Acute Respiratory Failure 5 types of Hypoxemia John































- Slides: 31
Acute Respiratory Failure: 5 types of Hypoxemia John Heisler, PA-C
Forms of Respiratory Failure • Acute Hypoxemic Respiratory Failure • Acute Hypercapnic Respiratory Failure • Difference between hypoxemia “blood” and hypoxia “cell” Pa. O 2: ABG Sp. O 2: O 2 monitor
Types of Oxygen
5 types of hypoxemia
THE 5 CAUSES OF HYPOXIA #1 – High Altitude #2 – Hypoventilation (Normal A-a gradient) #3 – Diffusion Disorder #4 – Shunt #5 – VQ Mismatch (High A-a gradient)
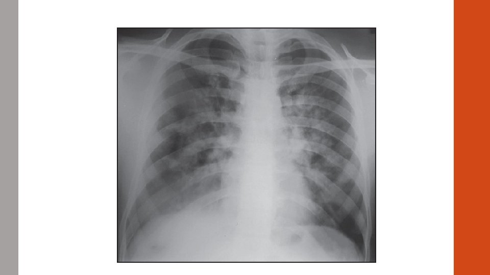
Case 1 You are a medical volunteer at Everest Base camp clinic (~16, 900 ft). A 27 year old man with no significant PMH, new climber presents with complaints of throbbing headache and shortness of breath x 1 day. On exam patient is tachypneic with bibasilar crackles. Tachycardic, Sp. O 2 85%. Remainder of exam normal.
s/p O 2
Diagnosis? Altitude Sickness!
A-a gradient aka the difference between alveolar and arterial oxygen 150
All about the alveolus! High A-a gradient: Lots of O 2 in Alveolus, not a lot in artery Low/Normal A-a gradient: Little O 2 in Alveolus thus little in artery
Young woman overdosed on antidepressants and alcohol Respiratory rate 8 breaths/min Arterial blood gas: p. H 7. 15, Pa. CO 2 71 mm Hg (9. 5 k. Pa), Pa. O 2 56 mm Hg (7. 5 k. Pa) in room air Why is this patient hypoxemic? Copyright 2016 Society of Critical Care Medicine Case Study 2 13
Which of the following is the most likely cause of hypoxemia in this patient? Hypoventilation Acidemia Alveolar hyperventilation Auto-positive end-expiratory pressure Copyright 2016 Society of Critical Care Medicine A. B. C. D. 14 14
Select all of the interventions that would be helpful in treating this patient’s hypoxemia. Copyright 2016 Society of Critical Care Medicine A. Administer supplemental oxygen. B. Prepare to initiate mechanical ventilation. C. Treat the patient’s overdose. D. Encourage the patient to breathe deeply. 16 16
THE 5 CAUSES OF HYPOXIA #1 – Low Patm (Normal A-a gradient) #2 – Hypoventilation #3 – Diffusion Disorder #4 – Shunt #5 – VQ Mismatch (High A-a gradient)
#3: Diffusion O 2 CO 2 interstitium 1 cell layer thick Impaired diffusion Responds to Oxygen
The pearl of clinical truth: Diffusion Dz • VERY wide differential for ILD: Environmental Drug-induced Autoimmune dz Infection Idiopathic Malignancy • Your job? GOOD H&P
#4: Shunt 70% SYSTEM 82. 5% 95% What’s the A-a gradient? What happens with O 2?
#4 Shunt • Two types of shunt: Anatomic “cardiac” Congenital Heart Defects ASD VSD PDA Physiologic “intrapulmonary” ARDS • Does not correct with O 2!
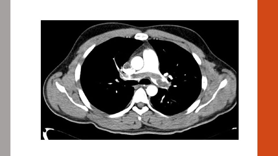
#5 CASE STUDY A 31 year old smoker presents to the ED with acute onset shortness of breath. Symptoms began ~2 hours prior to arrival. Syncopal event en route. She also endorses chest pain. T 98. 0 HR 125 BP 90/55 Sp. O 2 85% on 6 L NC.
A R L B
ABG 7. 56/20/56/24 p. H/CO 2/HCO 3
Diagnosis? Massive PE!
#5 VQ Mismatch • Most common cause of hypoxemia Pulmonary Embolism Pneumonia Pulmonary Edema COPD Normal Dead Space
Summary Cause of Hypoxia Remember! Altitude / low Patm Low alveolar oxygen A-a gradient. ↓A-a. Fully corrects w/ O 2 Hypoventilation Hypercapnia comes first Diffusion disorder Diffusion distance limited VQ mismatch MCC of hypoxia Shunt Anatomic or physiologic ↑A-a. Partially corrects w/ O 2 ↑A-a. O 2 WON’T CORRECT
Summary Cause of Hypoxia Disease states Altitude / low Patm Altitude sickness Hypoventilation OSA/OHS Opioid/drug overdose Encephalopathy (all comers) Neuromuscular weakness Diffusion disorder Interstitial lung disease (many types) VQ mismatch COPD/asthma PNA PE Pulmonary Fibrosis Pulmonary Edema Shunt Anatomic: ASD, VSD, PDA Physiologic: SCAPE, ARDS