ABCESELE HEPATICE Dr Prof Nicolae Gladun Catedra Chirurgie
ABCESELE HEPATICE Dr. Prof. Nicolae Gladun Catedra Chirurgie FEC MF USMF „Nicolae Testemiţanu”
DEFINIŢIE �Abces hepatic – proces purulent distructiv localizat dezvoltat în parenchim hepatic
Istoric: �Descrise în literatură 1836 de catre Bright (cea mai frecventa cauza la vremea aceea era pileflebita secundară afecţiunilor abdominale preponderent consecutiva apendicitei atribuite pacienţilor tineri de sex masculin). �În 1938 Ochsner și De. Bakey au publicat lucrarea clasică despre abcesele hepatice piogene descriind 47 cazuri.
INCIDENŢA � Acestă patologie în secţiile chirurgicale alcătueşte 0. 5% din pacienţii trataţi, 5 -13 cazuri la 100. 000 de internari. În centrele în care sunt concentraţi pacienţii cu patologie hepatică incidenţa este mai mare. �În timp (anii 1930 – 2000) incidenţa abceselor hepatice a variat de la decadele 3 -4 de viaţa la decadele 6 -8 datorită scăderii importanţei apendicitei şi creşterii afecţiunilor biliare. La momentul de faţă diferenţa de sexe se estompează.
PATOGENIE Factorii decizionali: - agent infecţios - obstrucţia pasajului biliar - dereglările de circulaţie sangvină �Biliară �Hematogenă �Traumatismele hepatice Ochsner raporta o incidenţa de 45% a mecanismului pileflebitic
Patogenie Abcesele hepatice după provenenţă: � � � Postinflamaţii a căilor biliare (30 -50% cazuri) Postembolii a vaselor sanguine (sistemul venos port, pe calea arterială, sistemul limfatic) Postobstrucţiî a căilor biliare (neoplasme, stenoze. . . ) Posttraumatice Postparazitare (echinococ, ameobiaz) Idiopatice (5 -20% cazuri)
Patogeneza �Staza biliară �Teoretic, tromboembolismul (ischemia, suprainfectarea) �scaderea rezistenţei la infecţie
Bacteriologia (Microbiologia) �Cauza bacteriană (specifică/nespecifică) �Fungică/ameobiană (practic se întîlneşte toată gama de microorganisme patogene)
Bacteriologia (Microbiologia) �E. coli predomina (30%) urmată de Staphilococus aureus şi streptococi fiecare cu frecvenţa de 20%
Bacteriologia (Microbiologia) �Germeniî anaerobi sunt mai rar depistaţi (7 -43%) din cauza că necesită condiţii speciale. În 30 -64% sunt găsiţi infecţii polimicrobiene cu germeni aerobi şi anaerobi
Bacteriologia (Microbiologia) În ultimele decenii a crescut incidenţa abceselor cu germeni anaerobi (Bacteroides, Fusobacterium, Clostridium). Frecvenţa abceselor sterile a diminuat la 7 -13%
Bacteriologia (Microbiologia) Abcesele cu diferite specii de Candida survin la pacienţii cu imunosupresie La tropice sunt frecvente abcesele amoebiene
CLASIFICARE �Macroabcesele hepatice (întîlnite >50 cazuri) afectează mai frecvent hemificatul drept (55% din cazuri), segmentele posterioare. Hemificatul stîng este implicat în doar 10% cazuri
CLASIFICARE �Microabcesele hepatice (depistate în 35% cazuri) de regulă multiple, bilaterale de origine biliară – colangiogenă/colangită ori prin bacteremii, septice/embolism
CLASIFICARE �Între aceste două tipuri extreme de procese inflamatorii infecţioase intatrahepatice există forme însoţite de o intensă reacţie fibroză a parenchimului care cu greu pot fi diferenţiate de tumorile abcedante
Tabloul clinic �Febra 39 -40° (95%) �Astenie (60%) �Greaţă (10%) �Simptomatologia la pacienţii cu abcese hepatice de etiologie biliară este mult mai zgomotoasă �Hepatomegalia (60 -90%) �Ascită (rar întîlnită)
Tabloul clinic �Frisoane (50%) �Transpiraţii profuze �Hipotensiune �Icter (30%) �Dureri în hipocondrul drept, alterarea stării generale (90%) �Şoc toxicoseptic şi insuficienţe organice multiple, cu prognostic extrem de rezervat (30%). �Defans muscular a peretelui abdominal (60%)
Diagnostic �Anamneză/antecedente �Diagnosticul diferenţial clinic al abceselor hepatice este dificil de realizat iar colecistita acuta, colangita, abcesul subfrenic sau subhepatic, neoplasme hepatice, hepatita sunt doar cateva dintre afecţiunile de eliminat.
Laborator �Leucocitoza marcată (>20 000) este prezentă la 70 -80% din pacienţi �Anemia este constatată la 50 -65% cazuri �Hiperbilirubinemia (fosfataza alcalina) sunt găsite la o treime din pacienţi �Hemoculturile recoltate în cursul unui frison 50% sunt pozitive
Imagistica �Deoarece simptomatologia în majoritatea cazurilor este nespecifică diagnosticul se precizează prin metode imagistice
Imagistica �Ecografia este investigaţia imagistica “de prima linie” care poate decela leziuni de 2 cm în Ǿ cu sensibilitatea diagnostică 79%
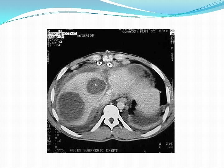
Imagistica �TC abdominala are o sensibilitate (de 97%) mai mare decat ecografia, deceleaza microabcesele (0, 5 cm) precum aduce informaţie şi despre patologia abdominală asociată – precizînd focarul de plecare.
Imagistica �Rezonanţa magnetica nucleara (RMN) (colangio. RMN sau angio. RMN) permite obţinerea unor detalii fine Diferenţierea hemangioamelor sau metastazelor, vascularizarea hepatică.
Abcesul hepatic, RMN MT hepatice, RMN
Imagistica �Radiografia simplă (funcţionarea cupolei diafragmale, reacţia sinusului pleural, imagini hidroaergice, pneumobilia).
Imagistica �Scintigrafia mai rar aplicată astăzi, sensibilitatea diagnostică 80%. Tehnica nouă – leucocitele marcate cu Tc 99 m.
Imagistica �Puncţia percutanată permite examinarea citologică şi bacteriologică, căutarea trofozoiţilor Entamoeba histolytica �Şi totuşi, sunt focare dificil de deferenţiat imagistic şi chiar intraoperator de tumorile supurative
TRATAMENT �Conservativ/terapeutic (10 -30%) �Chirurgical: ( 70%) - drenajul percutan ghidat echografic sau prin TC, - drenajul chirurgical tradiţional - Hepatectomie.
TRATAMENT �Alegerea metodei depinde de dimensiunile abcesului, de localizare, de multiplicitate, de starea biologica a pacientului şi de prezenţa unei patologii abdominale care necesita sancţiune chirurgicala. Uneori este indicata asocierea diverselor metode terapeutice.
TRATAMENT �În cazul microabceselor (diseminate, unice) imposibil de drenat recurgem la tratament conservativantibioticoterapie combinată cu includerea betalactamelor cu aminoglicozid şi metronidazol sau monoterapie cu carbapeneme
TRATAMENT �Macroabcesele nu pot fi tratate doar prin antibiotice �Drenajul percutanat a devenit tratamentul de elecţie al macroabceselor hepatice unice cu dimensiuni peste 15 mm
TRATAMENT �Rezecţia hepatică se indică în cazuri bine codificate la pacienţi cu stare generală şi biologică ce permite o rezecţie hepatică: - abcese multiple într-o zonă limitată - abces gigant cu afectarea practică a unui lob hepatic - abces-tumoare - drenaj ineficient
Procedeele chirurgicale �Ecolaparascopic �Transpleural �Drenaj chirurgical majoritatea cazurilor în abcesele solitare unice, voluminoase, situate postero-superior �debridarea şi lavajul cavitaţii cu prelevarea obligatorie a probelor bacteriologice �Prelevarea fragmentelor pentru examen histologic �Omentoplastia cavitaţii restante Burlui �Cateter transomfalic
Procedeele chirurgicale �Drenajul �Alegerea intre aceste doua metode de tratament, drenaj chirurgical sau percutan, ramane in cele din urma legata de preferinţele chirurgului şi de experienţa serviciului de imagisticăcu care acesta poate colabora.
Complicaţiile postoperatorii �Hemoragii �Biliragii 14, 8 % �Fistule �Totuşi curba mortalităţii a fost descendentă de la 6080% în anii 70 a veacului trecut la 7 -11% în prezent
ABCESELE AMOEBIENE �Entamoeba histolytica afecteaza 10% din populaţia lumii, preponderent în ţările tropicale �Patologia se declanşează prin ingestia chistelor de E. histolytica (contaminare fecal-orala) cu blocarea venulelor portale intrahepatice şi infarctizării hepatice 80%.
ABCESELE AMOEBIENE �Hemificatul drept se afectează în 80 %. Abcesul cu conţinut cremos gălbui sau verde, brun, păstos, amicrobian
ABCESELE AMOEBIENE �Clinica este subacută cu evoluţie de săptămîni �Diagnosticul (coproculturile, evidenţierea trofozoiţilor, testele de hemaglutinare, examenul parazitologic) �Majoritatea abceselor amoebiene se vindecă în urma curei cu metronidazol 750 mg x 3 zi per os sau i. v. 10 zile �Tratamentul chirurgical în cazul lipsei de răspuns la tratament medicamentos �Letalitatea (5 -10%)
Algoritmul conduitei terapeutice în abcesele hepatice • Anamneza • Datele obiective • Datele paraclinice Diagnosticul Tratamentul chirurgical Dranjul percutatan Drenajul extern Rezecția hepatică
Datele Clinicii Chirurgie FECMF �În decursul ultimilor 30 ani s-au tratat 40 pacienţi cu abcese hepatice – vîrsta 17 - 80 ani (3 -4 cazuri în an). Manifestările clinice au coincis cu datele din literatură. �Raportul bărbaţi-femei 1, 3: 1, 7
Datele Clinicii Chirurgie FECMF �Diagnosticul s-a confirmat peste 2 -4 săptămîni prin USG abdominală, TC, RMN.
Datele Clinicii Chirurgie FECMF �Pacienţii de etiologie: - postsepticemie – 8% - postraumatice – 8% - parainflamatorii (postcolicistectomie, postpancreatita) – 62% - postparazitare – 20% - abcese amoebice – 2%
Datele Clinicii Chirurgie FECMF � Tratamentul efectuat: - conservativ- terapeutic (terapie intensivă) - drenaj percutan ecoghidat - drenaj percutan clinic-ghidat - drenaj percutan laparoscopic ghidat - drenaj laparotomic, cu incizie, excizie şi drenarea largă a abcesului hepatic cu omentopexie - rezecţie hepatică radicală (marginală, anatomică ***Tratamentul terapeutic (5%) Tratamentul chirurgical: - drenaj miniinvaziv (20%) - drenaj tradiţional (75%)
Datele Clinicii Chirurgie FECMF �Durata medie de spitalizare 22 zile (11 - 81 zile) �Decese – 2 cazuri
- Slides: 46