Acua Grajeda Omar Cualquier enfermedad que se manifiesta































- Slides: 31
Acuña Grajeda Omar
Cualquier enfermedad que se manifiesta única o primordialmente en la zona cubierta por el pañal
Humedad Fricción Contacto con orina Heces Otras sustancias
Sobre hidratación de la piel • Altera su función como barrera y aumenta su roce con el pañal. Asociación del p. H urinario con enzimas fecales • Ureasa fecal separa la urea de la orina en dos partículas, una de las cuales es el amoníaco Fricción • Contribuye a macerar el estrato córneo y así altera aún más la función de barrera de la piel.
El o los agentes causales pueden ser diferentes en cada paciente
Puede mostrarse desde el punto de vista clínico en varios modos y grados
Aparición de lesiones cutáneas en las áreas que tienen un contacto más directo con el pañal
� Eritema en regiones glúteas, genitales y superficies convexas de los muslos, dejando libre el fondo de los pliegues.
� Eritema más vivo e intenso, con afectación de los pliegues y signos de exudación
� Ulceraciones superficiales en saca bocados, salpicadas, en número reducido.
� Muestra afectación en la zona lateral de las nalgas, en las áreas que corresponden a la parte del pañal que carece de material absorbente.
Se debe a la irritación de la zona anal y perianal por el contacto prolongado o repetido con las heces y/o la fricción excesiva con productos de limpieza.
Meramente clínico
Diagnósticos diferenciales Dermatitis seborreica Psoriasis del pañal Candiadiasis del pañal Impétigo
Tratamiento - Realizar buena higiene e la zona, que permanezca siempre seca y limpia. - Cambios frecuentes de los pañales. Factor crucial: número de cambios de pañal al día. - Maceración puede evitarse con polvos de talco u óxido de zinc, aunque estos polvos están desaconsejados en erosiones del a pie.
Terapéutica Corticoides tópicos de baja o moderada potencia Muchos casos se benefician con la aplicación tópica de un anti fúngico. Antibióticos tópicos deben usarse en caso de sobre infección bacteriana demostrada.
http: //www. medwave. cl/atencion/infantil/FUDOCII 2 003/3/3. act � http: //www. tinitus. com. ar/Download/Biblioteca/Der matologia/protocolodermapanal. pdf � 1. Berg RW, Milligan MC, Sarbaugh FC. Association of skin wetness and p. H with diaper dermatitis. Pediatr Dermatol 1994; 11: 18 -20. � 2. Chavigny JM, Crépin V, Stalder JF. Ann Dermatol Venereol 1996; 123: 681 -685. � 3. Lane AT, Rehder PA, Helm K. Evaluations of diapers containing absorbent gelling material with conventional disposable diapers in newborn infants. Am J Dis Child 1990; 144: 315 -318. � 4. Lorette G, Vaillant L. Dermites du siège des nourrissons. Ann Dermatol Venereol 1990; 117: 213219. �
Omar Acuña Grajeda
Síntesis de Vitamina D Efectos psicológicos positivos Efectos fisiológicos de la luz Estimulante inmune Efecto antimicrobiano
Enfermedades cutáneas que se producen por el aumento de capacidad de reacción de la piel a las radiaciones lumínicas tras la administración de una sustancia foto sensibilizante.
AINES Se absorbe la energía lumínica. Después cede esa energía y se producen radicales Sustancia libres y especies reactivas de oxígeno. Fenotiacinas Quinidina foto sensibilizante Fragancias
Dermatitis Foto tóxica Foto alérgica
No existe mecanismo inmunológico Fitofotodermatitis, dermatitis de Berloque, tatuajes, etc. Dermatitis fototóxica Se caracterizan por eritema intenso, edema y vesiculación. Las lesiones son monomorfas.
La luz cambia la configuración de la sustancia y la convierte en antígeno. Hipersensiblidad mediada por células. Lesiones poliformas. Pápulas, vesículas, lesiones eccematosas. Sobre pasan las zonas descubiertas. Dermatitis Foto alérgica Fármacos: Susts. Sensibilizadoras más frecuentes. Fenotiacinas, sulfamidas, AINES, etc. Diagnóstico mediante historia clínica.
Aplicación del antígeno sospechoso Erupción eccematosa indica prueba positiva. Se expone a la luz después Se compara con un sitio no expuesto
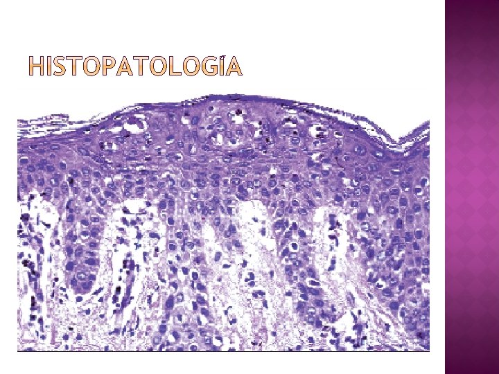
Epidermis con edema intracelular. Grado variable de queratinocitos apoptóicos. Exocitosis eosinofílica en grado variable, edema y vasodilatación de capilares de dermis. Fases avanzadas: hiperqueratosis e hipergranulosis. Infiltrado de células mononucleadas de mediana intensidad.
Evitar sustancias foto sensibilizantes. Casos intensos: Corticosteroides. Inflamación leve: Loción calmante topica Evitar exposición solar Lesiones exudativas: Lociones astringentes.
� http: //www. e-dermatosis. com/pdf- zip/Derma 021. pdf � 1. Bielsa marsol I. Eccemas (I). En: Ferrándiz C. Dermatología Clínica. Madrid: Harcourt 2001: 117 -125. � 2. Fernández Vozmediano JM, Nieto Montesinos I. Dermatitis por contacto en la infancia. En: Fonseca Capdevila E, ed. Dermatología pediátrica. Madrid: Grupo Aula Médica 1997: 456 - 567.