Acrylic Dentures Dr Nesreen Salim CoCr Partial denture
































- Slides: 32
Acrylic Dentures Dr Nesreen Salim
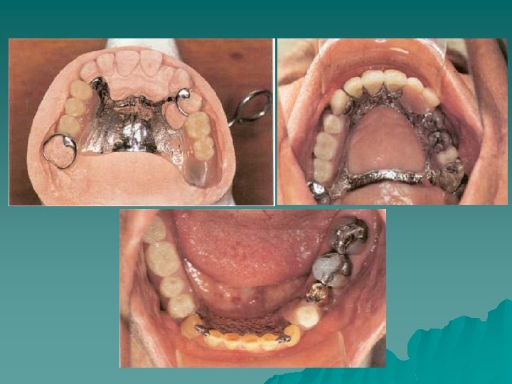
Co/Cr Partial denture u Co/Cr PD allows the prosthesis to incorporate both strength and rigidity Such a denture may utilise these properties to obtain its support and retention from the natural teeth. When cast in thin sections it may be of sufficient flexibility to make use of undercuts in thick sections its rigidity will resist deformation. u Indications: good oral hygiene and high patient motivation to accept a prosthesis. Where there is a wide distribution of abutment teeth which have adequate support and the clinician wishes to derive the support from the teeth.
u +ve: 1 - extra strength and rigidity, especially in small sections, allow for the manufacture of smaller, less bulky dentures. 2 - They also have the flexibility when cast in thin sections to allow cast clasps to engage undercut and obtain retention from the teeth. u -ve: 1 - Metal is unsightly and therefore cannot be used at the front of the mouth. 2 - Co/Cr requires casting and is therefore more costy in terms of laboratory time.
u Procedure 1 - Preliminary casts are mounted and surveyed prior to a decision being made regarding the type of denture that will be provided. 2 - The master impression is taken in an elastomeric material and the resultant cast poured in reinforced dental stone. 3 - This master cast is then duplicated in investment material and the design is constructed in wax following the clinician's prescription. 4 - The casting is made, polished and delivered to the clinician.
Acrylic Partial Denture u Mucosa-borne PD, No support from teeth. u Acrylic Partial Dentures are made entirely of acrylic resin. u No rest seats, No minor and major connectors.
+ve: Low cost, ease with which they can be constructed and modified. u General Indications: 1 - most commonly where the life of the denture is expected to be short. 2 - Where alterations such as additions or reline will be needed. For both reasons the cost for metal denture will be difficult to be justified u Specific Indications: 1 - When a denture is required during rapid bone resorption phase following tooth loss( Immediate denture replacing anterior teeth Reline) 2 - When a denture must be provided for a young pt where growth of the jaws and development of dentition are still proceeding. u
3 - When remaining teeth have a poor prognosis and their extraction and subsequent addition to the denture is anticipated (Transitional denture Develop neuromuscular skills for future CD). 4 - When a diagnostic or interim denture is required before a definitive treatment plan can be formulated ( Vertical dim). 5 - When only few isolated teeth remain.
Examples of Acrylic PD Every denture u u u Definition: A mucosa-borne denture that conforms to a specific design to ensure gingival health. It is restricted to the upper arch. Design: The denture requires the presence of bounded saddles. The design should incorporate the following points: • Point contact between natural and artificial teeth • Wide embrasures • 'Free-occlusion' • Uncovered gingivae • Distal stabilisers General principles of partial denture construction should be followed.
u +ve: The open design allows a hygienic denture to be constructed which is retentive and stable and minimises damage to the supporting and surrounding tissues. u -ve: It does require the presence of bounded saddles so that the point contact can be maintained throughout the arch form. Even where the most distal tooth is missing however, 'Every principles' can still be incorporated into the denture design.
Every denture characteristics 1 - All denture borders are at least 3 mm from the gingival margins. 2 - The open design of saddle/tooth junction is employed. 3 - Point contact between the artificial teeth and abutment teeth. WHY? ? To reduce lateral stresses 4 - Posterior wire stops are included to prevent distal drift of the posterior teeth with consequent loss of the contact points. 5 - Flanges are included to assist the bracing of the denture. 6 - Lateral stresses are reduced by achieving as much balanced occlusion and articulation as possible.
1 - Closed design: widespread contact between the saddle and abutment tooth more plaque retention. 2 - Open design: the contact is restricted to a small area close to the occlusal surface with generous clearance at gingival margin.
u Procedure 1 - The construction of the denture follows normal prosthetic technique. An accurate impression is required to establish the point contact between the teeth. 2 - Originally porcelain teeth were advocated but, due to their expense and low evailabiiity. acrylic teeth are now used. 3 - The distal stabilisers are not clasps and are constructed from wrought stainless steel to contact the distal surface of the most posterior teeth and maintain interproximal contact.
Spoon design upper denture u Definition: A simple acrylic denture made to replace one or two anterior teeth. It derives its support entirely from the anterior ridge and palate. u Indications: Where a patient has suffered the loss of one or two anterior teeth. There should be a wide well formed palate with sufficient anterior clearance between the lower incisors and the ridge.
Bifid spoon denture in place
u +ve: cheap, easy to construct and modify. u -ve: 1 - weak and nonrigid. Therefore it is prone to breakage with continuous wear especially from occlusal forces from the lower anterior teeth. To avoid this, such dentures are sometimes made bulky for strength and this may not be accepted by the patient. 2 - Furthermore these dentures are small in size and may be inadvertently swallowed or inhaled. It would prove impossible to track such an object within the body cavities as acrylic is radiolucent. Such dentures therefore should use radiopaque resin to limit medico-legal liability. u Procedure 1 -Impressions are taken and the shade and mould selected. 2 -Generally the working models can be located without the need for a registration visit. 3 -I f appearance and occlusion are satisfactory then the denture is processed.
Modified spoon denture u u More stable and more acceptable (less risk of ingestion). Design: - Relying on frictional contact between the connector and the palatal surfaces of some posterior teeth. - OR adding wrought wire clasps.
Acrylic lingual plate versus wrought lingual bar connector u Definition: A partial acrylic lower denture may be constructed as an all acrylic prosthesis. The anterior connector may incorporate the use of a wrought metal bar. u Indications: 1 - The acrylic lingual plate connector is used commonly as it is technically less demanding and provides increased support to the prosthesis. 2 - Where there is sufficient space a wrought lingual bar should take preference, as this design is periodontally more favourable.
u +ve: The acrylic lingual plate connector has the advantage of being easy to construct and modify. It is also less costy in laboratory time. The wrought metal connector is less obtrusive to the patient and does not cover the gingival tissues. It is also stronger and less bulky than the acrylic connector. u -ve: The acrylic connector will cover the gingival margins and may cause damage by: - mechanical stripping of the gingivae - interdental wedging - encouraging plaque formation on the teeth. The main disadvantage of the wrought metal connector is the increased technical cost involved in production. Insufficient depth of the lingual sulcus may also prevent the use of the bar.
u Procedure: For the acrylic lingual plate connector it is important to avoid contact with the gingiva and obtain relief by blocking out the dentogingival junction, in addition to any interdental spaces on the cast. The aim is to reduce coverage of gingival margins where possible. The wrought bar is constructed from preformed wrought stainless steel bars that can be cold worked to conform to the arch form lingually. Oral hygiene should be of a high standard in both situations.
Wrought clasps to aid with retention u Definition: Acrylic partial dentures generally rely on the use of cohesive and adhesive forces of saliva together with the traditional forces associated with full denture retention and stability. To assist this process the clinician may wish to place clasps on the denture. u Indications: Wrought clasps are placed in acrylic dentures to aid retention. u +ve: easy to place. They can be adjusted at the chairside to help increase the retention. -ve: I f not correctly placed relative to the survey line, they may cause gingival damage and will also increase plaque accumulation. If the clasp arm is not correctly adapted it may also cause ulceration in the sulcus. u
u Procedure: A wrought clasp is placed in the correct position on the tooth after the trial denture stage has been completed as its positioning will not be stable in wax. The position of the clasp head and its design must be clearly indicated by the clinician. *So you have to survey your cast
Prosthetic treatment u Working impressions u Surveying of study casts u Tooth preparation (Gp) u Master impressions u Recording jaw relationship u Trial insertion of waxed-up dentures u Insertion of completed dentures u Review
Thank you