ANATOMIE RADIOLOGIQUE DU COUDE COUDE Humrus Extrmit suprieure























































- Slides: 55
ANATOMIE RADIOLOGIQUE DU COUDE
COUDE Humérus Extrémité supérieure du cubitus. Extrémité supérieure de l’ulna (radius).
Coude : Incidences n Profil n Face n ¾ systématiques à 45° si trauma n +/- Profil + inclinaison cranio-caudale (pour dégager la tête radiale ou l’extrémité proximale de l’ulna).
Coude : Une seule cavité articulaire mais 3 types articulaires pour 2 mouvements 1 Huméro-ulnaire : trochléenne 2 Huméro-Radiale : Sphéroïde Ginglyme : Flexion-Extension du Coude 3 Radio-ulnaire proximale: Trochoïde prono-supination de l’avant-bras, c’est à dire une rotation répartie sur toute la longueur de l'avant-bras.
Face Rx standard Profil
Position du patient COUDE FACE Membre sup. en supination et en extension Axe épicondyle épitrochlée aligné Centrage au niveau de la tête radiale Rx
Critères de réussite L’interligne articulaire radio-huméral doit être dégagé L’apophyse coronoïde dégagé
Comment reconnaître un coude D d’un coude G sur une radiologie de face Selon la position anatomique de référence une radiographie du coude de face se présente : Ulna en médial Radius en latéral D G
COUDE FACE 2 8 1 5 4 3 6 7 9 11 12 10 15 13 14
1 Bord latéral. de l’humérus 2 Bord médian. de l’humérus 3 Epicondyle latéral 4 Epicondyle médian ou épitrochlée 5 Fosse olécranienne 6 Olécrane 7 Condyle ou capitulum 8 Bord proximal de la trochlée 9 Articulation huméro-radiale 10 Articulation radio-ulnaire sup. 11 Apophyse coronoïde 12 Tête du radius 13 Col du radius 14 Tubérosité du radius 15 Ulna Radio-anatomie du coude de face 2 8 1 5 4 3 6 7 9 11 12 10 15 13 14
1 Bord latéral de l’humérus 2 Bord médial de l’humérus 3 Epicondyle latéral 4 Epicondyle médial ou épitrochlée 5 Fosse olécranienne 6 Olécrane 7 Condyle ou capitulum 8 Bord proximal de la trochlée 9 Articulation huméro-radiale 10 Articulation radio-ulnaire sup. 11 Apophyse coronoïde 12 Tête du radius 13 Col du radius 14 Tubérosité du radius 15 bord médial de l’ulna 16 Bord latéral du radius 17 Trochlée Radio-anatomie du coude de face 13 14
Position du patient COUDE de PROFIL Membre sup. en flexion de 90° Avant-bras rectiligne avec poignet de profil strict pouce en extension Centrage au centre de l’articulation Critères de réussite Les 3 segments osseux sont bien de profil L’articulation forme un angle de 90° Aspect en « 8 » de l’humérus Superposition des bords du capitulum Constantes radiologiques adaptées pour l’analyse des structures osseuses + parties molles. 1 2 3
COUDE PROFIL 1 6 2 5 7 8 4 3 10 9 1 Humérus 2 Radius 3 Ulna 4 Olécrane 5 Tête du radius 6 Fosse coronoïdienne 7 Fosse olécranienne 8 Epitrochlée ou épicondyle médian 9 processus coronoïde de l’ulna 10 Capitullum
Radio-anatomie du coude de profil bord ant 1 Humérus bord post bord ant 2 Radius bord post bord ant 3 Ulna bord post 1 4 Olécrane 6 5 Tête col et cupule du radius 7 6 Fosse coronoïdienne 7 Fosse olécranienne 2 4 3 8 Epitrochlée ou épicondyle médial 9 processus coronoïde de l’ulna 10 Capitullum
tubérosité radiale trochlée capitulum bords non superposés
Visibilité des parties molles 3 liserés graisseux sont présents au niveau du coude et décrivent une pathologie selon leur aspect ou leur présence sur le cliché de profil 1 Le liseré intermusculaire antérieur 2 Le liseré antérieur coronoïdien 3 Le liseré postérieur olécranien COUDE NORMAL Visibilité des deux liserés graisseux antérieurs Le liseré postérieur est non visible car superpositions osseuses
Intérêts de la visibilité des parties molles EPANCHEMENT INTRA ARTICULAIRE traduit une pathologie traumatique fracture luxation Refoulement en haut et en avant du liseré antérieur coronoïdien Visibilité du liseré olécranien car refoulé en haut et en arrière
Autres signes de pathologie du coude La ligne humérale antérieure sur le cliché de profil passe par le 1/3 moyen du capitulum quelque soit l’âge du patient Sinon fract ou luxation à recher
Cas particulier de l ’enfant Analyser les points d ’ossification L’axe de la diaphyse radiale passe par le centre du noyau condylien en extension et en flexion La ligne humérale antérieur traverse le tiers moyen du noyau condylien
Clichés de ¾ du coude Le ¾ médian, à partir de la position de face on tourne l’avant-bras en pronation jusqu’à ce que l’olécrane et l’épicondyle repose sur la cassette Le ¾ latéral est plus difficile à réaliser car à partir de la position de face, on demande une supination forcée ¾ médian ou interne ¾ latéral ou externe
Intérêts ¾ médial ou interne Mettre en évidence la trochlée, l’olécrane et l’apophyse coronoïde 1 Olécrane 2 Processus coronoïde de l’ulna 3 Trochlée 4 Fosse olécranienne 5 Epicondyle latéral 6 Capitulum 7 Articulation huméro-radiale 8 Tête radiale 9 Col du radius 10 Tubérosité radiale
Intérêts ¾ externe ou latéral 1 tubérosité radiale 2 col radial 3 Tête radiale 4 articulation huméro-radiale 5 Articulation radio-ulnaire proximale 6 Capitellum 7 épicondyle latéral 8 Fosse olécranienne 9 olécrane 10 Epitrochlée Mettre en évidence la tête radiale, Le capitellum et l’articulation huméro-radiale
Quel coude ? Quelles incidences ? Quelle(s) patho ? Coude droit ¾ latéral Coude droit Face Fracture de la tête radiale
Existe-t-il une pathologie ? OUI Quels signes radiologiques sont en faveur d’une pathologie ? Signes de la graisse, le liseré coronoïdien est relevé et le liseré olécranien est visible Il y a un hémangiome suite à une fracture de l’apophyse coronoïde de l’ulna
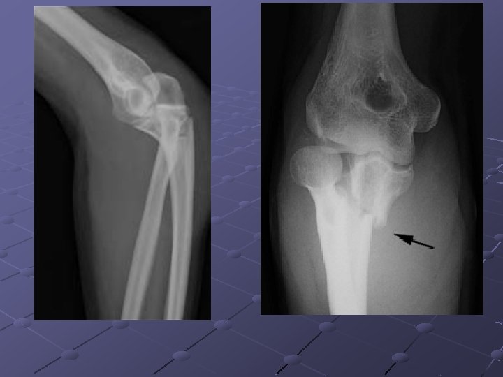
Quel coude ? Quelles incidences ? Quelle(s) patho ? Coude D Face Fracture de la base tête radiale mieux visualiser sur le 3/4 Coude D ¾ latéral
Incidence coude en hyperflexion Objectif étude de l ’olécrane 1 olécrane , 2 épitrochlée, 3 épicondyle, 4 col du radius 5, tête radiale 6, capitulum ou condyle
4) Alignement tête R et condyle
Fractures de l’extrémité sup de l’Ulna Fractures de l’olécrane - intra ou extra-articulaire - Lésions assoc : fract ou luxation • Fractures de l’apophyse coronoïde
Quelle coude ? Quelle incidence ? Quelle patho ? G G Face Rupture de corticale : fracture Profil Fracture, arrachement de l’olécrane Associée à une luxation radio-humérale
Fractures de l’apophyse coronoïde
Luxation de la tête Radiale fracture de l’Ulna
Fracture de Monteggia une fracture de l’ulna doit TJRS faire recher une luxation ou une fracture de la tête radiale Et vice versa
Coude : Luxation 10 % des trauma du coude Adulte jeune sportif Luxation postérieure Diagnostic radiologique évident
FRACTURES ASSOCIEES
Lésions capsulo-ligamentaires
Fractures de l’extrémité inf de l’Humérus intra ou extra-articulaire Simples ou communitives Supra-condylienne condyle
Coude : Pièges et variantes P. supracondylien Os surnuméraires Points d’ossification persistant Image pseudo kystique de l’ext. inf. de l’humérus
COUDE ENFANT
COUDE DATE APPARITIION NOYAUX SECONDAIRES n n Capitulum : entre 1 et 2 ans Epicondyle médial : vers 4 ans n Trochlée : vers 8 ans n Epicondyle latéral : 10 ans COMPARATIFS
1, Ulna (cubitus). 2, Radius 1, Olécrâne. 2, Radius
1, Olécrâne. 2, Processus coronoïde de l'ulna. 3, tête radiale. 1, Olécrâne. 2, Processus coronoïde de l'ulna. 3, Humérus
1, Olécrâne. 2, Humérus 1, Olécrâne. 2, Trochlée(articulaire). 3, Sillon trochlée-capitellum (articulaire). 4, Capitellum (articulaire)
1, Olécrâne. 2, Épicondyle médial (épitrochlée). 3, Épicondyle latéral 1, Olécrâne. 2, Épicondyle médial (épitrochlée). 3, Fosse olécrânienne. 4, Épicondyle latéral.
IRM Etude dans les trois plans n n n T 1 : anatomique DP fat sat : sensible Coronal, sagittal, axial Signal osseux Epanchement, collection Lésion parties molles
1, radius. 2, ulna. 3, Muscle Anconeus. 4, Muscle extenseur des doigts. 5, Muscle long extenseur radial du carpe. 6, Muscle brachioradial. 7, Muscle brachial. 8, Muscle rond pronateur. 9, Muscle fléchisseur radial du carpe. 10, Muscle fléchisseur superficiel des doigts. 11, Muscle féchisseur ulnaire du carpe. 12, Muscle fléchisseur profond des doigts. 1, Tête radiale. 2, ulna. 3, Muscle Anconeus. 4, Muscle long extenseur radial du carpe. 5, Muscle brachioradial. 6, Muscle brachial. 7, Muscle rond pronateur. 8, Muscle fléchisseur radial du carpe.
1, Olécrâne (ulna). 2, Muscle anconéus. 3, Muscle brachioradial. 4, Muscle brachial. 5, Muscle rond pronateur. 6, Muscle fléchisseur radial du carpe. 1, a. radiale. 2, m. brachioradial. 3, épicondyle latéral. 4, Olécrane (Ulna). 5, Epicondyle médial (épitrochlée). 6, Muscle fléchisseur radial du carpe. 7, Muscle rond pronateur. 8, Muscle brachial.
1, Muscle brachioradial. 2, Epicondyle latérale (humérus). 3, Muscle brachial. 4, Epicondyle médiale (humérus). 5, muscle rond pronateur.
1, Muscle triceps. 2, Humérus. 3, Muscles extenseurs de l'avant-bras. 4, Tête radiale. 5, Radius. 6, Muscle supinateur. 7, Muscle brachio-radial. 1, Muscle triceps. 2, Humérus. 3, Muscle brachial. 4, Muscle biceps. 5, Ulna. 6, Radius. 7, Muscle supinateur. 8, Muscle brachio-radial.
1, Muscle triceps. 2, Humérus. 3, Muscle brachial. 4, Muscle biceps. 5, Olécrâne 6, Processus coronoïde. 7, Ulna (cubitus).