Acute Respiratory Distress Syndrome ARDS Definisi ARDS Peningkatan





























- Slides: 29
Acute Respiratory Distress Syndrome (ARDS)
Definisi • ARDS • Peningkatan permeabilitas membran alveolarkapiler terhadap air, • Larutan dan protein plasma, • Kerusakan alveolar difus • Akumulasi cairan dalam parenkim paru
Definisi • Konferensi ARDS Amerika-Eropa 1994 • • • Gagal napas akut Pa. O 2 / Fi. O 2 < 200 mm. Hg Radiografi dada : infiltrat alveolar bilateral sesuai dengan gambaran edema paru • Tekanan baji kapiler pulmoner (pulmonary capillary wedge pressure) < 18 mm. Hg • Pa. O 2 / Fi. O 2 200 -300 mm. Hg Acute Lung Injury
Aliran 100% O 2 (L/m) Fi. O 2 % Kanul Nasal 1 L/m 2 L/m 3 L/m 4 L/m 5 L/m 6 L/m 24 28 32 36 40 44 Transtrakeal 0, 5 -4 L/m 24 -40 Mask Oksigen 5 -6 L/m 6 -7 L/m 7 -8 L/m 40 50 60 Nonrebreathing 4 -10 L/m 60 -100
Faktor Risiko • Kerusakan langsung terhadap epitel alveolus – Aspirasi cairan lambung – Infeksi paru difus – Kontusio paru – Tenggelam – Inhalasi toksik – Emboli (udara, lemak atau cairan ketuban)
Faktor Risiko • Kerusakan tidak langsung terhadap epitel alveolus – Sepsis – Syok (hemoragik, kardiogenik, septik, anafilaktik) – Transfusi produk darah berlebihan – Trauma nontoraks (trauma kepala, luka bakar) – Pankreatitis – Tenggelam – Inhalasi toksik
Patogenesis • Fase Inisiasi – Sel-sel imun dan non imun melepaskan mediator inflamasi dalam paru dan sistemik • Fase Amplifikasi – Sel-sel efektor seperti netrofil teraktifasi tertarik dan tertahan di dalam paru • Fase Injury – Sel-sel efektor melepaskan mediator inflamasi termasuk protease dan oksidan yang secara langsung merusak paru
Patogenesis Kerusakan membran alveoler-kapiler Peningkatan permeabilitas membran Transudasi cairan yang kaya protein kedalam alveolus Rusaknya integritas surfaktan Kerusakan alveolus
Patogenesis Terdapat 3 fase kerusakan alveolus : • Fase Eksudatif – Edema interstitial dan alveolar, denudasi membrana basalis, pembengkakan sel endotel, nekrosis sel pneumosit tipe I, pelebaran intercelluler junction, pembentukan membran hialin pada duktus alveolar dan inflamasi netrofil • Fase Proliferatif – Proliferasi sel pneumosit tipe II • Fase Fibrosis – Kolagen meningkat dan paru menjadi padat karena fibrosis
Early exudative stage with loss of alveolar epithelium
Early proliferative stage with fibroblast proliferation
Fibrotic stage with extensive fibroblast proliferation
Diagnosis Klinis • Onset akut umumnya 3 -5 hari sejak adanya diagnosis kondisi yang menjadi faktor risiko ARDS • Tanda pertama adalah “Takipnea” • Pada auskultasi ditemukan ronki basah
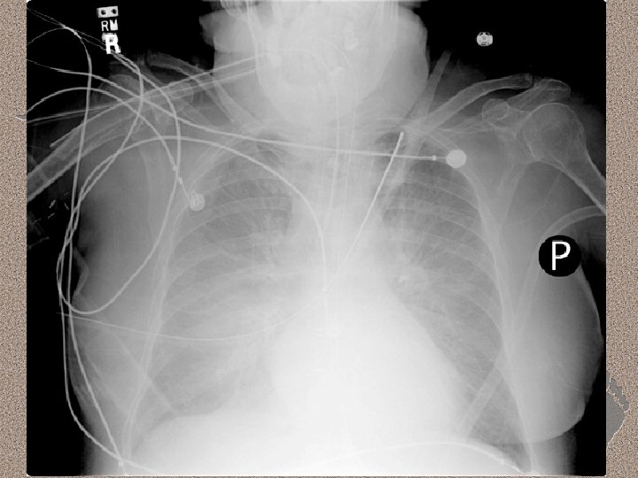
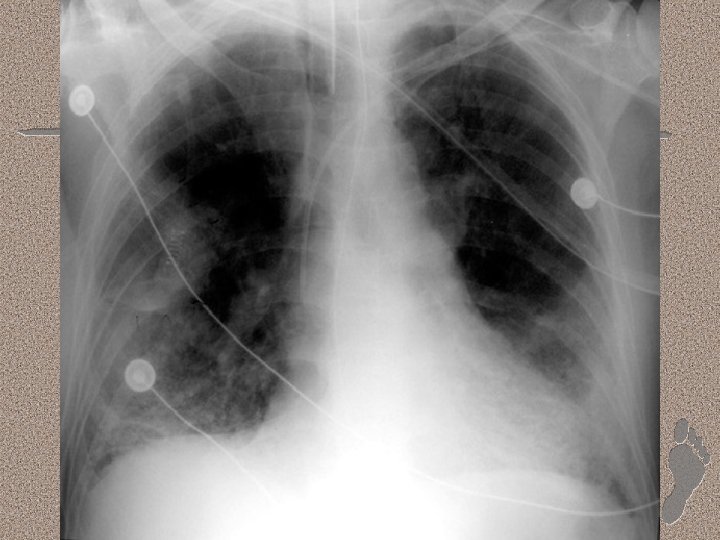
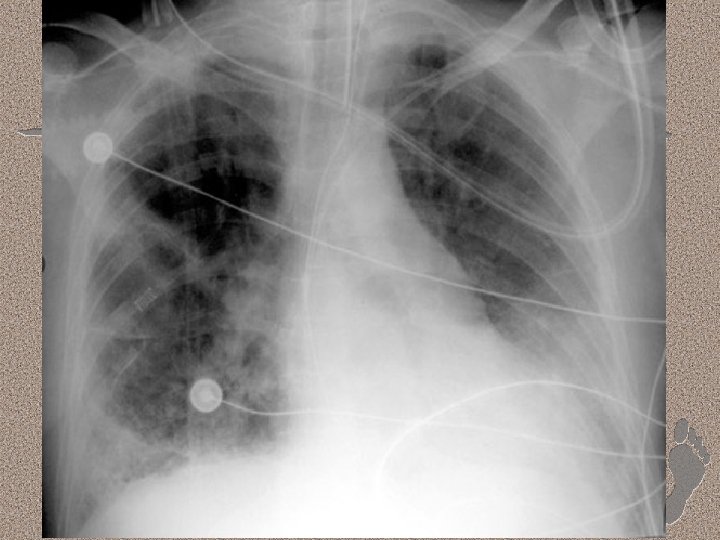
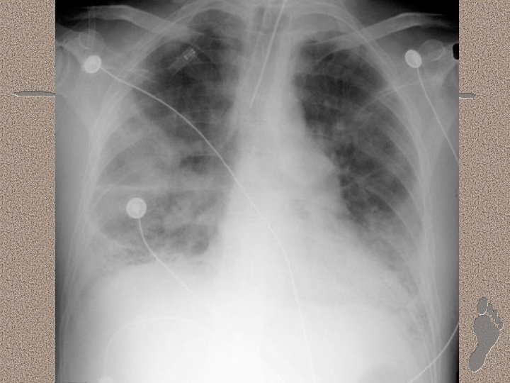
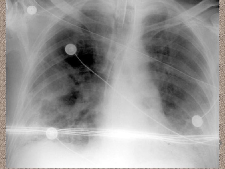
Pemeriksaan Penunjang • Laboratorium • AGD : alkalosis respiratorik pada fase awal, dan berganti menjadi asidosis respiratorik pada fase lanjut • Leukositosis (sepsis), anemia, trombositopenia (SIRS), peningkatan kadar amilase (pankreatitis) • Gangguan fungsi ginjal dan hati. • Pencitraan • • Foto dada : gambaran radioopak difus CT-Scan : pola heterogen, predominasi infiltrat pada dorsal paru (supine)
Diagnosis Banding • • • Edema paru kardiogenik Infeksi paru : viral, bakterial, fungal High-altitude pulmonary edema Edema paru neurogenik Edema paru akibat obat-obatan : heroin, salisilat, kokain Pneumonitis radiasi Emboli Pneumonitis hipersensitivitas Penyakit paru interstisial
Tatalaksana • Ambil alih fungsi pernapasan dengan ventilator mekanik • Obat-obatan : • Terapi penyebab dasar terjadinya ARDS • Kortikosteroid • Inhalasi Nitric Oksida (NO) • Diuretik • Sedativa, analgetik dan antipiretik • Posisi pasien : telungkup meningkatkan oksigenasi tetapi tidak mengubah mortalitas • Mengatur keseimbangan cairan : mempertahankan perfusi adekuat tanpa mengorbankan oksigenasi
Mechanical Ventilator • Use the lowest PEEP & Fi. O 2 to maintain Pa. O 2 > 60 mm. Hg • Small tidal volume (6 ml/kg of ideal BW) & airway plateau pressure limits (< 30 cm. H 2 O ) • PEEP may increase as long as COP & O 2 delivery aren’t impaired and pulmonary pressures aren’t excessive
Komplikasi • • Multiorgan dysfunction syndrome (MODS) Pneumonia nosokomial Barotrauma, pneumotoraks Trauma laring Trakeomalasia Fistula trakeo-esofageal Kematian
Prognosis • Mortalitas sekitar 40% & jika disertai sepsis 90% • Prognosis dipengaruhi oleh : – – – Penyakit dasar Adanya keganasan Adanya atau timbulnya disfungsi organ multipel Usia Ada atau tidaknya perbaikan dalam indeks pertukaran gas, seperti rasio Pa. O 2/Fi. O 2 dalam 3 -7 hari pertama.
Kesimpulan • ARDS adalah sindroma yang ditandai oleh kerusakan parenkim paru sebagai akibat dari berbagai faktor risiko baik langsung maupun tidak langsung. • Faktor-faktor risiko tadi menyebabkan serangkaian reaksi inflamasi pada seluruh parenkim paru sehingga terjadi penurunan fungsi paru secara akut • Diagnosis ditegakkan berdasarkan anamnesis, pemeriksaan fisik, laboratorium juga pencitraan.
• Penatalaksanaan ARDS adalah untuk mempertahankan perfusi adekuat tanpa mengorbankan oksigenasi, yaitu dengan penggunaan ventilator mekanik, pemberian obat-obatan serta pengaturan cairan. • Pasien dengan ARDS memiliki prognosis yang buruk terutama jika terdapat penyakit dasar atau adanya penyulit lain.
Thank You