Al Mustansiria University Impacted and ectopic teeth Hani










































- Slides: 42
Al Mustansiria University Impacted and ectopic teeth Hani Al Sheikh Radhi
Impacted Wisdom Teeth Aims: To enable diagnosis, assessment and management of impacted teeth. Objectives: • Learn causes of impaction • List clinical and radiographic features taken into account in assessing unerupted teeth • To be able to design flaps for removal of teeth, taking into account the anatomy of the region • To be able to describe postoperative care • List common complications of surgical removal
Failure of tooth eruption - General - Local
Failure of tooth eruption - General - Local • Loss of space • Abnormal position of crypt • Overcrowding • Supernummary • Local pathological lesion
Theories of Impaction • 1) Orthodontic theory : Jaws develop in downward and forward direction. Growth of the jaw and movement of teeth occurs in forward direction, so any thing that interfere with such moment will cause an impaction (small jaw-decreased space). A dense bone decreases the movement of the teeth in forward direction.
• 2) Phylogenic theory: Nature tries to eliminate the disused organs i. e. , use makes the organ develop better, disuse causes slow regression of organ. • [More-functional masticatory force – better the development of the jaw] • Due to changing nutritional habits of our civilization, use of large powerful jaws have been practically eliminated. Thus, over centuries the mandible and maxilla decreased in size leaving insufficient room for third molars.
• 3) Mendelian theory: Heredity is most common cause. The hereditary transmission of small jaws and large teeth from parents to siblings. This may be important etiological factor in the occurrence of impaction. • 4) Pathological theory: Chronic infections affecting an individual may bring the condensation of osseous tissue further preventing the growth and development of the jaws. • 5) Endocrinal theory: Increase or decrease in growth hormone secretion may affect the size of the jaws
Assesment (History) • • • Presenting complaint History of the presenting complaint Medical History Relevant dental history Social History
Assessment (Impacted teeth) Clinical examination • Access - mouth opening - operating space • B • C • D
Access
Assessment (Impacted teeth) Clinical examination • Access - mouth opening - operating space • Bone quality – age, ethnicity • Caries and pathology • Degree of eruption
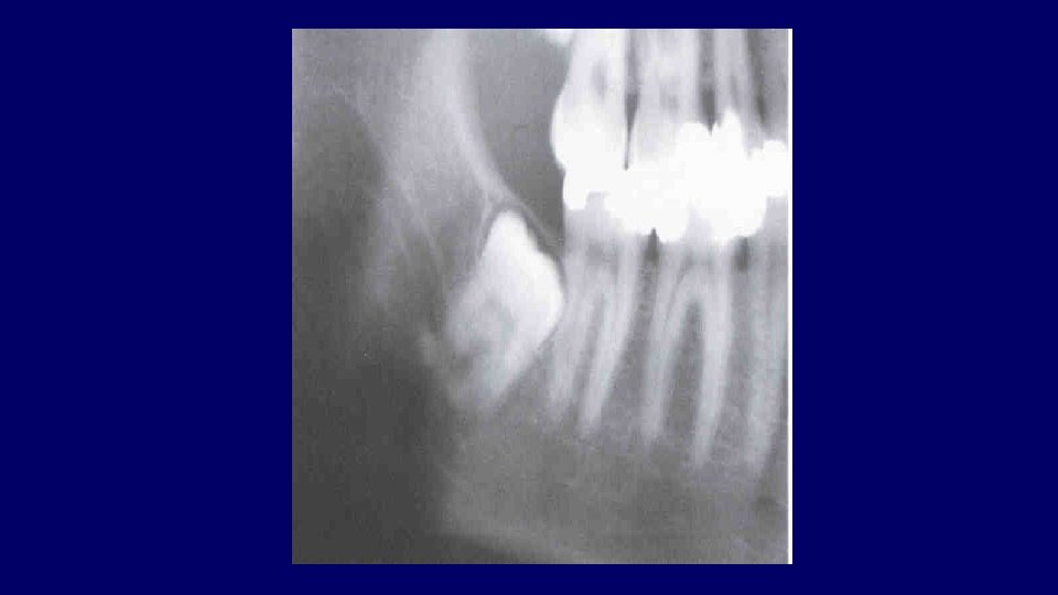
Assessment (Impacted teeth) Radiographic examination • OPG (Orthopantomagraph) • Periapical views • Parallax views • Occlusal views
Mandibular third molar assessment (1) Type of impaction (2) Depth of impaction (3) Root pattern (4) Crown form (5) Bone density (6) Relationship to ID nerve (7) Caries (8) Position and root pattern of 2 nd molar (9) Associated pathology (10)Access
(1) Type of impaction
Types of impaction • Vertical • Mesioangular • Distoangular • Horizontal • Transverse
Lines parallelvertical
(2) Depth of impaction
Pell & Gregory Classification • Based on the amount of tooth covered by the anterior border of the ramus • The depth of the impaction relative to the adjacent tooth
Pell & Gregory • Relation to the Ramus Class III
Pell & Gregory • Depth of Impaction – Mandibular Class A Class B Class C
Pell & Gregory