AFECIUNILE INFLAMATORII ACUTE ALE PLM NILOR Pneumoniile Clasificarea


























- Slides: 26
AFECŢIUNILE INFLAMATORII ACUTE ALE PLĂM NILOR Pneumoniile
Clasificarea pneumoniilor acute: Primare 1. Parenchimatoase 2. Interestiţiale 3. Bronhopneumonii Secundare 1. Acutizarea bronşitei cronice 2. Prin aspiraţie 3. Septice 4. Hipostatice 5. Imunodeficitare
Examen radologic �in pneumonia lobara sau segmentara opacitatea subcostala bine delimitate, omogena in stadiile incipiente; �in bronhopneumonie unice sau multiple opacitati disseminate, de diferite marimi, forma, intensitate cu contur neclar, neomogene si variabile �in pneumonia interstitiala
Bronhopneumonie Pneumonie lobară Reprezentarea schematică a bronhopneumoniei şi pneumoniei lobare
Clasificarea pneumoniilor dupa agent patogen.
1. p. Parenchimatoase �inflamatia teritoriilor ce participa la schimburile aerice ale plamanului, de natura infectioasa (bacterii, virusuri, rickettsii, fungi)
Pseudomonas aeruginosa Aspect radiologic -afectare de obicei bilaterală -predilecţie pentru lobii inferiori -caracter difuz -necroză extensivă cu formare de multiple abcese
Pneumonia stafilococica - distribuţie bilaterală - abcese cu perete subţire - pleurezie bilaterală - pungă pleurală stg.
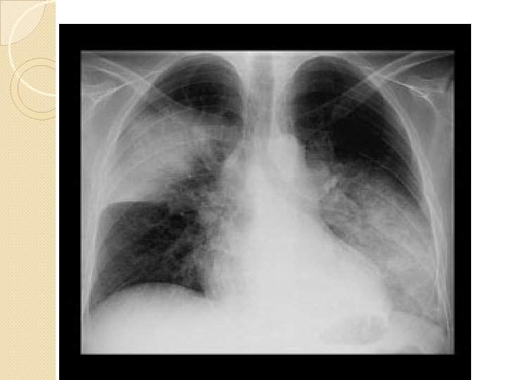
PNEUMONIA FRANC- LOBARĂ �Definitie: pneumonia pneumococica sau pneumonia franca lobara este o pneumopatie acuta, provocata de penumococ, care afecteaza un lob, debuteaza acut si are evolutie ciclica.
PNEUMONIE FRANCĂ LOBARĂ 1. Stadiul de congestie 2. Stadiul de hepatizaţie roşie 3. Stadiul de hepatizaţie cenuşie 4. Stadiul de rezoluţie
Ex. radiologic – pneumonia pneumococica opacitate omogena, intensitate subcostala, de forma triunghiulara, cu varful la hil si baza la periferie; neomogena in st. de resorbtie
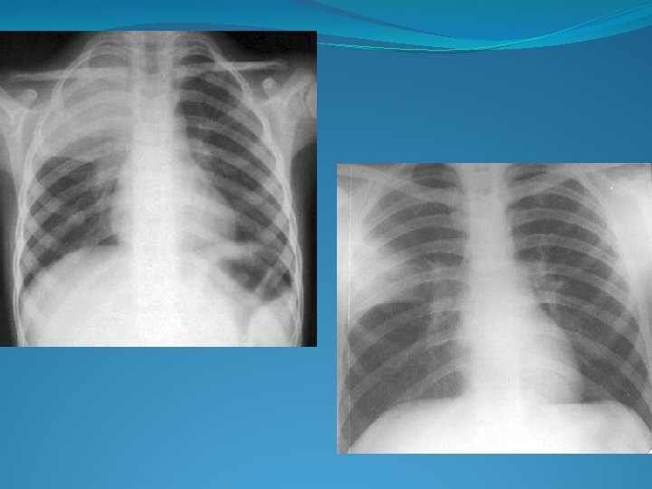
Pneumonia cu Klebsiella (bacil Friedländer) Radiologic: -opacitati multilobulare → bloc pneumonic → zone de claritate (abcedare)
pneumonie lobul superior, drept Klebsiella pneumoniae
2. Bronhopneumonie se numeşte inflamaţia plămânilor, dezvoltată în legătură cu bronşita şi bronşiolita (bronhoalveolită). Are caracter de focar şi poate fi o manifestare morfologică a pneumoniilor acute primare.
Radiologic: opacitati rotunde/ovalare, contur estompat, diseminate opacităţi multiple de intensitate medie, numeroase în câmpurile pulmonare medii şi bazale opacităţi difuze, mai frecvent in c. pulmonare superioare ca şi in regiunile parahilare
Bronhopneumonie lobulară confluentă
bronhopneumonie aspergilica
BRONHOPNEUMONIE
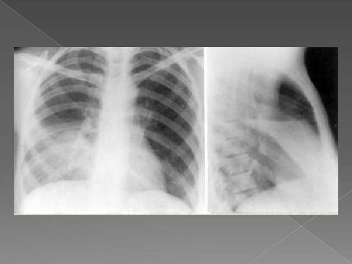
3. PNEUMONIA INTERSTIŢIALĂ Ø Peribronşică Ø Interlobulară Ø Interalveolară
Pneumonie interstitiala
TRIUNGHIUL DITTMAR RUPERT PNEUMONIE INTERSTITIALA: GRIPA opacitati hiliobazale sub forma de cordoane liniare, intre care exista opacitati nodulare si reticulare - infiltrat neomogen (“barba pieptanata”) in triunghiul hiliobazal / perihilar / intercleidohila r