Acute heart failure and significant aortic valve stenosis

  • Slides: 20
Download presentation
Acute heart failure and significant aortic valve stenosis Prof. Dr. W. Van Mieghem 13

Acute heart failure and significant aortic valve stenosis Prof. Dr. W. Van Mieghem 13 -09 -2008

A. F. • • • 75 year old male patient Antracosilicosis Arterial hypertension Type

A. F. • • • 75 year old male patient Antracosilicosis Arterial hypertension Type II diabetes mellitus Cigarette smoker Peripheral vascular disease with bypass surgery right femoral artery and amputation first toe left foot

A. F. • Coronary artery disease • Myocardial infarction 11/2002 • CABG: critical main

A. F. • Coronary artery disease • Myocardial infarction 11/2002 • CABG: critical main stem stenosis RCA 12/2002 • Degenerative aortic stenosis • Heart failure 5/2003 • New onset angina pectoris 12/2007

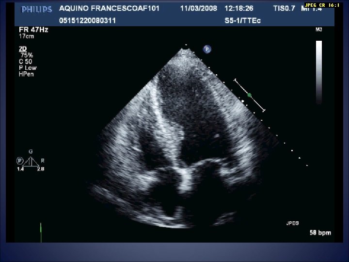
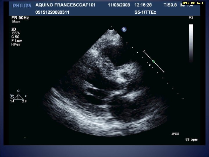
Acute HF hospitalization 13/08/2008 • Raised jugular venous pressure • Pulmonary oedema • Aortic

Acute HF hospitalization 13/08/2008 • Raised jugular venous pressure • Pulmonary oedema • Aortic valve stenosis

Coronary arteriography • LIMA -> LAD: normal function • RIMA -> RCA: normal function

Coronary arteriography • LIMA -> LAD: normal function • RIMA -> RCA: normal function • SVG -> CX: normal function

Pulmonary function • FVC 1, 43 l= 40% normal value • FEV 1 1,

Pulmonary function • FVC 1, 43 l= 40% normal value • FEV 1 1, 41 l= 60% normal value • R. V. 0, 96 l= 38% normal value • TLC 2, 3 l= 41% normal value

Duplex carotid arteries • 90% stenosis RCA

Duplex carotid arteries • 90% stenosis RCA

How to treat this patient?

How to treat this patient?

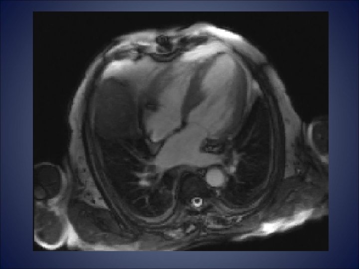
Cardiac MRI • The myocardium is thinned at the apical level with a diffuse

Cardiac MRI • The myocardium is thinned at the apical level with a diffuse delayed enhancement and moderately dyskinetic movement during the ventricular contraction • Fibrotic and non-viable tissue

Proposed treatment • Right carotid endarterectomie • Aortic valve replacement • Aneurysmectomie

Proposed treatment • Right carotid endarterectomie • Aortic valve replacement • Aneurysmectomie

Operation: • Succesfull right carotid endarterectomie • Extremely difficult dissection because of extensive pericardiac

Operation: • Succesfull right carotid endarterectomie • Extremely difficult dissection because of extensive pericardiac fibrosis with massive adhesions • Aortic valve replacement with bioprothesis • Aneurysmectomie not performed because of technical difficulties • The postoperative cause was complicated with a right sided pneumonia and the patient remained on the respirator for 30 days • Patient is still mentally recovering