ALTERACIONES ENDOCRINAS EN EL PACIENTE HOSPITALIZADO Alcoy Enero












































- Slides: 44
ALTERACIONES ENDOCRINAS EN EL PACIENTE HOSPITALIZADO Alcoy Enero 2014
El paciente enfermo/ingresado probablemente es el peor candidato para realizar un estudio hormonal
¿por qué? • 1 - Problemas con la extracción: horario, reposo y ayuno previo, periodo de supresión del stress. • 2 - Interferencia de fármacos. • 3 - Interferencia por “stress”. • 4 - Adaptación “fisiológica “ a la enfermedad • 5 - Alteración “patológica” por la enfermedad
No deberíamos realizar estudio hormonal en el paciente enfermo salvo clara sospecha de disfunción.
Situaciones más habituales • • Hiperprolactinemia Adenoma suprarrenal Alteración hormonas tiroideas Alteración en el paciente de la UCI
HIPERPROLACTINEMIA
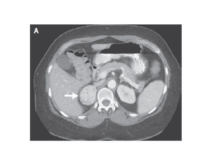
MASA SUPRARRENAL
¿Maligno o benigno?
¿es funcionante?
Problemas • Recogida de orina de forma adecuada!!! • Interferencia en CLU y cortisol postdexa por stress y fármacos. • Tiempo en recibir los resultados de catecolaminas y metanefrinas e interferencias con descongestionantes, antidepresivos tricíclicos, hipo. TA. • Dieta para CATEs: 5 días antes evitar café, té, caramelos, chocolate, dulces, piña, plátano, quesos, bebidas efervescentes.
¿Hiperaldosteronismo primario?
¿Hiperaldosteronismo primario?
Alteración de hormonas tiroideas
Caso • Javier de 69 años acude a Urgencias por Sd. febril de 3 días de evolución con clínica compatible con pielonefritis aguda. Es DM-2 controlado con metformina y sitagliptina, DLP en tto con 40 mg de simvastatina y además tiene una FA crónica en tto con Sintrom y amiodarona. • A su llegada presenta TA de 80/60, frialdad periférica y 110 lpm • Se inicia tto con sueroterapia intensa y ATB iv con leve mejoría tensional pero con escasa respuesta diurética, por lo que se añade dopamina iv. • A las 6 horas comienza con disnea y se obejtivan edemas maleolares y crepitantes bibasales por lo que se disminuye el aporte de fluidos y se inicia tto con seguril iv. • Tras su estabilización ingresa en planta y por “protocolo” se solicitan hormonas tiroideas: TSH 4. 9 T 4 l 1. 97
¿Qué tiene Javier? • • Hipotiroidismo subclínico? Hipertiroidismo primario? Hipertirodismo secundario? Alteración tiroidea inducida por amiodarona? Sd eutiroideo enfermo por la sepsis? Sd eutiroideo enfermo por la I. Cardiaca? Alteración tiroidea por dopamina? Alteración tiroidea por furosemida?
Sd. Eutiroideo enfermo. • Tb llamado Sd T 3 bajo • Alteraciones en los test de función tiroidea que incluyen T 3 l bajo, con T 4 l normal (tb leve descenso o leve aumento) y T 3 r alta. • Afectan al 75% de los pacientes ingresados • Comienza a las pocas horas de la enfermedad. • Se relaciona con la gravedad. • Factor pronóstico. • Tratamiento? ?
¿qué ocurre?
¿qué ocurre? • • • Alt. transporte interior celular. (MCT 8? ) Alt. en las isoformas del receptor nuclear. Aumento de sulfatación de la T 4. Disminución de proteinas trasportadoras Disminución de la unión a las proteinas transportadoras
Interpretación fisiólogica • Es una respuesta fisiológica beneficiosa para reducir catabolismo. Está eutiroideo • Es una alteración debido a inhibidores de la uníon a proteinas por lo tanto un problema analítico. • Está hipotiroideo pero es una respuesta beneficiosa. • Esta hipotiroideo y se relaciona con la mortalidad.
¿tratamos? • En paciente crítico T 3 y T 4 bajas sin otros síntomas: no tratar (2 B) • En paciente eutiroideo con bypass cardiopulmonar: no tratar en el postoperatorio inmediato (1 A) • En críticos con otros síntoma compatibles. Tratar con dosis bajas (2 C)
¿tratamos? • En pacientes con T 4 <4 ug/dl tratar con T 3 oral o iv a dosis bajas (50 ug/día dividido en 2 -3 dosis). • Dar TRH en infusión junto con secretagogos de GH?
Dx diferencial • TSH>20: hipotiroidismo • TSH<0. 01: hipertiroidismo en el 75 % de los casos
Sistema neuroendocrino y enf crítico • Alteración de todos los ejes hipotalámohipofisarios • Aumenta la morbilidad y la mortalidad. • Cambios diferentes en la fase aguda ( unos 7 días) que en la crónica ( más de 7 días)
Fase aguda Hormona Accion Pulsatilidad de GH ↑ IGF-1 ↓ Pulsatilidad de TRH ↑≡ T 4 ↑≡ T 3 ↓ r. T 3 ↑ Pulsatilidad de LH ↑≡ Testosterona ↓ Pulsatilidad de PRL ↑ ACTH ↑ Cortisol ↑
Fase crónica Hormona Acción Pulsatilidad GH ↓ IGF-1 ↓↓ Pulsatilidad TRH ↓ T 4 ↓ T 3 ↓↓ r. T 3 ↑≡ Pulsatilidad LH ↓ Testosterona ↓↓ Pulsatilidad PRL ↓ ACTH ↓ Cortisol ↑≡↓
Conclusiones • No realizar estudio hormonal salvo clara sospecha clínica • Valorar interferencia con fármacos. • Sd eutiroideo: TSH, T 4 l, T 3 l… • ¿tratar en fase crónica?