotension probably is not to be advocated for head injured patients
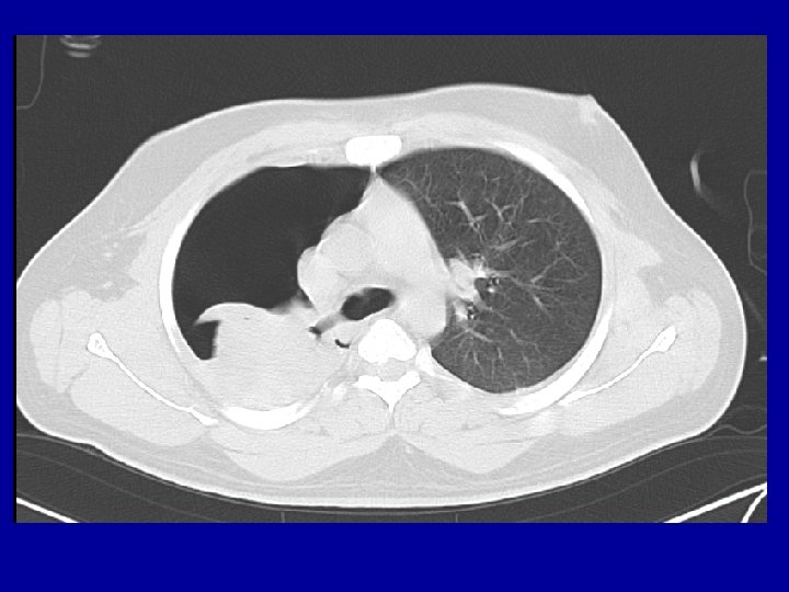
Radiology • X rays – – Chest – Pelvis – C Spine – lateral view • FAST • CT ? ? Do Not Shift Hemodynamically unstable patient to Radiology Room
CT reduces time to diagnosis CT Scanner in the Resuscitation suite
Lab • • • Hb/ Hct Screening Sugar Lactate Group/ cross match Coagulation – PT –INR – APTT
Shifting of Patients from Resuscitation Suite • Primum Non nocere – Don’t think “ Only down the corridor” • Airway • Ventilation • Fluids and drugs • Monitoring • Check – Battery of ventilators, Oxygen cylinders, Syringe pumps • Only half way through PS – Beware of undiagnosed injuries
Positioning • Beware – lines- tubes- bags • All are inserted as they are important – so keep them accessible • Take care of fractured limbs • Every shifting in a hypovolemic patient can cause further fall in blood pressure
May need to operate on a stretcher
Monitoring • Basic Monitors – Pulse Oximetry, ECG, Temperature, NIBP – Invasive Arterial blood pressure. Don’t waste time in getting an arterial line- – can be placed after surgeons have started hemorrhage control – CVP – PCWP ? ?
Induction and intubation • Modified Rapid Sequence Intubation – Manual in line stabilization of C spine – Injection of rapidly acting induction agent – Succinyl choline / Rocuronium – Cricoid pressure – Mask ventilation with 100% oxygen – Intubation with an appropriate cuffed endotracheal tube
Choice of Induction agent Adequately resuscitated Receive standard anesthetic care Inadequately resuscitated, unstable but conscious In extremis A reduced titrated dose of induction agent Induction agents – inappropriate Choice : Ketamine Etomidate Can use muscle relaxants
Ketamine
Etomidate is available now for clinical use – Lipuro Etomidate ( Braun)
Relaxants • Scoline ( CI- ) 1. 5 mg/kg • Rocuronium – 1. 2 mg / Kg
Failed intubation • Low threshold for doing Cricothyroidotomy • Not waiting till peri arrest scenario
Failed Airway criteria Call for Assistance LMA or Combitube may be attempted while preparing for cricothyroidotomy BMV Maintains Sp. O 2>90% YES Cricothyroidotomy NO Consider FOB i. LMA Supraglottic airway Time allows and successful YES Cuffed ET in place Arrange for definitive airway NO
Controlled or Spontaneous ? • No Place for spontaneous ventilation in a hemodynamically unstable - critically ill patient • Severe shock – – ↓ in blood supply to diaphragm – increased need for minute ventilation →Respiratory failure
Maintenance of Anesthesia • Till hemodynamic stability is attained – Incremental dose of narcotics and low concentration of volatile agents • As the circulatory state improves dose of narcotics, volatile agents or propofol can be increased
Relaxants • Rocuronium, vecuronium – least effect on heart • If elective ventilation is planned – Pancuronium due to vagolytic and sympathomimetic effect may an appropriate choice in shocked patient
Volatile Anesthetic of choice • Isoflurane – sevoflurane – desflurane • Isoflurane – Impressive safety profile – Coronary steal concerns – unfounded – Hypotension – due to vasodilatation and not myocardial depression
Nitrous oxide Many anesthesiologist world over no longer use nitrous oxide in critically ill patient
Fluid therapy - Early Phase • Till control of hemorrhage – Fluids to maintain systolic pressure of 80 mm Hg – To reduce dislodgement of clots and prevent hypoperfusion – “PERMISSIVE HYPOTENSION” Increased bleeding Hypoperfusion
Fluid Therapy- late Phase • To maximise the perfusion to correct the oxygen debt • Fluid (crystalloids or colloids) to increase volume • RBCs to improve oxygen carriage • Plasma and platelets to correct coagulation • Resuscitation to be continued in the SICU – Silver Day Concept – Lactate Clearance
• • • Blood Pressure, Heart rate, urine output CVP Systolic Pressure Variation Pulse Pressure Variation
Fig. 1 Changes in Arterial Pressure during Mechanical Ventilation Michard, Frédéric Anesthesiology. 103(2): 419 -428, August 2005. Fig. 1. Analytical description of respiratory changes in arterial pressure during mechanical ventilation. The systolic pressure and the pulse pressure (systolic minus diastolic pressure) are maximum (SPmax and PPmax, respectively) during inspiration and minimum (SPmin and PPmin, respectively) a few heartbeats later, i. e. , during the expiratory period. The systolic pressure variation (SPV) is the difference between SPmax and SPmin. The assessment of a reference systolic pressure (SPref) during an endexpiratory pause allows the discrimination between the inspiratory increase (Δup) and the expiratory decrease (Δdown) in systolic pressure. Pa = arterial pressure; Paw = airway pressure. Copyright © 2010 Anesthesiology. Published by Lippincott Williams & Wilkins. 49
Changes in Arterial Pressure during Mechanical Ventilation Michard, Frédéric Anesthesiology. 103(2): 419 -428, Fig. 9. How to assess the respiratory variation in arterial pressure in clinical practice. CO = cardiac output; ΔPP = arterial pulse pressure variation; PEEP = positive end-expiratory pressure; SV = stroke volume; Svo 2 = mixed venous oxygen saturation; VT = tidal volume. Copyright © 2010 Anesthesiology. Published by Lippincott Williams & Wilkins. 50
Vasopressors, Inotropes? ? ?
Use of blood • Exsanguinating hemorrhage – ‘O’ negative packed cells – followed by group specific blood – Early use of blood products in RBC: FFP: Platelets in 1: 1: 1 – “Damage Control Resuscitation” – – “Hemostatic resuscitation”
Hypothermia • Core body temperature < 35°C • Causes – Coagulopathy – Acidosis – Decreased cardiac output – Arrhythmias
How far to go Early Total Care or Damage Control • In an unstable patient - DCS – Control of Hemorrhage – Decontamination Common problem faced – Blunt injury abdomen with open fracture of femur Laparotomy done – with splenectomy Question – Do we interlock the femur or externally stabilise Do we do a debridement alone or can we a flap cover? Answer : Hematocrit, Platelet count , coagulation status, lactate level,
To Extubate or Not • Elective ventilation till the physiological parameters return • Premature extubation – worse outcomes When in doubt Ventilate
Transfer to the SICU • Usually transferred by bringing the SICU cot – reduces the number of transfers • Monitors from ICU brought along with the cot • Oxygen cylinder with Bains Circuit • Take care of ICD Bags, Urobags • Handing over to the intensivist - vital
Conclusion • Rapid assessment with resuscitation • Source control ( Bleeding, Infection) – Highest priority • In trauma Arrival to on table time – very crucial • Needs the services of an experienced anesthesiologist
- Slides: 59