ADL D HEKML Prof Dr Mehmet Ali Klarslan




























- Slides: 28
ADLİ DİŞ HEKİMLİĞİ Prof. Dr. Mehmet Ali Kılıçarslan Ankara Üniversitesi Diş Hekimliği Fakültesi
DVI
Ölülerde Kimlik Belirlenmesi Neden Yapılır Etik ve insani nedenler (ölüye bir kimlik kazandırır ve matem sürecini başlatır) Yasal hak ve yükümlülüklerin aydınlanabilmesi Kriminal olaylar Adli kimlik; kişinin nüfus kayıtlarında yazılı olan kimliğidir. Tıbbi kimlik; kişinin görüntüsünün olduğu gibi tanımlanmasıdır.
Adli Dişhekimliğinde Kullanılan Kimliklendirme Yöntemleri: n Pozitif Kimliklendirme n Dışlama Yoluyla Kimliklendirme n Olası Kimliklendirme
Kimliklendirme Çalışma Grupları: n n n Ante-mortem çalışma grubu Post-mortem çalışma grubu Eşleştirme grubu
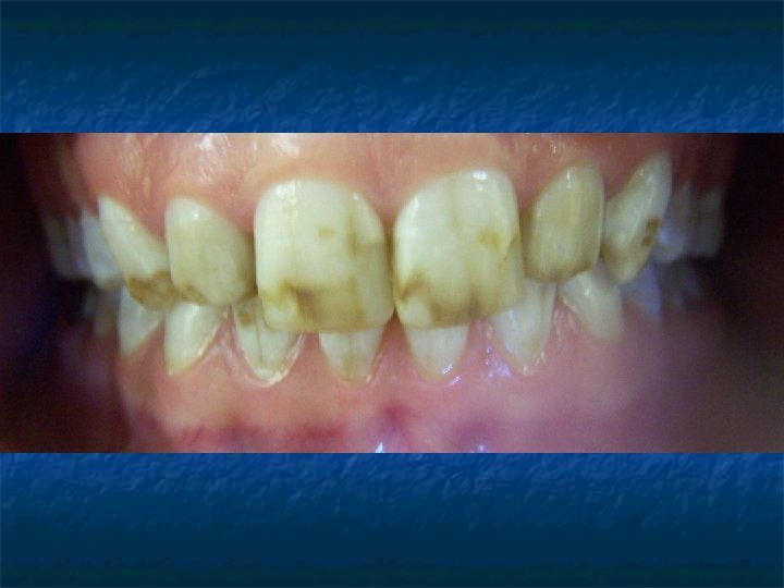
Adli Dişhekiminin Kimlik Tespitinde Yararlandığı Özellikler: n n n n n Dişler, Dental kayıtlar, Radyografiler, Dental fotoğraflar, Dental modeller, Diş ve damak ve ısırık izleri, Vücut izleri, Restorasyon ve protezler, Tükürük.
Dental kimlik tespitinde: 1. mağdurun dişleri incelenmeli 2. mağdurun varsa dental kayıtları incelenmeli 3. mağdurun yakınları aracılığıyla dişlerindeki tipik özellikler sorgulanmalı, 4. toplanan bilgiler bir araya getirilerek değerlendirilmelidir.
Adli Dişhekiminin Kimlik Tespitinde Yararlandığı Özellikler: n Radyografi ve dental fotoğraflar
Adli Dişhekiminin Kimlik Tespitinde Yararlandığı Özellikler: n Dental modellerin incelenmesi
n Dişler yardımıyla ırk, cinsiyet ve yaş tayini
Dişlerdeki Biyolojik Çeşitlilik Farklılıkları Dişlerin biyolojik çeşitlilik farklılıkları olarak şekilden çok büyüklük farkları vardır ancak bu farklar biyolojik çeşitlilik farklarının ayrımında zayıf bir kriterdir.
n Dişlerden sosyokültürel farklılık, alışkanlık ve mesleklerin belirlenmesi
n Restorasyon ve protezlerin incelenmesi
Neleri bilmeliyiz? * * * Ağız ve dişlerin morfolojisi Çevre dokular Morfolojide varyasyonlar Büyüklüklerde bozukluklar Sayısal bozukluklar Sürme bozuklukları Şekil bozuklukları Gelişim bozuklukları Süt dişleri Okluzyon. . .
Adli diş hekimliği alanı, resmi diş hekimliği eğitimi kapsamına tam olarak girmeyen bazı özel konuları içerdiğinden, ilave bir eğitim gerektirir. Kaynak: Glass RT, Forensic Odontology. IN: James H Stuart, Jon J Nordby (Eds. ) Forensic Science An Introduction to Scientific and Investigative Techniques. CRC Press. Boca Raton 2003.
2003 yılında, Ankara Üniversitesi, Tıp Fakültesi, Adli Tıp Anabilim Dalı bünyesinde, değerli hocamız Prof. Dr. Hamit HANCI’nın başkanlığında Adli Diş Hekimliği Birimi kuruldu.
Adli Dİş Hekimliği Komisyonu Asil Üyeleri: 1. Prof. Dr. P. Sema Aka (Başkan) 2. Prof. Dr. İ. Hamit Hancı 3. Prof. Dr. Mehmet Yaşar İşcan 4. Prof. Dr. Hamit Bostancı 5. Prof. Dr. Ufuk B. Şakul 6. Doç. Dr. Merih Baykara 7. Doç. Dr. Mehmet Ali Kılıcarslan 8. Dt. Alb. Bülent Özdoğan 9. Dr. Hüseyin Afsin 10. Dr. Feryal Karaman 11. Dr. Saadet Sağlam Atsu 12. Dr. Serdar Sütçü 13. Dr. Cenker H. Kuçukeşmen 14. Dt. Füsun Yaşar 15. Dt. Memduh Mazmanci 16. Dt. Özgul Durmazlar
Hüseyin Afşin Zehtiye Füsun Yaşar Sema Penbe Aka Mehmet Ali Kılıçarslan Saadet Sağlam Atsü Serdar Sütçü Eray Erdem Ayşe Işıl Demir
Adli Diş Hekimliği Kursları Ankara Üniversitesi Tıp Fakültesi, Adli Tıp Anabilim Dalı bünyesinde Sayın Prof. Dr. Hamit HANCI’nın başkanlığında Türkiye’de ilk sertifikalı Adli Diş Hekimliği kursunu 2004 gerçekleştirilmiştir. Bu kurslar, 2006, 2007, 2011, 2013 ve 2014 yıllarında tekrarlanmıştır.
Avanos Adli Diş Hekimliği Sempozyum ve Konferansları 2005 ve 2006 Kasım
Ülkemizdeki adli diş hekimliğine ait gelişmeler: • 1994 Antalya: Isırık izi delil kabul edildi. (YARGITAY) • RJ-600 Diyarbakır uçağı 2003 • 2003 Trabzon İspanyol askerleri
KAYNAKÇA n n n n n Aydıntuğ YS. (2011) 20. Yüzyılda Türk Askeri Diş Hekimliği Tarihi. Yayımlanmış Doktora Tezi, Ankara Üniversitesi; Ankara: 107 -108. Caldas IM, Magalhães T, Afonso A. (2007) Establishing identity using cheiloscopy and palatoscopy. Forensic Sci Int 165: 1 -9. Dineshshankar J, Ganapathi N, Yoithapprabhunath TR, Maheswaran T, Kumar MS, Aravindhan R. (2013) Lip prints: Role in forensic odontology. J Pharm Bioallied Sci 5(Suppl 1): 95– 97. Fakıoğlu M, Kartal S, Çimir S, Başkaya T. Adli bilimlerde Odontoloji [http: //web. itu. edu. tr/~ozcanm/kim/201210. pdf] (Erişim tarihi: 21. 07. 2015). Hancı İH. (2002) Adli Tıp ve Adli Bilimler. Seçkin Yayıncılık San ve Tic AŞ; Ankara: 214 -217. Harorlı A. ( 2006) Adli Diş Hekimliği. Eser Ofset Matbaacılık; Erzurum: 5 -6. Karakuş O. (2011) Adli Bilimler. Adalet Yayınevi; Ankara: 9 -10. Navarro E, Castelló A, López JL, Verdú F. (2006) Criminalystic: Effectiveness of lysochoromes on the developing of invisible lipstick-contaminated lipmarks on human skin. A preliminary study. Forensic Sci Int 158: 9 -13. Navarro E, Castelló A, López-Alfaro JA, Verdú F. (2007) More about the developing of invisible lipstick-contaminated lipmarks on human skin: The usefulness of fluorescent dyes. J Forensic Leg Med 14: 340 -342. Şakul BU, Bilecenoğlu B. (2009) Baş ve Boynun Klinik Bölgesel Anatomisi. Özkan Matbaacılık; Ankara: 78 -84.