ANAESTHETIC MANAGEMENT OF INTERESTING CASE Dr V Sankara

  • Slides: 14
Download presentation
ANAESTHETIC MANAGEMENT OF INTERESTING CASE Dr. V. Sankara Subramanian Consultant Anaesthesiologist Dr. Jeyasekharan Hospital

ANAESTHETIC MANAGEMENT OF INTERESTING CASE Dr. V. Sankara Subramanian Consultant Anaesthesiologist Dr. Jeyasekharan Hospital Nagercoil.

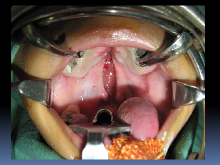
Case Baby X a case of APERT SYNDROME with Incomplete cleft palate was posted

Case Baby X a case of APERT SYNDROME with Incomplete cleft palate was posted for palatorplasty.

Brief Summary Baby was full term normal delivery baby No H/O of birth asphyxia

Brief Summary Baby was full term normal delivery baby No H/O of birth asphyxia H/o delayed milestones (+) H/o epilepsy (+) and was on medications Last episode of fits 4 months back Congenital hydrocephalus (+), VP shunt procedure done at the age of 5 years Age 7 years, Weight – 12. 5 Kgs

Pre op Assessment No verbalisation Large Head + Syndactyly + Macroglossia + Micrognathia +

Pre op Assessment No verbalisation Large Head + Syndactyly + Macroglossia + Micrognathia + Maxillary hyper plasia + CVS-RS – Clinically normal P/A – umbilical hernia +

Anaesthetic Management IV line secured with difficulty Pre oxygenation done Inhalation induction : 6%

Anaesthetic Management IV line secured with difficulty Pre oxygenation done Inhalation induction : 6% Sevoflurane+ N 2 O + O 2 Trial laryngoscopy done, epiglottis visualised Induced with PROPOFOL 45 mg, FENTANYL 25 mic Orally intubated with 5 size uncuffed RAE tube Maintenance N 2 O + O 2 + Atracurium + Sevo Intraop – uneventful baby Girl extubated on table, smooth postop

Discussion Anticipating airway difficulty in paediatric population Syndrome associated with cleft lip / palate

Discussion Anticipating airway difficulty in paediatric population Syndrome associated with cleft lip / palate Apert Syndrome 1906 French Neurologist first described Mutation in a gene located on Ch: 10 Q Incidence – 1: 65000 Features Hyper hidrosis Craniosynostosis Chiarri malformation, Frontal Bossing, Development delay Low set ears Mid face – development delay Associated ASD, VSD Syndactly

Thank You

Thank You