Actualiti n alergologia pediatric Prof Dr N Miu





















































































































































- Slides: 149
Actualităţi în alergologia pediatrică Prof. Dr. N. Miu Release by Med. Torrents. com
1. Epidemiologie generală, diagnostic şi prevenţie precoce § Terenul atopic este caracterizat printr-o dereglare a răspunsurilor imunitare, cu o reactivitate la alergeni orientată spre un răspuns de tip Th 2 – predominant.
§ După unii autori, această dereglare ar fi detectabilă foarte precoce, chiar în cursul vieţii fetale. Astfel, rezultatele studiului prospectiv al lui S. L. Prescott şi colab. (2003), efectuat pe 60 de n. n. urmăriţi până la vârsta de 6 ani, arată că, la naştere şi după activarea de către mitogenele şi alergenele curente, limfocitele (Ly) din sângele cordonului ombilical ale copiilor care au dezvoltat ulterior boli alergice produc mai puţină interleukină (IL 12), decât copiii care rămân sănătoşi. În plus, există o relaţie inversă între capacitatea celulelor din sângele cordonului ombilical de a produce IL-12 şi IL-13.
§ După foarte mulţi autori, principala caracteristică atopică nu ar fi legată de o reactivitate Th 2 precoce (fetală sau la naştere prezentă), pentru că toţi n. n. şi sugarii au răspunsuri Th 2 predominante, ci persistenţa acestei reactivităţi Th 2 (A. C. Hauer şi colab. 2003; A. Kihlström şi colab. 2003; M. F. Böttcher şi colab. 2002), deşi profilul Th 2 al n. n. -lor cu risc atopic ridicat ar fi consecinţa unei sensibilizări in utero, în timp ce profilul observat la n. n. cu risc mic ar rezulta, predominant din maturaţia fiziologică a sistemului imunitar fetal.
§ Diverse studii au sugerat că riscul atopic ar putea fi influenţat de condiţiile care afectează viaţa perinatală, printre care: § Vârsta mamei şi § Condiţiile naşterii § A. F. Dioun şi colab. (2003) arată că vârsta mamei, de peste 30 de ani, reprezintă un factor de risc important, pentru copil, de a dezvolta o alergie alimentară, mai cu seamă dacă este vorba de primul copil.
§ Opunându-se colonizării tubului digestiv al n. n. lui de către flora bacteriană saprofită a mamei, naşterile prin cezariană ar creşte riscul apariţiei bolilor alergice (M. Eggesbo şi colab. , S. Häkansson şi K. Källen (2003), P. Bager şi colab. (2003)). § La subiecţii predispuşi (teren atopic), riscurile sensibilizării şi de dezvoltare a bolilor alergice sunt influenţate de expunerile la multipli factori de mediu, alergici şi ne-alergici.
§ Prevenţia acestor riscuri se bazează pe măsuri adaptate situaţiilor, a căror eficacitate este probabil maximală dacă sunt luate precoce (perioada fetală şi perinatală, primele luni şi ani de viaţă). § Într-un studiu prospectiv, efectuat pe 4000 copii suedezi urmăriţi de la naştere până la vârsta de 2 ani, M. Wickman şi colab. (2003) arată că măsuri relativ simple (alăptare naturală prelungită, evitarea tabagismului pasiv, evitarea atmosferei poluante, măsuri de ventilaţie adecvată) reduc semnificativ incidenţa wheezing-ului (12, 8% faţă de 24, 1% la gupul martor) şi al astmului (6, 8% faţă de 17, 9%).
§ Influenţa benefică a acestor măsuri este semnificativ mai importantă la copiii cu risc crescut de atopie şi/sau astm, bazat pe antecedentele familiale, decât la cei fără antecedente familiale. § Efectele protectoare alimentaţiei naturale prelungite şi, dacă este posibil, exclusivă şi a întârzierii diversificării alimentaţiei, sunt confirmate de multe studii retrospective şi prospective, care analizează corelaţiile între tipul de alimentaţie şi riscul dermatitei atopice (DA) (I. Kull şi colab. 2002; A. Schoetzan şi colab. 2002), rinitei alergice, a wheezing-ului şi astmului (I. Kull şi colab. 2002; P. C. Chulada şi colab. 2003).
§ Relaţia între atopie şi infecţiile curente este foarte interesantă. Rezultatele unui studiu prospectiv, efectuat pe 889 copii danezi urmăriţi de la naştere, arată că, la vârsta de 7 ani, riscul atopic, apreciat prin istoricul clinic şi pe baza rezultatelor dozărilor Ig. E serice specifice pentru alergenii curenţi, creşte odată cu numărul infecţiilor (rujeolă, rubeolă, oreion, varicelă) în timpul celor 2 ani de viaţă (P. Bager şi colab. 2002). Aceste studii concordă cu rezultatele unei cercetări in vitro care arată că temperaturile egale sau superioare la 380 C, inhibă producţia citokinelor t caracteristice tipului Th 1 şi potenţează producţia citokinelor de tip Th 2 de către celulele mononucleate sanguine umane (E. M. Boneberg şi T. Hartung 2003).
§ În cazul infecţiilor cu VSR în primii 2 ani de viaţă, dacă ele grăbesc vârsta de debut a astmului (în medie 3 ani faţă de 5, 6 ani la copilul care nu a fost infectat cu VSR, p=0, 014), ele par a nu avea nici o influenţă semnificativă faţă de prevalenţa dermatitei alergice, a rinitei alergice şi a astmului la vârsta de 6 -10 ani (H. Juntti şi colab. )
§ În legătura cu vaccinările, s-a pornit de la idea că, creşterea numărului de vaccinări ar putea sta la originea creşterii prevalenţei bolilor alergice. § Studiul lui P. Bager şi colab. pe 2. 300 femei tinere daneze, arată că riscul de atopie, de rinită alergică sau astm la vârsta de adult nu este influenţată de existenţa sau absenţa vaccinării antivariolice în copilărie.
§ Diverse studii au sugerat că vaccinarea BCG în timpul copilăriei ar putea diminua riscul atopic şi că acest efect protector ar fi proporţional cu imunitatea antituberculoasă indusă. In vitro, celulele mononucleate sanguine a copiilor atopici recent vaccinaţi cu BCG produc mai mult IFN-gamma (p<0, 001) şi mai puţină IL-5 decât celulele sanguine ale copiilor atopici nevaccinaţi (A. Ozera şi colab. )
§ În acelaş timp, într-un studiu prospectiv, efectuat pe 751 copii australieni de origine asiatică, G. B. Marks şi colab. arată că, global, între 7 -14 ani, frecvenţa bolilor alergice este identică la copiii vaccinaţi BCG la naştere, ca şi la cei nevaccinaţi. § Totuşi, în acest studiu, riscul relativ al Hiperreactivităţii bronşice ne-specifice şi ale Astmului este modest, dar semnificativ diminuat, la copiii vaccinaţi având antecedente de atopie la părinţi, ceea ce sugerează că vaccinarea neo-natală cu BCG ar exercita un anumit efect protector faţă de riscul astmatic, dar numai la copiii cu risc atopic crescut (!)
§ Rezultatele studiului C. Grüber şi colab. , pe aproape 1000 de copii germani investigaţi printr -o anamneză detaliată, dozarea Ig. E serice totale şi a Ig. E serice specifice, arată că prevalenţa Dermatitei atopice, a Astmului şi a nivelului de sensibilizare este, la vârsta de 5 ani, invers corelată cu numărul de injecţii de vaccinuri împotriva tusei convulsive, rujeolei, rubeolei, oreionului şi Haemophilus influenzae.
2. Alergia respiratorie § Numeroşi factori care acţionează asupra foetusului (în special tabagismul pasiv in utero), alţii care depind de n. n. : greutatea mică la naştere, prematuritatea, condiţiile naşterii, etc. / şi de sugar: infecţiile virale căilor respiratorii, expunerea la alergene şi la substanţe iritante ale căilor respiratorii, printre care acelaşi tabagism pasiv, sunt capabili de a majora riscurile de atopie şi astm la copil.
§ Rezultatele unui studiu retrospectiv, cuprinzând aproape 6000 de copii şi adolescenţi americani ne-selecţionaţi, exploraţi funcţional, arată că tabagismul matern în timpul gravidităţii induce o reducere durabilă a debitelor şi a raporturilor debite/volume, inclusiv la copiii ne-astmatici (F. D. Gilliland şi colab. 2003)
§ Anomaliile funcţionale sunt mult mai marcate la astmatici decât la ne-astmatici şi sunt cu atât mai importante cu cât debutul atmului a fost mai precoce. § Aceste rezultate sugerează deci că efectele nefaste ale tabagismului pasiv in utero sunt majorate de factori genetici care predispun la astm şi că, în familiile cu risc astmatic ridicat, este imperativ de a suprima tabagismul în timpul gravidităţii.
§ Prevalenţa astmului este crescută la marii prematuri şi la copiii cu greutate mică la naştere, dar mecanismele capabile să explice acest fenomen rămân insuficient cunoscute.
§ Într-un studiu prospectiv, care a inclus 86 n. n. cu greutate mică la naştere şi 86 n. n. cu greutate normală, urmăriţi până la vârsta de 12 ani, X. M. Mai şi colab. confirmă că astmul este mai crescut la copiii cu greutate mică la naştere şi arată că principalul factor în cauză este legat de o oxigenoterapie sub ventilaţie asistată prelungită (> 9 zile), probabil din cauza efectelor sale pro-inflamatorii. În studiu însă nu s-a pus în evidenţă nicio relaţie între greutatea la naştere şi riscul atopic. § Riscul atopic este semnificativ crescut prin infecţiile căilor respiratorii (în special cu VSR) din timpul primilor ani de viaţă.
§ Rezultatele unui studiu prospectiv, pe 100 de sugari spitalizaţi pentru Bronşiolită acută arată că Bronşiolitele rezultând dintr-o infecţie cu Rhinovirus sunt departe de a fi excepţionale, în special la copiii cu Dermatită atopică (A. Katanieni-Syrjänen şi colab. ).
§ În plus, astmul la 7 -8 ani este semnificativ crescut la copiii care au prezentat o Bronşiolită cu Rhinovirus, în raport cu copiii care au suferit de Bronşiolită dată de altă etiologie. § Aceste rezultate sugerează deci că existenţa unui teren atopic personal creşte riscul infecţiilor cu Rhinovirus (probabil via o expresie crescută a moleculei de adeziune intracelulară ICAM-I, care serveşte de asemenea ca receptor pentru Rhinovirus) şi că infecţiile sugarilor cu Rhinovirus reprezintă un important factor de risc pentru astmul copilului.
§ Infecţiile virale căilor respiratorii sunt un important factor de risc pentru declanşarea crizelor astmatice la copiii astmatici.
§ Studiul retrospectiv al lui A. J. Chauhan şi colab. cuprinzând 114 copii astmatici urmăriţi timp de 13 luni, confirmă rolul declanşator al infecţiilor virale de căi respiratorii, dar arată de asemenea că gravitatea crizelor induse de aceste infecţii este mărită de o expunere la nivele ridicate de NO 2 în timpul săptămânii care precede infecţia. Pare deci că, asocierea mai multor factori de iritaţie şi/sau inflamaţie a căilor respiratorii acţionează în mod sinergic asupra simptomelor respiratorii. De altfel, o poluare atmosferică puternică, cu ozon şi derivaţi ai combustiei hidrocarburilor, creşte de asemenea expresia simptomelor la copiii suferind de Rinită dată de polen (P. A. Steerenberg şi colab. ). Exemplele pot continua cu expunerile la SO 2 (dioxid de sulf), gaze de eşapament etc.
§ Poluarea “casnică” poate fi de asemenea o cauză în studiul prospectiv pe aproape 200 de copii cu risc astmatic crescut, V. Diez şi colab. arată că, riscul “bronşitelor asmatiforme” este semnificativ crescut de renovarea apartamentelor în timpul precedenţilor 2 ani. Riscul acestor “bronşite astmatiforme” este majorat dacă există factori adiţionali, cum ar fi tabagismul pasiv, un grad de igrasie sau prezenţa animalelor cu blană. Există, astfel, noţiunea de efect cumulativ al factorilor de risc.
§ În ceea ce priveşte gravitatea astmului, rezultatele studiului prospectiv al lui R. Kurukulaaratchy şi colab. cuprinzând 1450 n. n. neselecţionaţi, arată că, la vârsta de 10 ani, gravitatea astmului, apreciată prin: § scorul medicamentos § numărul de spitalizări § măsurarea HRB nespecifice, este semnificativ mai importantă la copiii care au prezentat “sibilanţă” precoce şi durabilă, comparativ cu cei cu “sibilianţă” tardivă şi/sau tranzitorie.
§ Rezultatele studiului L. Bräbäch şi colab. pe 215. 000 copii suedezi urmăriţi pe o perioadă de 10 ani prin analiza datelor medicale informatizate naţionale, arată că: § vârsta tânără a mamei, § greutatea mică la naştere, § tabagismul matern, § prezenţa în casă de fraţi şi surori mari, reprezintă factori de risc de spitalizare pentru o Bronşită acută astmatiformă înainte de vârsta de 2 ani (!)
§ Riscul este în mod deosebit ridicat dacă există un cumul de factori de risc şi în particular un tabagism la mamă, asociat unei prematurităţi, în comparaţie cu copiii născuţi la termen şi neexpuşi la tabagism. § V. Siroux şi colab. într-un studiu cuprinzând 216 copii şi adolescenţi astmatici, arată că gravitatea astmului este pozitiv şi semnificativ corelată cu nivelul Ig. E seric total, dar nu şi cu numărul eozinofilelor sanguine şi nici cu numărul prick-testelor pozitive la alergenii curenţi.
§ O alergie alimentară asociată la un astm, reprezintă un factor de risc de gravitate al astmului infantil şi creşte în mod considerabil frecvenţa spitalizărilor pentru astm şi în special pentru astmul grav (astm “quasi-fatal”). § Rolul terenului atopic ca factor de risc de persistenţă şi de gravitate al astmului este confirmat de B. Kjellman şi P. M. Gustafsson, care arată că, împreună cu sexul (feminin) şi existenţa unei puternice HRB ne-specifice, existenţa unei sensibilizări la alergenii obişnuiţi, la animalele domestice, în timpul copilăriei, creşte riscurile de persistenţă şi gravitate ale astmului la vârsta adultă.
§ Studiul lui W. K. Kalaajiek arată că riscul de spitalizări repetate pentru crize de astm acut grav este semnificativ crescut la: § § § Copiii de sex masculin (raport M/F = 1, 8), Expunere la tabagism al mamei (p < 0, 02), Cu repetate IACRS (p<0, 001) Vârsta mai mică de 11 ani (p<0, 05) Prezentare de semne manifeste de atopie, cum ar fi DA (p<0, 001), § Un nivel seric crescut la Ig. E serice totale (p<0, 02) § Hipereozinofilie sanguină (p<0, 001)
§ Literatura ultimilor ani confirmă că astmul copilului este subdiagnosticat şi subtratat şi că rămân de făcut multe eforturi pentru organizarea activităţii în cadrul depistării şi tratării astmului. (W. Maziak şi colab. )
§ Prevenţia şi tratamentul astmului trec prin asocierea cea mai complet posibilă a diverselor măsuri cu ar fi: § Îndepărtarea alergenelor şi a factorilor de risc ne-alergenici; § Un tratament medicamentos adaptat; § O eventuală desensibilizare.
§ Corticoizii inhalaţi reprezintă tratamentul de fond, de bază al astmului moderat şi grav, dar administrarea lor pe termen lung face obiectul multor dezbateri.
§ Într-un studiu randomizat, pe un lot de 174 copii astmatici din Franţa, urmăriţi regulat, timp de 2 ani, C. Roux şi colab. arată că Propionatul de fluticazon (200400 µg/24 ore) este superior Nedocromilului (8 -16 mg/24 ore), nu numai în termeni de control al bolii astmatice (pe bază de istoric clinic şi necesităţi adiţionale în medicamente), ci de asemenea în termeni de creştere a densităţii osoase. Nu s-a observat nici o diferenţă însă între cele 2 grupe în ceea ce priveşte creşterea taliei. § Aceste rezultate sugerează deci că, inhalarea corticoizilor prezintă un bun raport beneficiu/risc şi că utilizarea lor trebuie promovată la copiii astmatici.
§ Studiul suedez (G. Wennergren şi I. L. Strannegard) arată clar că utilizarea corticoizilor prin inhalaţie diminuă frecvenţa spitalizărilor copiilor în vârstă de 5 -18 ani, în mod semnificativ, în schimb, frecvenţa spitalizărilor copiilor sub vârsta de 2 ani pentru Bronşite astmatiforme nu a fost semnificativ influenţată de creşterea prescripţiei de corticoizi inhalaţi, confirmând că majoritatea episoadelor de “sibilanţă” chiar grave, rezultă din cauza infecţiilor virale căilor respiratorii.
§ Diversele studii au sugerat un anumit interes al utilizării anti-leucotrienelor în tratamentul copiilor astmatici, dar cu importante variaţii de la un studiu, la altul.
§ Într-un studiu prospectiv multicentric, pe 1000 copii astmatici între 2 -14 ani, K. A. Meyer şi colab. nu obiectivează niciun element capabil să explice diferenţele de reactivitate la Montelukast de la un copil la altul (vârstă, sex, rasă, loc de învăţat etc. ). Nu se ştie încă de ce unii se ameliorează cu Montelukast şi alţii nu.
§ În schimb, studiul confirmă că Montelukast, în priză unică şi în asociere cu corticoizi inhalatori, previne eficient riscul de astm de efort la copiii astmatici, dar cu rezerva de a fi ingerat cu 12 ore înainte de efort. Invers, el este total ineficient dacă administrarea se face cu 2 ore sau cu 24 ore înainte de efort.
§ În sfârşit într-un studiu simplu (administrare contra placebo) pe 116 sugari şi copii mici spitalizaţi pentru o Bronşiolită acută cu VSR, H. Bisgaard arată că un tratament cotidian cu Montelukast, în primele luni după spitalizare, diminuă semnificativ tusea spamodică şi exacerbările wheezing-ului post-bronşiolită.
§ Mai multe studii recente au demonstrat eficacitatea desensibilizării (DS) pe cale sublinguală a copiilor cu Rinită, Conjunctivită şi/sau Astm, alergici la acarieni şi la polen.
§ După Di Rienzo şi colab. , într-un studiu efectuat pe 60 de copii suferind de Astm alergic la Acarieni, din care 35 au primit DS pe cale sublinguală şi 25 placebo, eficacitatea DS persistă pentru o perioadă de 4 -5 ani după oprirea sa, în termeni de reducere a scorului clinic şi medicamentos. § O diminuare semnificativă a nivelului plasmatic al ECP (proteina cationică a eozinofilelor), a IL 13 şi a Prolactinei, care nu este observată decât la copiii care au primit recent un tratament activ şi nu la cei care au primit placebo, sugerează că DS pe cale sublinguală tinde să diminue reactivitatea Ly. T Th 2 îndeosebi (!)
§ Diversele studii recente au sugerat un posibil interes al anticorpilor anti Ig. E “umanizaţi” în tratamentul bolilor alergice a copilului (R. F. Lemanske şi colab. )
§ În sfârşit, dacă un program educativ de tip şcoala astmului ameliorează semnificativ adeziunea părinţilor la tratamentul cu corticoizi inhalaţi de copiii lor, acest tip de program nu diminuă semnificativ riscul relativ al consultaţiilor de urgenţă sau de spitalizare pentru criza de astm (S. L. Lukacs şi colab. )
3. Alergia cutanată § Dermatita atopică este o afecţiune frecventă a copilului. Ea este martorul existenţei unui teren atopic, care predispune la dezvoltarea altor alergii, alimentare şi/sau respiratorii. § Într-un studiu pe 1500 copii englezi în vârstă de 10 ani, Kurukulaaratchy şi colab. arată că, la această vârstă, prevalenţa DA este de 13, 7%, dar dacă se ia în consideraţie faptul că o proporţie din copii şi-au vindecat DA, prevalenţa cumulată a acestei afecţiuni este estimată la peste 40%.
§ Factorii de risc ai persistenţei DA, la vârsta de 10 ani, au fost: § un debut precoce (56, 3%) § istoric clinic de alergie alimentară şi/sau respiratorie § prick-teste pozitive la unul sau mai mulţi alergeni obişnuiţi (p<0, 001) § antecedente materne de astm (p=0, 03)
§ Se ştie că alergenele alimentare joacă un rol etiopatogenetic important în DA la copil, dar se ignoră dacă alimentele actuale în cauză sunt aceleaşi care erau implicate în urmă cu 10 -15 ani. § LV, oul, făina de grâu, soia, arahidele şi peştele par a fi alergenele alimentare cel mai frecvent implicate.
§ Unele sensibilizări alimentare pot fi oculte, după cum au arătat Monti şi colab. într-un studiu prospectiv pe 107 sugari suferind de DA şi care nu au consumat alimente cu conţinut de ou şi supuşi la un prim contact cu acest aliment, sub formă de test de provocare orală (TPO), efectuat în mediu spitalicesc. TPO la ou a fost pozitiv la 72 copii (67, 3%).
§ Se pare că sensibilitatea patch-testelor la alimente este net superioară sensibilităţii pricktestelor. § Clasic, tratamentul DA se bazează pe o asociere, cea mai complet posibilă, printre care: § îndepărtarea alergenilor responsabili şi a factorilor iritanţi ne-specifici § o bună igienă a pielii § utilizarea regulată de emoliente § aplicarea de dermocorticoizi în perioada puseului acut
§ Rezultatele studiului ETACTM au arătat că CETIRIZINE, administrată zilnic, ar diminua semnificativ riscul dezvoltării astmului la copiii suferind de DA. § Într-un studiu prospectiv multicentric, efectuat pe 817 sugari cu DA, Diepgen şi colab. arată că, pe lângă efectele preventive, Cetizirina administrată pe termen lung, diminuă semnificativ scorul medicamentos (p=0, 014) şi frecvenţa episoadelor de urticarie (p<0, 001) la copiii suferind de DA, cu excepţia celor care au o DA severă.
§ În sfârşit, noţiunea relativ recentă conform căreia probioticele ar prezenta o anumită eficacitate în tratamentul DA este confirmată de rezultatele unui studiu prospectiv, pe 58 copii suferind de DA (V. Rosenfeldt şi colab. ). Autorii arată că administrarea de 2 ori pe zi al unui amestec de lactobacili, pentru 6 săptămâni consecutive, se însoţeşte de ameliorarea clinică semnificativă, în special la copiii cu nivele ridicate de Ig. E serice totale şi cu prickteste pozitive cel puţin la un alergen obişnuit.
4. ALERGIA ALIMENTARĂ
MOTIVAŢIE • Alergia la proteinele LV – IDPLV termen ce nu trebuie confundat cu intolerenţa la lactoză, este cea mai frecventă dintre alergiile alimentare ale copilului mic cu o incidenţă estimată la 2% (0, 3 -7, 5% după diferitele studii). – Această alergie se caracterizează prin caracterul său tranzitoriu şi prin multiplicitatea simptomelor, ceea ce face uneori diagnosticul dificil.
Manifestările clinice ale IDPLV Manifestări digestive Manifestări extra-digestive • Vărsături, regurgitaţii • Diaree • Dureri abdominale colicative • Malnutriţie, diaree gravă rebelă • Enteropatie exudativă • Rectoragii, colită • Hematemeză, melenă, gastrită • Sângerare ocultă, anemie feriprivă • Enterocolită ulcero-necrozantă • Ileus paralitic • Dermatologice: urticarie, eczemă • Sistemice: şoc anafilactic • Respiratorii: astm • ORL: rinite, otite • Stomatologice: afte, stomatite • Neurologice: tulburări de comportament, insomnie
Esofagitele eozinofilice • Caracteristici – Simptome clinice • Similare simptomelor din Esofagita de reflux – – Vărsături şi regurgitări Pirozis Dureri în epigastru Disfagie • Simptome diferite – La copil – Adolescenţă • Caracter intermitent posibil • Genul masculin > Genul feminin – Semne şi simptome (> 50% din pacienţi): • Bronhospasm • Eczema • Rinita alergică – Istoric familial (35 -45% din pacienţi) • Alergii alimentare • Astm
Gastritele eozinofilice • Caracteristici – Caracteristici clinice • • Greţuri Vărsături Regurgitaţii Dureri abdominale puternice Diaree, enteropatie cu pierdere de proteine Sângerare gastro-intestinală Ascită Obstrucţie intestinală – > 95% antru gastric interesat (implicat) – Eozinofilie periferică (>50%) – Alergii asociate, eczemă, rinită, atopie
Caracteristicile proctocolitelor eozinofilice • Simptome clinice: – – – – Scaune sângerânde tari (ca piatre) Diaree Dureri abdominale (oarecare) < 3 luni vârstă (media 60 zile) Creşterea ponderală normală (de obicei) Stare de bine aparent Eczemă, atopie – rar • Laborator: – Laucocite în fecale – Eozinofilie periferică puţin importantă – Rareori • Hipoalbuminemia • Anemia – Prick teste, RAST-testele: negative
• Definiţia: Există o terminologie “variată” în literatură faţă de alergia alimentară: – Anafilaxia alimentară este termenul de descriere a alergiei clasice, reacţie sistemică imediată la un aliment, mediată Ig. E – Alergia alimentară include • Anafilaxia alimentară Ig. E mediată + • Alte mecanisme imunologice - II (? ) - III (CIC) - IV – Intoleranţa alimentară este un termen general = cu reacţie adversă (? !) la ingestia de alimente sau de aditivi şi care nu este de natură imunologică. Ea ar include răspunsuri de tip: • • • idiosincrazic metabolic farmacologic toxic nedefinit
Alergia alimentară la copil • Corespunde ansamblului manifestărilor clinice de origine imuno-alergică declanşată de alimente. • Nu toate manifestările care se repetă după ingestia de alimente “suspecte” sunt A. A. : – A. A. implică un mecanism strict imunologic al simptomelor şi trebuie diferenţiată de “falsa alergie alimentară” (F. A. A. ) care se poate traduce prin simptome comparabile, dar legate de un mecanism “histaminic” ne-specific. • Mecanismele alergiei alimentare – Alergia alimentară adevărată • Se poate prezenta sub 3 forme principale: – A. A. imediată Ig. E dependentă – A. A. semi-retardată mediată prin complexe imune – A. A. retardată cu mediaţie limfocitară
Diferitele tipuri de alergie alimentară după clasificarea lui Gell şi Coombs Clasa Gell şi Coombs Tipul III Tipul IV Mediatorul principal Ig. E +++ CIC Limfocitul T Ig. G 4 tip Ig. G şi Ig. M Intervalul între ingestie şi semnele clinice Câteva minute - 2 ore 8 -12 ore 1 -2 zile Clinică • Semne cutanate • Semne respiratorii +++ • Vărsături • Diare acută • Anafilaxie • Creşterea Ig. E totale • Creşterea Ig. E specifice • Prick-test + • Test de provocare orală + • Hemoragii digestive Malabsorbţie Diagnostic • Hemosideroză pulmonară • Diminuarea complem. • Prezenţa de CIC Diaree cronică • TTL pozitiv • Biopsie digestivă + • Evitarea reintroducerea alimentului
• Toleranţa intestinală la antigenele alimentare – Antigenele alimentare sunt toate imunogene pe cale parenterală – Pe cale orală, ele induc o stare de toleranţă sistemică dar deasemenea un răspuns imunitar local în Ig. A – Absenţa, retardul sau ruptura toleranţei sistemice indusă pe cale orală determină o alergie alimentară (A. A. ) • Diverse mecanisme explică instalarea sau ruptura toleranţei: – Bariera digestivă mucoasă – Bariera imunitară – Răspunsul imunitar normal al tubului digestiv • Rolul Ig. A secretorii – Toleranţa antigenelor alimentare. Fenomenul de excludere antigenică • Răspunsul Ig. AS are ca scop de a împiedica antigenul alimentar de a ajunge până la celulele imunocompetente şi de a declanşa o reacţie alergică nefastă pentru organism (fenomen de “excludere antigenică”) • Acest răspuns Ig. AS protector implică un efect imunogen al alimentelor şi o activare a limfocitelor T auxiliare
• Factorii favorizanţi ai toleranţei: – – – Cantitate de alergen ingerată Rolul mucoasei intestinale Rolul ficatului şi al splinei Rolul limfocitelor T supresoare Rolul Ig materne • Factori favorizanţi ai imunogenităţii – Atopia – Starea nutriţională a copilului – Simultaneitatea introducerii mai multor alimente nu facilitează inducerea unei toleranţe – “Hiperpermeabilitatea intestinală” – Anomalie locală a Ig. A secretorii
Falsele alergii alimentare (F. A. A. ) • 3 mecanisme principale sunt implicate: – Un consum excesiv de amine biogene • • Histamina Tiramina Feniletilamina Histidina – O alteraţie funcţionlă a mucoasei digestive cu o hiperpermeabilitate intestinală – Un organism anormal fragil la eliberarea de histamină sau hiper-reactiv la histamină • F. A. A. sunt mult mai frecvente decât A. A. adevărate • Bock şi Martin consideră că A. A. adevărate nu există decât în 20% din copii cu o simptomatologie încadrabilă într-o A. A. • Cele 2 mecanisme, A. A. adevărate şi F. A. A. sunt asociate în 25% din cazuri • Un acelaşi aliment (ex. peştele) poate fi responsabil de o alergie Ig. E dependentă sau de o F. A. A. prin încărcare cu histamină sau histamino-eliberare nespecifică.
Alimente responsabile de falsa alergie alimentară • Consumul excesiv de amine biogene: – Brânzeturi fermentate, peşte afumat, legume • Alimente histamino-eliberatoare – Ovomucoidul din albuşul de ou, căpşuni, tomatele, ciocolata, peştele şi porcul • Coloranţi – Cei mai frecvenţi sunt Eritrozina (E 127), Roşul Cochenille A (E 124) şi “Le bleu patenté” (E 131) • Substanţele conservante – Cele mai utilizate sunt benzoatul de sodiu, nitriţii şi metabisulfiţii • Aromatizantele şi “relevante” ale gustului – Sindromul “restaurantului chinezesc” atribuit ingestiei excesive de glutamaţi a fost descris la copil
Alergeni alimentari (the “big eight”) Proteinele LV ( lactaglobulină) Albuşul de ou Arahide Proteinele din soia Proteinele din grâu (+) Nuci şi alune Peştele Crustacee
Antigenele alimentare • Caracterele generale proteinelor alergizante – Natura alergenului • Antigenele alimentare sunt în primul rând glicoproteinele. Este vorba uneori de haptene care provin din aliment sau dintr-un aditiv • Se disting între ele, pentru fiecare aliment unul sau mai multe alergene “majore” şi alergene “intermediare” şi “minore” • Subiecţii sensibilizaţi la un acelaşi aliment pot astfel avea în serul lor Ig. E specifice îndreptate contra diferitelor proteine • Factorii responsabili de alergenicitatea unei proteine – Este vorba de proteine de greutate moleculară cuprinsă în mod obişnuit între 20. 000 şi 40. 000 Daltoni, talie care asigură o bună imunogenitate şi care permite o absorbţie la nivel de mucoase – Laptele de femeie (NU!) – Laptele de vacă: conţine în medie 3, 2 g de proteine la 100 ml sau de 3 ori mai mult (în medie) decât laptele de femeie • 80% din proteine sunt reprezentate de Cazeina (G. M. =20 – 24. 000) • Lactozerul conţine 20% din proteinele considerate “solubile” • Este vorba în primul rând de -lactoglobulina (G. M. 18. 000, 10% din proteinele solubile), de -lactalbumina (G. M. 16. 000, 4% din proteinele solubile), de serum-albumină (G. M. 69. 000 1% din proteinele solubile), de imunoglobulinele (2% din proteinele solubile), de proteaze, peptone şi proteine enzimatice. • Agentul major pentru sugar este -lactoglobulina
Semnele clinice • Tulburări digestive • Tulburări extradigestive 1. Manifestări anafilactice: • Sunt manifestările cele mai redutabile • Survin în - 7, 6% din A. A. - 5% în I. P. L. V. tip I • • • Apar în minutele următoare după ingestia alimentului responsabil. Alimentele responsabile cel mai adesea la copil sunt laptele de vacă şi albuşul de ou. Poate exista un prodrom de tipul sindromului LESSOF (edem facial, labial “Picotements Vélo-Palatins”) Şocul propriu zis având în diverse grade - Paloare - Cianoză - Tahicardie - Hipotensiune arterială • • • Evoluţie fatală în 2, 6% din cazuri A fost incriminat în moartea subită a sugarului Apariţia poate fi favorizată de ingestia prealabilă de aspirină şi de efort
2. Manifestări gastro-intestinale Predomină la sugar şi variază în funcţie de tipul imunologic al I. P. L. V – Forme reaginice • diaree acută şi/sau vărsături în jet după fiecare biberon • diagnosticul este uşor (apar în minutele următoare ingerării, dispar după câteva ore şi reapar după o nouă ingestie de lapte) • pot să apară de la primele biberoane de lapte (sensibilizare “in utero”) – Formele nereaginice • sunt dominate de enteropatia la proteinele L. V. sau la proteinele de înlocuire (soia) • apare la mai multe zile după înţărcare = un mecanism de hipersensibilitate întârziată • diaree cronică retard ponderal • uneori vărsături • anorexia • meteorismul abdominal • sindrom de malnutriţie – Mai pot exista: gastropatii alergice cu eozinofilie periferică; manifestări colitice (rectoragii); colici abdominale intense la sugarul până la 4 luni; colon iritabil, enteropatie exudativă, ileus paralitic.
3. Manifestări cutaneo-mucoase – sindromul oral LESSOF: poate fi izolat sau să constituie prodromul manifestărilor mai generale şoc anafilactic – localizare electivă a edemului Quincke la buze sau regiunea faringolaringiană este evocatoare pentru A. A. la fructe sau legume dacă subiectul este deja alergic la polen – o urticarie acută a sugarului evocă înainte de toate o I. D. P. L. V. chiar în absenţa semnelor digestive – urticarie cronică este mult mai adesea în raport cu F. A. A. (40 -50% din cazuri) şi doar 3% din cazuri cu o A. A. adevărată – leziunile cronice de eczemă apar în 10 -50% din formele digestive de I. P. L. V. • asocierea lor la o diaree cronică şi la vărsături este foarte evocatoare pentru boală • modificări frecvente ale permeabilităţii intestinale există în eczema atopică chiar dacă aceasta este sau nu în relaţie cu alergia alimentară – relaţia dermita atopică izolată şi A. A. = mai mult de 50% dintre copii cu dermatită au o A. A. – dermatita herpetiformă = afecţiune cronică cutanată pruriginoasă reprezintă o expresie clinică a sensibilizării la gluten diferită de boala celiacă
4. Manifestări respiratorii – predomină la copilul mare – relaţia între A. A. şi astm este foarte controversată • incidenţa A. A. : în astm este de 5 -8, 5% dintre cazuri la copil • ne gândim la A. A. în faţa unui astm: – bilanţ al căutării unei sensibilizări la pneumoalergeni negativi – bilanţ pozitiv pentru pneumoalergeni dar eşec al unei desensibilizări bine conduse – astmul cu declanşare diurnă şi postprandială asociat cu alte simptome cum ar fi rinite ritmate de mese, furnicături velo-palatine, aftoză bucală – otite seroase recidivante – manifestări respiratorii în raport cu o I. P. L. V. de tip III (!) = sindromul HEINER = infiltrate pulmonare cu reşute evocatoare pentru o hemosideroză pulmonară, o anemie feriprivă şi precipitine serice dirijate împotriva L. V. în raport cu fenomenul Arthurs 5. Manifestări renale - au fost communicate câteva cazuri de sindrom nefrotic cu leziuni glomerulare minime
După efectuarea anamnezei şi a examenului obiectiv se recurge la: • Dietă de eliminare • Teste cutanate la alergeni alimentari (Skin prick tests - SPT) se fac în suspiciunile de alergie Ig. E -mediate Un rezultat negativ confirmă absenţa reacţiei mediate Ig. E, cu o acurateţe de 95%. În cazul unei reacţii pozitive se poate determina Ig. E total, dar mai ales se va dovedi nivelul ridicat al Ig. E specific (RAST). • Radioallergosorbent tests (RAST) sunt metode de identificare a anticorpilor specifici de tip Ig. E
Testele cutanate de alergie (nu sunt evocatoare în IPLV) • Prick - testelor li se acordă o sensibilitate de 70 -75% şi mai ales o valoare predictivă negativă de 90% (probabilitatea ca un pacient care un test negativ să nu fie cu A. A. ) – – sunt puţin costisitoare realizare tehnică uşoară rezultatele sunt rapide poate fi testată o cantitate mare de antigene • Sunt reacţii care se pun în prezenţa alergenului cu Ig. E prezente la suprafaţa polinuclearelor bazofile şi a mastocitelor cutanate.
Examinări biologice in vitro • Ig. E serice totale – sunt crescute în 80% din alergii, dar ele pot fi crescute în numeroase afecţiuni non-alergice (parazitoza, mucoviscidoza, tranzitoriu în unele viroze respiratorii) – 15 -20% dintre pacienţii alergici au un nivel normal al Ig. E = subiecţii puţin stimulaţi de către alergenele sensibilizante sau care dispun de un nr. crescut de mastocite pentru a fixa Ig. E pe care ei le sintetizează) – valori normale 100 -250 UI/ml • Ig. E specifice serice – determinate prin două tipuri de teste: • teste radio-imunologice sau radio-alergo-sorbentest (RAST) = sensibilitate mai mare • teste imuno-enzimatice (FAST)
• Teste multialergice – permit orientarea diagnosticului spre un grup de alergene • dozarea Ig. E specifice fixate pe celule prin testul de degranulare al bazofilelor umane (TDBH) sau măsurarea histamino-eliberării din celulele în contact cu antigenul care permit de a testa precis alimentul incriminat pentru pacient • dozarea Ig. G 4 specifice – este actualmente foarte dezbătută • complexele imune (C. I. ) sunt prezente la subiecţii care prezintă o I. P. L. V. de tip III, dar de asemenea la 2 -5% dintre subiecţii normali sau cei cu altă patologie cum ar fi numeroase infecţii sau ciroză • testul de transformare limfoblastică – limfocitele sensibilizate vor suferi în contact cu antigenul specific, betalactoglobulina o transformare limfoblastică T. T. L. este pozitiv dacă indexul de transformare este superior sau egal cu 1, 5 – în I. D. P. L. V. , T. T. L. este adesea pozitiv (35 -60%) însă subiecţii fără I. P. L. V. au un test TTL pozitiv în 9, 5% din cazuri (specificitate discutabilă) • teste bazate pe producerea de limfokine (leucocyte-migration-inhibition factor = LIF)
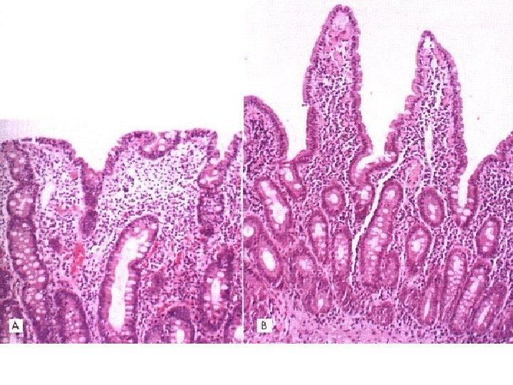
Biopsiile digestive • Biopsiile jejunale: sunt utilizate pentru a face diagnosticul formelor semi-retardate sau retardate de I. P. L. V. : atrofie vilozitară de grade diferite, o accentuare a mitozelor la nivelul criptelor şi o infiltraţie limfocitară T în lamina proprie şi la nivelul epiteliului • biopsiile gastrice: pot confirma diagnosticul gastritei cu eozinofile • rectosigmoidoscopia: efectuată în faţa semnelor clinice evocatoare în mai mult de 80% din cazuri arată semne histologice moderate de inflamaţie şi în 7% din cazuri o “prindere” colică severă superpozabilă recto-colitei hemoragice.
Enterocolita limfocitară
TRATAMENTUL ALERGIEI ALIMENTARE – Cea mai corectă atitudine terapeutică rămâne cea preventivă de eliminare a alergenului alimentar, urmată apoi (după vindecarea modificărilor funcţionale şi/sau lezionale) de tratamentul specific de hiposensibilizare la alergen – Atitudinea de eliminare completă a unui alergen alimentar este însă posibilă numai pentru unele alimente. – Ea apare ca foarte dificilă pentru acele alimente indispensabile unei raţii alimentare echilibrate şi variate îndeosebi la copilul în creştere. – Cum alergiile alimentare reale sunt mai frecvente la vârsta copilăriei iar severitatea manifestărilor clinice poate pune în pericol creşterea şi dezvoltarea, se impun măsuri de supraveghere strictă a dietei: alimente folosite, mod de preparare şi de conservare. – Se vor evita alimentele şi medicamentele care cresc histaminogeneza şi se vor corecta disfuncţionalităţile legate de tubul digestiv sau leziunile enterale provocate de alte cauze, ce pot favoriza absorbţia unor antigene alimentare insuficient degradate. – În nici un caz nu se vor prescrie regimuri foarte severe pe perioade îndelungate. Se vor utiliza substitutive cel puţin pentru unele alimente indispensabile.
TRATAMENTUL NESPECIFIC ÎN ALERGIILE TUBULUI DIGESTIV • Divesitatea manifestărilor clinice, complexitatea etiopatogenetică a alergiei digestive, evoluţia variabilă de la caz, impune un tratament individualizat. • Este evident că tratamentul nespecific în afecţiunile alergice digestive este util în cel puţin 3 circumstanţe: – atunci când tratamentul etiologic, de îndepărtare a alergenului cauzal sau hiposensibilizarea specifică nu sunt posibile – în situaţiile în care etiologia alergiei nu poate fi precizată – ca adjuvant în tratamentul etiologic • Tratamentul nespecific are ca obiective: – restabilirea funcţionalităţii normale a tubului digestiv – îndepărtarea consecinţelor disfuncţiei sale prin mijloace care vizează • patogenia • fenomenele clinice
• A. MEDICAŢIA PENTRU COMBATEREA MECANISMELOR PATOGENETICE – 1. În cazurile de anafilaxie se aplică de urgenţă epinefrina (adrenalină) -0, 1 -0, 5 ml/doză • Se poate continua cu hemisuccinat de hidrocortizon când persistă fenomenele de tip anafilactic. • Poate fi administrat şi în cure prelungite cu preparate per os, numai în formele severe de alergie digestivă cu evoluţie cronică care asociază fenomene de colită hemoragică, utilizându-se doza minimă eficientă. – 2. Antihistaminicele sunt mai puţin eficiente în alergiile digestive • Se pot utiliza antihistaminele blocante ale receptorilor H 1 histaminergici de tipul romerganului sau ferinaminului care au şi efecte anticolinergice (antispastic, antisecretor). Se utilizează în alergiile digestive asociate cu tulburările dischinetice gastro-bileo-duodenale. • Antihistaminicele anti-H 1 convenţionale sunt înlocuite în prezent cu cele de generaţia 2 -a – astemizol -6 -12 ani -5 mg/zi, > 12 ani /10 mg/zi – terfenadina - < 6 ani -1/2 linguriţă sirop /zi - 6 -12 ani -2 x 1/2 linguriţă /zi – loratadina – cefirizina
– 3. Inhibitori ai degranulării mastocitului de tipul Cromoglicatului disodic (Lomodal, Intal). • Este utilizat în alergiile digestive, pentru uz oral -sub denumirea de Nalcrom - se prezintă sub formă de capsule de 100 mg pudră de cromoglicat disodic. • Se poate administra şi ca terapie profilactică (pe perioadă scurtă) a fenomenelor anafilactice la nivelul tubului digestiv. • Pentru copii între 2 -14 ani -1 caps. 3 -4 x/zi > 14 ani -2 caps. 3 x/zi • Este util şi în asocierea cu corticoterapia • B. MEDICAMENTE CU ACŢIUNE SIMPTOMATICĂ ŞI ADJUVANTĂ – Sunt vizate următoarele grupuri de medicamente • • 1. Corectoare ale tulburărilor secretorii sau de motilitate digestivă. 2. Antiseptice intestinale uneori antimicotice antiparazitare 3. Protectoare ale mucoasei digestive 4. Factori care corectează permeabilitatea intestinală. – Deşi acest plan terapeutic pare a fi laborios, el va fi simplificat şi adaptat în funcţie de condiţiile etiopatogenetice ale fiecărui caz în parte.
Rolul infestaţiilor cu helminţi • Trebuie subliniat că infestaţia cu helminţi nu numai că determină producerea de Ac de tip Ig. E dirijaţi faţă de Ag parazitare, dar favorizează formarea de Ac de tip Ig. E şi faţă de antigene alimentare asemănătoare (ex. la ovalbumina) (Jarrett şi Stewart) • Concluzii: – infestarea helmintică acţionează ca mecanism adjuvant în apariţia alergiei clinic manifeste la indivizi atopici. – nivelul Ig. E seric, îşi pierde orice valoare de test pentru starea de atopie şi în cazul când individul este infestat cu helminţi.
TRATAMENTUL INTOLERANŢEI DIGESTIVE LA PROTEINELE LAPTELUI DE VACA • A) PRICIPII GENERALE • 1. Suspendarea din regim a proteinelor laptelui de vaca pentru mai multe luni, acesta fiind înlocuit fie prin produşi de substituţie din lapte, care au suferit o hidroliza enzimatică nelăsând în principiu să existe peptide cu greutate moleculară superioară la 3000 daltoni, fie dacă este posibil cu lapte de mamă. – Există mai multe forme de hidrolizate de proteine: • Hidrolizate de caseină: Nutramigen, Prégestimil; • Hidrolizate de proteine din lactozer: Alfaré, Gallieva, Peptijunior; • Preparate de soia: Prégomine, Al-soy, Nutricare soya. – Formula este considerată ca hipoalergenică dacă ea induce un procentaj foarte mic de reacţii alergice la subiecţii sensibili sau cu risc faţă de proteina pe care o conţine.
– La unii autori există tendinţa de a indica laptele de soia, deşi se ştie că proteina din soia induce ca orice proteină străină 7 -50% sensibilizare. A schimba o proteină cu o alta nu este soluţia cea mai logică. – Dispunem azi de două mari categorii de lapte puţin alergenice. • Prima este reprezentată de preparatele de lapte denumite HA sau starter a cărei proteină a suferit o hidroliză parţială. • A 2 -a categorie este cea în care proteina a suferit o hidroliză foarte importantă şi care corespunde formulelor care ar putea fi calificate ca “analergenice”. Din punct de vedere ştiinţific, această etichetare este oarecum abuzivă, deoarece la nici un produs nu se poate “pretinde” că s-a redus la zero riscul antigenic al unei proteine străine. Rămâne în plus de clarificat termenul de “hidroliză foarte importantă” care nu este suficient de clar. – Cele mai eficiente formule sunt: Alfaré, Galliagene, Nutramigen, Peptijunior, Pregestemil, Nidal H. A. 1, Nidal H. A. 2, NAN H. A. – Cu toate acestea, numeroşi autori au raportat cazuri de accidente alergice la copii prezentând o intoleranţă la proteinele laptelui de vacă, hrăniţi cu astfel de proteine. Alergia se poate instala şi la laptele de capră sau la proteinele din soia.
• Studiile realizate de Centrul de Cercetări NESTLE, privitoare la formulele HA au demonstrat o scădere a sensibilizării la PLV de la 40% la 6% şi a manifestărilor atopice de la 56% la 25% (la 3 ani) şi de la 60% la 28%. • Cele mai cunoscute preparate de HPLV sunt: 1. Formule extensiv hidrolizate Alfaré Pepti Junior Galliagene Progress Nutramigen Prégestimil 2. Formule moderat hidrolizate NAN H. A. Proteine hidrolizate Talia maximală a peptidelor reziduale Proteine din lactoser Cazeină 6. 000 daltoni 1. 500 daltoni Proteine din lactoser Indicatii Tratamentul alergiilor deja instalate Realizarea desensibilizării şi profilaxia atopiilor
În cazul alergiei la formulele lactate hipoalergenice • Prima posibilitate este de a schimba tipul de hidrolizat. În experienţa multor autori, sugarii sau copiii alergici la proteinele din lactozer ar tolera hidrolizatele de cazeină. – Din păcate la cea mai mare parte a cazurilor există o alergie asociată la cele două tipuri de HPLV ceea ce nu permite substituirea unuia de către un alt preparat • A 2 -a posibilitate este de a utiliza o formulă elementară pe bază de acizi aminaţi liberi. Din literatură rezultă că VIVONEX (Lab. Eaton) şi NEOLATE au fost utilizate cu succes. Aceste produse pun totuşi probleme de gust care obligă uneori utilizarea unei nutriţii enterale pe sondă gastrică şi mai ales probleme legate de osmolaritatea prea ridicată care poate duce la o diaree osmotică.
• A 3 -a posibilitate este de a utiliza laptele de femeie (mamă); problemă dificilă ca organizare, ca preţ (!) • Mulţi autori au propus de asemenea (ceea ce ar constitui a 4 -a posibilitate) utilizarea preparatelor pe bază de proteine din soia, dar 10 -45% dintre copiii alergici la PLV sunt alergici şi la proteinele din soia. • În sfârşit, în toate cazurile o diversificare precoce este salutară, cu obligaţia asigurării unei suplimentări calcice din cauza absenţei alimentelor lactate.
• 2. Reintroducerea laptelui de vacă – prima tentativă de reintroducere se poate face între 9 luni şi un an. Modalităţile de reintroducere a laptelui de vacă diferă de la autor. – Tehnica pe care o recomandăm noi este: • I zi 1 ml LV la 8 ore • II zi 10 ml LV la 8 ore • III zi 100 ml LV la 8 ore – trebuie realizată în mediu de spital, deoarece există posibilitatea ca după o excludere prelungită a alergenului să se producă o “desaturare” a receptorilor mastocitelor, acestea putând fi responsabili de un şoc grav în momentul reintroducerii laptelui, chiar dacă copilul nu a mai prezentat manifestări anafilactice. – Copilul poate părărsi clinica sau spitalul după trei zile. – Uneori se poate întâmpla ca după mai multe zile sau săptămâni să reapară manifestări de intoleranţă: anorexie, vărsături, diaree, stagnare sau scădere ponderală. În acest caz se supune bolnavul în continuare, la dietă de excludere, aproximativ 6 luni. În rare cazuri şi după acest interval poate apare recidivă, din aceste cazuri recrutându-se gastro-entero-colopatiile alergice de mai târziu.
• 3. Desensibilizare pe cale orală – imunoterapie pe cale orală, practicată teoretic după 3 eşuări de reintroducere simplă a LV sau de la bun început dacă este vorba de o formă clinică gravisimă cu risc de şoc anafilactic. – Principiul său se bazează pe asocierea reintroducerii alergenului pe cale orală foarte lent, progresiv cu administrarea unui antidegranulant intestinal pe cale orală şi anume: cromoglicatul de sodiu. Acesta din urmă este prescris şi el în posologie progresivă pentru a alege după 3 săptămâni doza adecvată. – Reintroducerea LV se începe cu o picătură în prima zi, crescând cu o picătură/zi timp de 3 săptămâni pentru a atinge 1 ml – creşterea este apoi de 1 ml/săpătămână timp de 2 luni, până la cantitatea de 10 ml/zi, apoi 10 ml/săptămână, până la o cantitate de 50 ml/zi – atenţie însă, cromoglicatul de sodiu se va întrerupe progresiv în jur de 12 luni după reintroducere.
b) Realizarea practică a regimului în intoleranţa digestică la proteinele LV • Alimente recomandate: – La sugarul alimentat cu lapte de mamă, dar cu risc (antecedente familiale şi personale alergice!). Se va da o perioadă cât mai lungă lapte de mamă, iar mamei I se va recomanda să nu se alimenteze cu lapte de vacă, existând şi în acest mod riscul de sensibilizare. – Se vor utiliza preparatele hipoalergenice, adaptându-ne concret toleranţei bolnavului. – Se vor recomanda în momentul diversificării carnea, peştele, ouăle cu condiţia evitării laptelui şi derivatele în timpul preparării lor. – Dintre cereale se recomandă mai ales făina de orez, porumb, cartof. – Dintre grăsimi: uleiuri, margarina (fără conţinut de lapte). – Se vor folosi legumele şi fructele ca în orice diversificare, fără restricţii, la fel sucurile de fructe şi glucidele obişnuite.
• Alimente excluse: – Produsele lactate şi derivaţii lor: laptele de vacă intergral, semi-ecremat, total ecremat, orice preparat de lapte praf (!), iaurt, brânzeturi, deserturile lactate. • Indicaţiile regimului fără proteinele laptelui de vacă – Intoleranţa la proteinele laptelui de vacă de tip I reaginic. – Intoleranţa la proteinele LV în formele sale semi-întârziate sau întârziată. – Toate afecţiunile care antrenează o suferinţă funcţională sau organică a mucoasei intestinale
c) Mijloace medicamentoase • Cromoglicatul de sodiu – diminuiază permeabilitatea mucoasei la macro-molecule şi stabilizează membrana mastocitelor din mucoasa intestinală cu care acestea vin în contact – este eficace cu deosebire în manifestările reaginice ale intoleranţei digestive la proteinele LV şi este utilizat fie în caz de eşec la restricţia alimentară singură, fie pentru a preveni riscul unei ingestii accidentale • Ketotifenul - zaditenul – este un medicament atât antihistaminic H 1, cât şi antidegranulant mastocitar. – el este cu deosebire eficient în urticarie, dermatită atopică şi în falsa alergie alimentară izolată sau asociată unei alergii adevărate. – acţiunea sa este complementară cromoglicatului de sodiu, iar ambele medicamente se scriu asociat în special în polisensibilizări • Medicamente cito-protectoare – au fost utilizate pentru a potenţa efectul anti H 1 crescând eficacitatea barierei mucoasei şi stimuând secreţia de mucus; – eficacitatea asocierii Terfenadinului (antihistaminic H 1) cu un anticolinergic Pirenzepinul şi cu un medicament apropiat de prostaglandine -Rosaprastol;
d) Prevenirea alergiei alimentare: • Se admite că patologia alergică rezultă din asocierea factorilor genetici şi de mediu. Dacă nu este posibil (sau este extrem de dificil) de a modifica terenul, se pot totuşi identifica factorii predictivi care sunt următorii: – antecedentele alergice ale părinţilor; riscul statistic de a dezvolta o alergie este: • 5 -15% la un copil fără antecednte ale părinţilor, • 20 -40% dacă unul din părinţi posedă antecedente de atopie • 40 -60% dacă alergia este prezentă în antecedente la ambii părinţi, dar diferite • 50 -80% dacă ambii părinţi prezintă aceeaşi simptomatologie alergică – nivelul Ig. E din sângele cordonului la naştere, deşi acest criteriu a fost apo controversat • Hattevig şi colab. au arătat că sugarii mamelor care evită laptele de vacă, ouăle şi peştele în primele 3 luni de alăptare dezvoltă de 2 ori mai puţin eczemă până la vârsta de 6 luni, comparativ cu copii alimentaţi la sân de mame cu un regim alimentar normal
e) Diversificarea alimentaţiei • La sugarii cu risc alergic, în primul rând la proteinele LV, înţărcarea trebuie să se facă cât mai tardiv, diversificarea începând din luna a 5 a, alimentele nou introdu-se distanţându-se la interval de 15 zile. • Apariţia unei gastro-enterite virale sau bacteriene contraindică introducerea unor alimente în următoarele 2 -3 săptămâni, din cauza hiperpermeabilităţii intestinale pe care o induce infecţia (inflamaţia) şi din cauza riscului de trecere transepitelială a macromoleculelor alergizante. • La începutul diversificării se vor introduce alimente mai puţin alergizante. • Peştele şi albuşul de ou se vor administra către un an.
Prebiotice şi Probiotice
1. Colonizarea bacteriană a intestinului după naştere şi modularea sistemului imunitar 2. Influenţa alimentaţiei asupra florei intestinale 3. Efectele biologice ale modificatorilor florei intestinale.
I. 1 Colonizarea bacteriană a intestinului după naştere şi modularea sistemului imunitar Perioada perinatală constituie un moment unic în cursul vieţii, perioadă în care, printre altele, mucoasa tubului digestiv, sterilă a priori, este expusă stimulărilor antigenice de natură microbiană şi alimentară, iniţiindu-se astfel procesul de apărare imunitară locală şi asigurarea toleranţei la antigenele alimentare.
Maturizarea mecanismelor toleranţei alimentare pare a fi uşurată de “invadarea bacteriană armonioasă” asociată unei introduceri progresive a alimentaţiei (ideal LM !) şi apoi a unei diversificări a alimentaţiei în jurul vârstei de 6 luni. Natura selecţionează, de la sfârşitul primei săptămâni de viaţă, sub influenţa LM, floră “fermentativă” compusă în special din bacterii acido-lactice (BAL) şi din bifidobacterii. Diversificarea alimentară ulterioară va permite constituirea progresivă a unei flore comensale mai stabile.
Fixarea bacteriană neonatală pe mucoase este o etapă determinantă în iniţierea imunităţii înnăscute a corionului submucoasei. Aderarea bacteriană de mucoasă permite apariţia de “cuiburi” specifice datorită unei glicozilări a glicocalixului, asociată unei modulări genice a enterocitului, realizându-se astfel un parteneriat. Intensitatea reactivităţii enterocitului, adică expresia diferitelor tipuri de receptori la nivelul polului bazal al celulei, este variabilă, în funcţie de tipul de bacterie.
Această etapă este capitală şi informaţia dată de către enterocitul corect stimulat sistemului imunitar înnăscut specializat al corionului submucos va condiţiona răspunsul limfocitului naiv, permiţând, în special, un răspuns adecvat imunităţii adaptive.
În alţi termeni, acest fapt înseamnă analiza corectă de către macrofage a naturii stimulului antigenic, fie el bacterian sau alimentar, informaţie prezentată la nivelul polului bazal al celulelor devenite imunocompetente: enterocitele activate şi celulele M, acestea din urmă “coafând” nodulii limfoizi grupaţi sub numele de placa Peyer şi de care va depinde răspunsul imunitar ulterior.
Ag L L L Antigen ce trece neprocesat printr-o celulă M de la nivelul epiteliului intestinal pentru a veni în contact cu agregatul limfocitar subjacent.
În special, acesta este răspunsul legat de echilibrul balanţei de diferenţiere a limfocitului efector naiv CD 4, cu orientarea sa de tip Th 1 (mai degrabă celular, punând în joc răspunsul macrofagic şi limfocitele supresoare) sau de tip Th 2 (răspuns umoral, cu maturaţia centrală a limfocitului B, capacitatea de memorizare şi sinteza de anticorpi !). Aceste diferenţe limfocitare Th 1/Th 2, pornind de la limfocitul naiv CD 4, se bazează pe tipul de citokine pe care acesta este capabil să le sintetizeze în funcţie de informaţiile culese atunci când este activat de sistemul macrofagic.
Limfocitele cu orientare imunitară Th 1, de tip cu deosebire celular, vor secreta aceleaşi citokine, care au contribuit la diferenţierea lor, adică IFN- , IL-2, care vor fi mai apte pentru a favoriza intervenţia macrofagelor şi a celulelor T supresoare şi pot favoriza astfel toleranţa antigenului alimentar. Limfocitele cu o orientare Th 2, adică umorală, vor secreta mult mai specific IL-4, IL-5, IL-6 şi IL-10 care vor permite sinteza diferitelor tipuri de anticorpi şi transformarea eozinofilică.
Calea de diferenţiere a celulei T Limfocitele T naive (THo) se pot diferenţia în trei subseturi separate, fiecare având funcţii diferite, determinate de profilul de citokine secretat.
Fiecare din aceste linii exercită un control negativ asupra sintezei celeilalte. Astfel, IL-4 este o puternică frână a dezvoltării liniei Th 1, în timp ce IFN- contribuie în frânarea dezvoltării liniei Th 2.
Ştiind că nou-născutul se naşte cu o balanţă limfocitară dezechilibrată în sensul Th 2, ceea ce este un mijloc de adaptare imunitară al mamei pentru a permite buna desfăşurare a sarcinei, dezechilibru accentuat prin creşterea transportului gammaglobulinelor materne spre fetus, spre sfârşitul gestaţiei, este logic de a gândi că invadarea bacteriană masivă iniţială să fie probabil mijlocul pe care natura îl utilizează pentru a corecta progresiv acest dezechilibru şi pentru a favoriza dobândirea toleranţei imunitare printr-o stimulare orientată mai mult spre Th 1 şi o optimizare a răspunsului Th 2 (sinteză de Ig. M într-un prim timp, dar mai ales de Ig. A secretor în continuare, în funcţie de achiziţionarea maturităţii imunitare).
Acest răspuns Th 1 optimizează inducţia macrofagică şi activarea limfocitelor intraepiteliale, care sunt prezente în număr foarte mare la nivelul mucoasei intestinale şi care aparţin clasei limfocitelor supresoare CD 8. Ele joacă un rol capital în procesul de dobândire a toleranţei antigenului alimentar prin apoptoza pe care o induc la nivelul celulelor imunocompetente din lamina propria împiedicând astfel răspunsul inadecvat al activării imunitare.
Mecanismele incriminate în răspunsul imunitar: majoritatea celulelor imunitare prezente în lamina propria, la fel ca enterocitele şi celulele M, sunt capabile, datorită receptorilor specifici (TLR 2, TLR 4, TLR 9) exprimaţi la suprafaţa lor, de a recunoaşte constituenţii microbieni. Această recunoaştere transmisă sistemului macrofagic favorizează un răspuns Th 1 pornind de la L T efector via stimularea factorului nuclear k. B (NF-k. B).
Dacă este bine controlată, această orientare limfocitară induce mult mai specific secreţia de IFN-γ, secreţia acestei citokine, fundamentală în acest proces de dobândire a toleranţei alimentare, fiind ea însăşi întreţinută de sinteza macrofagică de IL-12. În perioada de nou-născut, acest răspuns este de asemenea prezent, chiar dacă există un deficit în secreţia de IFN-γ, element care favorizează intoleranţa alimentară tranzitorie, care poate fi considerată “aproape” ca fiziologică.
Cu toate acestea, unele date experimentale recente demonstrează o mai mare sensibilitate a enterocitului imatur la activarea factorului NF-k. B în prezenţa lipopolizaridului bacterian (LPS), element care este de natură să favorizeze procesul inflamator al enterocolitei necrozante la prematur, dar poate de asemenea să determine şi o mai bună toleranţă alimentară la acesta. è Se poate, deci, presupune că în mod deosebit secreţia de IFN-γ, unul din componenţii răspunsului Th 1, la fel ca şi secreţia de IL-12 de către macrofag, sunt tranzitoriu imature la nou-născut. è
è Studii la animal arată importanţa florei intestinale la vârsta mică, demonstrând că această colonizare bacteriană indispensabilă iniţială dobândirii este acestei chiar toleranţe alimentare. è Se pare că anumite bacterii, mai mult decât altele, prin calitatea transformării antigenelor alimentare şi prin mesagele precise la nivelul receptorilor enterocitului, ar interveni în mod pozitiv în favorizarea elaborării de citokine, care ar diminua riscul unei deviaţii Th 2.
è Aceşti germeni, mai interesanţi, aparţin cel mai mult bacteriilor acido-lactice (BAL). è Mai mult, influenţat de mesagele bacteriene, enterocitul ar favoriza mai specific răspunsul secretor de IFN-γ, fără a afecta eliberarea de alte citokine pro-inflamatorii (IL-1, TNF- ). è Răspunsul sistemului limfocitar CD 4 naiv al “corionului submucos” ar fi mai adecvat, în mod deosebit balanţa între activarea şi supresia limfocitară, cu sau fără apoptoză, ar rămâne mai echilibrată.
è Pare însă puţin probabil ca dobândirea toleranţei să fie limitată doar la conceptul balanţei Th 1/Th 2. S-a demonstrat că două noi sub-clase de limfocite CD 4+ supresoare, Th 3 şi Tr 1 (T regulator 1), intervin în mod preponderent în controlul activării limfocitare din corionul submucos, iar acţiunea lor este mai puternică prin informaţia adecvată a florei intestinale asupra receptorilor anterior menţionaţi.
Această acţiune de control limfocitar se realizează prin “eliberarea” a două citokine specifice (TGF- pentru sub-clasa Th 3, IL-10 pentru Tr 1). Aceste citokine intervin ca formatori ai inducţiilor limfocitare Th 1 şi Th 2, permiţând anergia şi/sau apoptoza limfocitară. è Pe de altă parte, acţiunea TGF- asupra sistemului Th 1 este dependentă de concentraţia unei alte citokine, IL-2: è • în concentraţie slabă, TGF- inhibă • în concentraţie mare, TGF- stimulează linia limfocitară Th 1.
è Pe de altă parte, TGF- secretat de alte celule imunocompetente, printre care unele macrofage, favorizează mai specific un răspuns Th 2 mergând în sensul sintezei Ig. A secretor. è Celula epitelială, ea însăşi, este capabilă de a elabora diferite citokine printre care TGF- şi IL -10. Ea este deci capabilă de a induce anergia celulelor limfocitare şi de a participa direct la procesul de toleranţă alimentară.
Acest sistem este complex şi demonstrează existenţa unor mecanisme extrem de subtile, de interfaţă, între sistemele imunitare: înnăscut şi adaptativ. Deci: 1. Calitatea activării iniţiale – neonatale – a acestui sistem imunitar al mucoasei intestinale este fundamentală. Această activare este probabil optimizată de primul contact cu flora “de calitate”, în cadrul căreia se recrutează în special bacteriile acidolactice, între care Lactobacillii şi Bifidobacteriile ocupă un loc principal.
2. Este nevoie de timp pentru o maturizare armonioasă a sistemului imunitar, înţelegând prin aceasta că diversificarea alimentară, care se însoţeşte de un veritabil “bombardament” antigenic asupra mucoasei, trebuie să fie lent progresivă şi după vârsta de 6 luni (!), ideal fiind respectarea alimentaţiei naturale până la această vârstă, timp în care se realizează maturaţia lentă şi progresivă a mecanismelor anterior descrise.
I. 2. Influenţa alimentaţiei asupra florei intestinale După cum s-a arătat anterior, microflora gastro-intestinală (MFGI) joacă un rol important pentru sănătate. MFGI se caracterizează printr-o bogăţie microbiană, atât prin bio-diversitatea speciilor dominante care o compun, cât şi prin complexitatea interacţiunilor lor.
În timp ce stomacul şi intestinul subţire proximal conţin cantităţi relativ mici de microorganisme, în colon numărul lor creşte enorm, putând atinge 1011 -12 bacterii pe gram de scaun. Este vorba de: n Bacteroides; n Eubacterium; n Clostridium; n Coci gram pozitivi anaerobi (ex. Bifidobacterium).
Diversitatea speciilor dominante în cadrul florei fecale apare azi ca specifică fiecărui individ şi foarte stabilă în timp, la adult. În cursul sarcinii, fătul se găseşte într-un mediu steril, iar în momentul naşterii, tubul digestiv al nou-născutului constituie un mediu necontaminat. Contaminarea microbiană începe însă după primele ore ale vieţii extrauterine, aceasta fiind un proces secvenţial, în cadrul căruia câteva constante sunt bine stabilite.
La puţin timp după naştere, microorganisme “pionieri” colonizează colonul. Este vorba de bacterii anaerobe facultative cum ar fi enterobacteriile, în special Escherichia coli, şi Streptococi care se instalează în primele 24 -48 ore după naştere. Apoi, bacterii aparţinând genurilor Staphylococcus, Enterococcus şi Lactobacillus vor coloniza şi ele colonul.
Aceste microorganisme care colonizează tubul digestiv contribuie activ la evoluţia sa fizico -chimică, realizând un mediu anoxic, epuizând oxigenul. Din acest moment, bacteriile anaerobe cum ar fi Bifidobacterium, Bacteroides şi Clostridium pot să apară în scaun.
După prima săptămână de viaţă nivelul total al populaţiei bacteriene fecale creşte rapid, pentru a atinge 109 -10 bacterii pe gram/scaun. A fost stabilit impactul diferiţilor factori externi cum ar fi tipul naşterii şi modul de alimentare asupra colonizării intestinului.
Tipul naşterii În timp ce naşterea pe cale naturală favorizează contactul nou-născutului cu flora mamei sale, naşterea prin cezariană favorizează interacţiunile cu bacteriile de mediu, astfel încât bacteriile anaerobe la nounăscuţi prin cezariană apar mai tardiv.
Într-un studiu vizând determinarea nivelului colonizării cu bifidobacterii şi lactobacili, Grönlund şi colab. au arătat că, complexitatea florei unui nou-născut de 10 zile după o naştere naturală poate fi activă imediat, pe când în cazul naşterii prin cezariană acest lucru se întâmplă o lună mai târziu. Autorii remarcă de asemenea că, cuibărirea Cl. perfringens este favorizată în timpul naşterii prin cezariană. Nivelul colonizării cu aceste bacterii la un nou-născut prin cezariană este de 57% şi de numai 17% la un nou-născut pe cale naturală.
De asemenea, diferenţe în compoziţia şi viteza colonizării sunt observate şi la prematuri. În general, în aceste cazuri, colonizarea cu lactobacili şi bifidobacterii se produce mai tardiv. Aceasta poate fi legată de faptul că prematurii sunt puşi într-un mediu aseptic după naştere şi deci vin imediat în contact cu mamele lor.
Modul de alimentaţie Multă vreme s-a admis că bifidobacteriile sunt mai frecvente în flora fecală dominantă a nou-născuţilor hrăniţi la sân. Aceasta a fost explicată prin faptul că laptele de mamă, contrar preparatelor artificiale pentru sugar, ar aduce un factor “bifidogen”, care ar stimula creşterea bifidobacteriilor.
Această observaţie pare a fi mai puţin frecventă azi. Analiza comparativă a compoziţiei florei fecale a nou-născuţilor alimentaţi la sân sau cu preparate pentru sugari arată nivele variabile ale bifidobacteriilor, E. coli şi Bacteroides până în ziua 3 -a după naştere.
În ziua 7 -a, la nou-născuţi hrăniţi cu LM, bacteriile enterice şi bifidobacteriile reprezintă un mare procentaj din flora totală. Lactobacilii şi apropiaţii sunt de asemenea prezenţi într-o cantitate destul de importantă. La nou-născuţii alimentaţi cu preparate “umanizate” clasice, se găsesc mai degrabă genurile Bacteroides, Clostridium Eubacterium, care devin dominante. şi
Aceştia din urmă sunt markeri ai absenţei LM în alimentaţia nou-născuţilor. LM pare a întârzia apariţia dominantă a unei flore diversificate şi compusă din genurile Bacteroides, Clostridium şi apropiaţii lor.
Tabelul de mai jos (Martin F şi colab. 2000) arată procentajul de ARN ribosomal al diferitelor grupe microbiene în scaunele nou-născuţilor în vârstă de o săptămână, hrăniţi cu LM şi cu un preparat de lapte pentru sugari Bacteroides Enterici Bifido bacterium Lacto bacillus Cl. coccoides Cl. liptum Alţii LM 1 34 22 12 1 0 30 Preparat de lapte pt. sugar 35 11 1 2 7 9 35
Un studiu clinic a arătat de asemenea că LM are un efect protector împotriva Enterocolitei infantile, mult mai marcat în ţările în curs de dezvoltare. Variabilitatea florei în funcţie de modul de alimentare se însoţeşte de asemenea de o diferenţă în ceea enzimatică fecală. ce priveşte activitatea
Analiza comparativă a activităţii ureazei şi a -glucuronidazei arată că nivelul acestor activităţi enzimatice este superior în scaunele copiilor hrăniţi cu un preparat pentru sugari, aceasta mai probabil corelată cu diversitatea mai importantă a florei intestinale la aceşti copii. Activitatea enzimatică creşte foarte mult după trecerea la alimente solide.
În timpul perioadei de înţărcare, flora tubului digestiv este mai complexă şi foarte variabilă. La modul general, după vârsta de 2 ani, compoziţia şi metabolismul microflorei intestinale la copil sunt apropiate de cele adultului.
Motivarea utilizării probioticelor şi prebioticelor la nou-născut Termenul de “probiotic” a fost definit pentru a califica microorganisme vii, care după ingestie au un efect benefic asupra sănătăţii. Principalele organisme utilizate ca probiotice aparţin genurilor Lactobacillus şi Bifidobacterium. Prebioticele sunt compuşi care acţionează ca un substrat ce favorizează creşterea mai mult sau mai puţin selectivă a bacteriilor autohtone ale tubului digestiv.
Scopul utilizării de probiotice şi prebiotice este de a asigura starea de bine a copilului diminuându-se riscul bolilor intestinale, la fel ca şi alergiile pe perioada alimentaţiei lactate.
La copiii de vârstă mică unele probiotice ar putea influenţa sistemul imunitar: *Administrarea de Lactobacillus rhamnosus GG la copiii suferind de diaree cu Rotavirus a crescut numărul celulelor care secretă Ig. M specifice pentru Rotavirus şi Ig. A. *Incidenţa diareii cu Rotavirus poate fi semnificativ redusă la copiii care primesc un supliment care conţine B. bifidum şi Streptococcus thermophilus sau Lactobacillus casei (suşa DN 114001).
Conform lucrărilor unei echipe finlandeze, utilizarea de probiotice cu titlu preventiv sau curativ la copiii cu risc de dezvoltare a dermatitelor atopice este o problemă promiţătoare, deşi explicaţia nu este încă satisfăcătoare.
I. 3. Efectele biologice ale modificatorilor florei intestinale Funcţionalitatea florei digestive nu se limitează doar la controlul populaţiei diverşilor componenţi ai acestei flore, pro- şi prebioticele având efecte biologice potenţiale ne-neglijabile.
*Activităţile de fermentaţie Flora digestivă adultă fermentează glucidele, producând acizi graşi cu lanţ scurt cum sunt: acidul lactic, acetic, propionic şi butiric. Ei reprezintă o sursă esenţială de energie, cum ar fi butiratul, care este principala sursă de energie a colonocitelor.
La sugarul alăptat, sunt produşi mai ales acizii acetic şi lactic, deoarece flora nou-născutului nu are capacităţi de a produce acid butiric şi propionic. Altă caracteristică este un p. H scăzut al scaunelor în timpul perioadei de alăptare. Copiii care primesc preparate lactate au un profil al acizilor graşi cu lanţ scurt cu o concentraţie mult mai mare de acid propionic şi butiric şi un p. H al scaunelor apropiat de neutralitate.
Adăugarea de pro- sau prebiotice în formule ar putea modula profilul fermentaţiei după cum s-a observat la adult, dar acest fapt nu a fost încă suficient studiat la copilul nou-născut. Singura observaţie este o diminuare a p. Hului fecal, în urma adiţiei de prebiotic în formule, fapt legat fermentaţiei. de o schimbare a profilului
*Tranzitul intestinal Utilizarea prebioticelor sau probioticelor este descrisă ca putând creşte excreţia fecală la adult, dar nici aici datele din literatură nu sunt foarte multe, iar la nou-născut nici atât. Există, totuşi, unele studii care dau unele indicaţii în acest sens (Saavedra J şi colab. 1994, Saavedra J şi Tschernia A 2002, Firmansyah A şi colab. 2001).
*Imunitatea sistemică şi intestinală Sistemele imunitare specifice şi nespecifice, aşa cum s-a arătat, nu au atins maturitatea în momentul naşterii. Colonizarea tubului digestiv de către flora intestinală este un stimul esenţial implicat în maturaţia răspunsurilor imunitare. Cu toate acestea, impactul specific al fiecărei specii este încă insuficient cunoscut.
Probioticele au un potenţial activ asupra acestor parametrii. Mai multe lucrări arată impactul probioticelor (Lactobacillus rhamnosus GG şi Bifidobacterium lactis) asupra răspunsului post-vaccinal al Ig. A secretorii (!) (Fukushima Y şi colab. 1998; Kaila M şi colab. 1995).
Unii “fructanţi” par a avea de asemenea un impact asupra sistemului imunitar al copilului. Un studiu (Saavedra J şi colab. 2002) sugerează creşterea capacităţilor de apărare împotriva diverselor infecţii, în urma ingestiei regulate de prebiotic, pentru o perioadă de 6 luni, la sugari de 11 -12 luni.
Un alt studiu realizat la sugari de 7 -9 luni a permis de a arăta o creştere a nivelului Ig. G vaccinal la 10 săptămâni după imunizarea copiilor contra rujeolei şi aceasta datorită administrării de cereale suplimentate “fructanţi” (Firmansyah A şi colab. 2001). în
Sunt necesare studii suplimentare pentru a înţelege mecanismele de acţiune ale acestor “ingredienţi” funcţionali.
5. Alergiile la medicamente şi substanţe biologice § Reacţiile anafilactice la vaccinuri care conţin anatoxine sunt absolut rare şi rezultă, în cea mai mare parte a cazurilor, dintr-o alergie la anatoxina tetanică. § Vaccinurile adsorbite pe gelatină pot fi la originea: § reacţiilor alergice de tip imediat (dependente de Ig. E) § reacţiilor de hipersensibilitate semi-întârziată (dependente de Ig. G) § reacţiilor de hipersensibilitate întârziată (retardată, HSR)