Akut ve Kronik Pankreatit Do Dr Pars Tunyrek




















































- Slides: 52
Akut ve Kronik Pankreatit Doç. Dr. Pars Tunçyürek
Pankreas’ın arteriyel dolaşımı
Pankreas’ın venöz dolaşımı
Pankreas’ın lenfatik ağı
Akut Pankreatit • Ani başlayan epigastrik ağrı, sıklıkla sırt ağrısı eşlik eder • Bulantı ve kusma • Serum ve idrar amilazında artış • Safra kesesinde taş veya aşırı alkol kullanımı
Epidemiyoloji • • • Pankreasın nonbakteriyel inflammasyonu (kendi enzimlerinin aktivasyonu ile sindirilmesi) Bilier: Olguların %40'ı (Türkiye'de daha fazla). Tedavi edilmezse tekrarlayan ataklar sık Alkolik Hiperkalsemi Hiperlipidemi Ailesel: Çocuklukta başlar, genellikle kronik pankreatit gelişir İatrojenik: Postoperatif; kardiyopulmoner bypass, ERCP İlaç kökenli: Kortikosteroidler, östrojen preparatları, azathioprine, thiazide diüretikler, tetracycline Tıkanma: Konjenital (pancreas divisum) veya yaralanma sonrası İdiopatik: %15 neden bulunamaz
• Tripsinojenin anormal aktivasyon yolu olan Katepsin-B ile tripsine dönüşmesi sonucu olay başlar. Katepsin-B pankreatik asiner hücrelerde bulunur. • Tripsin ve kemotripsin başlangıç enzimleridir, onların açığa çıkışı diğer proenzimlerin (proelastaz, prokollejenaz ve fosfolipaz) aktivasyonuyla sonuçlanır. • Tripsin endotel ve mast hücrelerinden histamin açığa çıkışı: ödem kanama ve vasoaktif peptid ve kinin üretimiyle sonuçlanan kallikrein sisteminin aktivasyonuna yol açar. • Daha sonra ağrı nedeni olduğu düşünülen inflamatuvar yanıt alevlenir. • Hipovolemi ve hipotansiyon gelişir.
• Hafif akut pankreatit (ödematöz): interstisyel ödem, minimal organ disfonksiyonu, soluk ve peripankreatik yağ nekrozu olaysız iyileşme • Ağır akut pankreatit (nekrotizan): organ yetmezliği ve-veya psödokist, apse ve nekroz gibi lokal komplikasyonlar ile beraberdir.
Atlanta sınıflaması • Akut ödematöz pankreatit, • Akut nekrotizan pankreatit: • Steril nekroz • Enfekte nekroz • Peripankreatik sıvı birikimi • Pseudokist • Pankreatik abse
Klinik bulgular • • Sırta yayılan şiddetli epigastrik ağrı Bulantı ve kusma Taşikardi-postural hipotansiyon Normal veya hafif yükselmiş ateş Distansiyon veya jeneralize hassasiyet Barsak sesleri azalmış Pankreatik flegmon, abse veya psödokiste bağlı kitle • Grey Turner ve Cullen bulguları - retroperitoneal kanama
Laboratuar bulguları • • • Artmış Hct (dehidratasyon) Lökositoz Kanda amilaz, lipaz artar İdrarda amilaz atılımı (> 5000 U/24 h) Serum Ca azalır
Direkt grafisi • • Sentinel loop Kolon cutoff sign Kalsifikasyon (kronik pankreatit) Solda plevral effüzyon
BT incelemesi • 48 -72 hr içinde pankreatitin gidişini değerlendirebilir • Flegmon, nekroz, psödokist, abse • Klinik gidiş ile ilişkili Balthazar sınıflaması
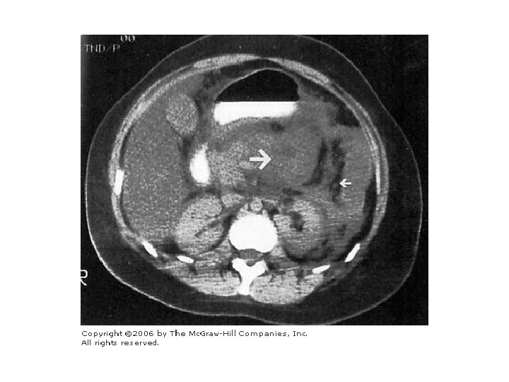
BT’de pankreas
Balthazar kriterleri. . . CT Skor endeksi = BT derecesi + Nekroz derecesi BT DERECESİ A: Normal pankreas B: Fokal yada diffüz pankreatik genişleme C: Pankreatik ve peripankreatik hafif inflamasyon D: Tek bir alanda( ön pararenal boşluk) sıvı birikimi E: İki veya daha fazla alanda sıvı yada gaz birikimi NEKROZ DERECESİ Nekroz yok Pankreasın 1/3’ünde nekroz Pankreasın 1/2’sinde nekroz Pankreasın ½’sinden fazlasında nekroz PUAN 0 1 2 3 4 0 2 4 6
İNDEKS MORBİDİTE MORTALİTE 0 – 3 4 – 6 7 - 10 % 8 % 35 % 92 % 3 % 6 % 17
Karın USG • Safra kesesinde taş • Koledokolitiazis • Koledok genişlemesi
• Amilaz yüksekliği Kolesistit, ince barsak obstrüksiyonu, mezenterik iskemi, ülser perforasyonu (nadiren > 500 IU/dl) • Lökositoz > 12, 000/µL is apse yoksa olağan değildir.
Şiddetli pankreatit • • • Şok MOF ALI/ARDS Myokard depresyonu Böbrek yetmezliği Stress gastriti
RANSON Kabulde 48 saatte Non–bilier pankreatitis Yaş > 55 Azalma Hct > 10% Lökosit > 16. 000 Artış ürede > 5 mg/dl Glukoz > 200 mg/dl Ca++ < 8 mg/dl LDH > 350 U/L p. O 2 < 60 mm. Hg AST > 250 u/L Baz defisitii > 4 m. M Sıvı defisiti > 6 L Bilier pankreatitis Yaş > 70 Azalma Hct > 10% Lökosit > 18. 000 Artış ürede > 2 mg/dl
Moralitenin öngörülmesi • Ranson kriterleri – 0– 2 kriter = 2%; – 3 veya 4 = 15%; – 5 veya 6 = 40%; – 7 veya 8 = 100%.
Akut pankreatit tedavi prensipleri • Yoğun bakım desteği • APACHE-II kriterleri ile hastanın sık denetlenmesi • Medikal tedavi (gabexate mesilate, aprotinin, lexipafant, ve octreotide) yararsız bulunmuş. • Erken enteral beslenme yararlı (jejunal). Sürekli nazogastrik drenaj yararlı değil. • Pankreas nekrozu olan olgular imipenem ve meropenem alabilirler (>14 gün mantar enfeksiyonu riski var) • Erken dönemde ERCP hastalığın prognozunu etkilemiyor, ama şiddetli bilier pankreatitte sfinkteratomi yapılabilir. • Steril nekroz İzlenmeli • Enfekte nekroz Nekrozektomi
Pankreatik nekroz. . .
Pankreatik apse • İlk ataktan 2 -6 hafta sonra ortaya çıkar (enfekte nekrozdan ayrımı) • Eksternal drenaj (perkutan), ya da cerrahi • Psödokist ile ayrımı yapılmalı
Psödokist • Fibröz duvarlı peripankreatik sıvı kolleksiyonudur. • 1 aydan daha uzun sürmesi • Kisti döşeyen epitel yoktur, kist içeriğinde yüksek amilaz düzeyi saptanır. • Akut sıvı kolleksiyonları psödokist değildir. • Akut pankreatitli hastaların %35 inde peripankreatik sıvı kolleksiyonu gelişir. • 50% den fazlası 3 ay içinde spontan olarak düzelir 6 haftadan sonra komplikasyon oranı artar. • Serum amilaz düzeyindeki yüksekliğin devam etmesi psödokisti düşündürmelidir. • Girişimler 6. haftadan itibaren yapılır
Psödokist sınıflaması • Tip 1 - normal duktal anatomi. Pankreatik duktus ile kist arasında fistül yoktur. • Tip 2 - Anormal duktal anatomi. Pankreatik duktus ile kist arasında fistül yoktur • Tip 3 - Anormal duktal anatomi. Pankreatik duktus ile kist arasında fistül vardır.
• Perkütan Drenaj: • Ultrasound ya da BT eşliğinde • Tip 1 kistlerde %80 başarılıdır. • Fistül varsa başarı daha azdır. • Nadiren pankreatik abse veya fistül gelişebilir. • Endoskopik drenaj+ Pigtail kateter yerleştirilmesi • Cerrahi drenaj • Kistogastrostomi • Roux Loop Kistojejunostomi • Kist duvarından biopsi, adenoca riski için.
Kronik pankreatit • Alkolik %70 • İdiyopatik (+tropikal) 20 • Diğer %10 – – – – Herediter Hiperparatirodizm Trigliserid yüksekliği Otoimmun pankreatit Obstrüksiyon Travma Pankreatik divisium
Kronik pankreatit (fibrozisin patogenezi)
• Tekrarlayan karın ağrıları, steatore ve diabet başlıca klinik bulgularıdır. • Lokal morfolojik değişiklikler skleroz ile beraber doku yıkımı ve ekzokrin elemanların kaybıdır. Fokal, segmental veya yaygın olabilir.
• Sıklıkla 30 -40 yaşlarında görülür. • En sık epigasrik ağrıdır. Yemeklerle artar, zamanla analjeziklere direnç kazanır. Narkotik analjezik bağımlılığına yol açabilir. • Bulantı, kusma, dışkı sayısında artış ve steatore gelişir. • Pankreas başına lokalize pankreatitte koledok distaline bası gelişebilir. • İntrapankreatik koledokta darlık olabilir. Bunun sonucu biliyer siroz ve kolanjit gibi ağır komplikasyonlar ortaya çıkar. • Splenik veya portal vene bası ile segmental portal hipertansiyon gelişebilir.
Tanı • • ERCP MRCP BT USG
Kronik pankreatitin komplikasyonları • • İntrapankreatik komplikasyonlar – Psödokist • Duodenal ve gastrik obstrüksiyon • Splenik ven trombozu • Apse • Perforasyon • Visseral arterlerde erozyon – Pankreas başında inflammatuar kitle – Safra yolu darlığı – Portal ven trombozu – Duodenal obstrüksiyon – Pankreatik kanal darlıkları/taşları – Duktal hipertansiyon – Duktal dilatasyon – Pankreatik karsinom Ekstrapankreatik komplikasyonlar – Assit, fistül – Psödokistin uzanımına bağlı baskı
Kr. Pankreatitte ağrının yayılımı
• Klinik, radyolojik ve laboratuvar bulgularına göre tedavi yapılır. • Sık olmayan ağrı, minimal fonksiyon bozukluğu, normal sosyal ve iş yaşamında alkol ve yağ alımının kısıtlanması yeterlidir. • Sık ağrı ataklarında analjezik ve pankreas ekstreleri yeterlidir. • Sık ve şiddetli atak, yiyecek intoleransı, kilo kaybı olanlarda CERRAHİ ENDİKEDİR. • Safra yolu darlıkları, piloroduodenal kompresyon, segmental portal hipertansiyon, psödokist oluşumu diğer cerrahi endikasyonlarıdır.
Kr. Pankreatit (Tedavi) • Rezeksiyon yapılanlar: Parsiyel ve total pankreatektomi. • Rezeksiyon yapılmadan drenaj işlemleri: Side to side pankreatikojejunostomi (Puestow), kaudal pankreatikojejunostomi, pankreatik sfinkteroplasti. • Pankreas kanalı dilate ise (>8 mm) drenaj, dilate değilse rezeksiyon uygulanır.
* Kilo kaybı * Nutrisyonel durumun bozulması * Sık hospitalizasyon gereği * İşini sürdürememe * Depresyon * Narkotik madde alımında artış
Psödokist drenajı
Pankreas kanalından olan kaçağın internal drenajı
%95 distal pankreatektomi
Dalak koruyucu pankreatektomi
Duodenum koruyucu pankreas başı rezeksiyonu (Beger)
Puestow prosedürü. . .
Pankreatikoduodenektomi. . .