Anatomy for Neuroimaging J Keith Smith M D

  • Slides: 47
Download presentation
Anatomy for Neuroimaging J. Keith Smith, M. D. , Ph. D. Neuroradiology

Anatomy for Neuroimaging J. Keith Smith, M. D. , Ph. D. Neuroradiology

Neuro-Anatomy • • Skull and Meninges (Dura, Pia) Vasculature: Veins and Arteries Surface Anatomy-Lobes,

Neuro-Anatomy • • Skull and Meninges (Dura, Pia) Vasculature: Veins and Arteries Surface Anatomy-Lobes, gyri, Sulci Histologic-Broadman’s Functional-motor, sensory, speech White Matter Cross sectional imaging

Skull and Meninges

Skull and Meninges

Intracranial Hemorrhage

Intracranial Hemorrhage

Cranial nerves http: //www. teachingbiomed. man. ac. uk/resources/wwwcal/ cranial_nerves/page 1. asp

Cranial nerves http: //www. teachingbiomed. man. ac. uk/resources/wwwcal/ cranial_nerves/page 1. asp

Arterial Blood Supply

Arterial Blood Supply

Anterior circulation Internal carotid arteries Posterior circulation Vertebral arteries

Anterior circulation Internal carotid arteries Posterior circulation Vertebral arteries

Anatomy and Vascular Territories of the 3 Main Cerebral Arteries: Middle Cerebral Artery

Anatomy and Vascular Territories of the 3 Main Cerebral Arteries: Middle Cerebral Artery

Anterior Cerebral Artery and Posterior Cerebral Artery

Anterior Cerebral Artery and Posterior Cerebral Artery

Cortical Areas Supplied by the MCA, ACA and PCA

Cortical Areas Supplied by the MCA, ACA and PCA

Superficial and Deep Arterial Supply to the Cerebral Hemispheres Coronal Plane

Superficial and Deep Arterial Supply to the Cerebral Hemispheres Coronal Plane

Superficial and Deep Arterial Supply to the Cerebral Hemisphere Axial Plane

Superficial and Deep Arterial Supply to the Cerebral Hemisphere Axial Plane

Lenticulostriate Arteries Supply the Basal Ganglia and Internal Capsule

Lenticulostriate Arteries Supply the Basal Ganglia and Internal Capsule

Arterial Supply of the Thalamus and Basal Ganglia

Arterial Supply of the Thalamus and Basal Ganglia

Ischemic: MCA Infarct

Ischemic: MCA Infarct

Ischemic: Lacunar Infarct

Ischemic: Lacunar Infarct

Ischemic: Basilar Thrombosis

Ischemic: Basilar Thrombosis

Surface Anatomy-Lobes http: //faculty. washington. edu/chudler/lobe. html

Surface Anatomy-Lobes http: //faculty. washington. edu/chudler/lobe. html

Surface Anatomy-Gyri & Sulci http: //www. univie. ac. at/anatomie 2/plastinatedbrain/surfaceanatomy/surfac e-suplat-text. html Lateral

Surface Anatomy-Gyri & Sulci http: //www. univie. ac. at/anatomie 2/plastinatedbrain/surfaceanatomy/surfac e-suplat-text. html Lateral

Medial http: //www. univie. ac. at/anatomie 2/plastinatedbrain /surfaceanatomy/surface. html

Medial http: //www. univie. ac. at/anatomie 2/plastinatedbrain /surfaceanatomy/surface. html

Histological Anatomy-Broadman’s

Histological Anatomy-Broadman’s

Functional- Motor Cortex

Functional- Motor Cortex

Somatic Sensory Cortex

Somatic Sensory Cortex

Language Areas

Language Areas

Talaraic Atlas http: //www. neuro. spc. org/talaraic/

Talaraic Atlas http: //www. neuro. spc. org/talaraic/

White Matter-DTI

White Matter-DTI

White Matter Fiber Tracts Association Projection Callosum Wakana S, Jiang H, Nagae-Poetscher LM, van

White Matter Fiber Tracts Association Projection Callosum Wakana S, Jiang H, Nagae-Poetscher LM, van Zijl PC, Mori S. Fiber tract-based atlas of human white matter anatomy. Radiology. 2004 Jan; 230(1): 77 -87. Epub 2003 Nov 26.

Ventricles http: //faculty. washington. edu/chudler/vent. html

Ventricles http: //faculty. washington. edu/chudler/vent. html

Normal CT

Normal CT

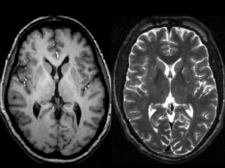
Normal MRI T 1 Weighted

Normal MRI T 1 Weighted

Normal MRI T 2 Weighted

Normal MRI T 2 Weighted

5 D 6 Mo 14 Mo

5 D 6 Mo 14 Mo

Misc Web resources http: //www. neuropat. dote. hu/anatomy. htm http: //www. temple. edu/acb/aker/Gross Brain

Misc Web resources http: //www. neuropat. dote. hu/anatomy. htm http: //www. temple. edu/acb/aker/Gross Brain Show/slide 2. htm