A kezdetek Az emberi rksg gnek s krnyezet
A kezdetek Az emberi örökség, gének és környezet
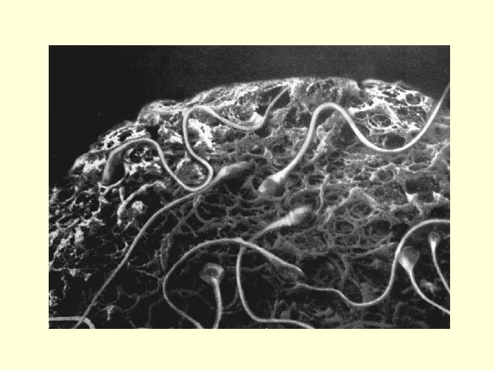
Ivaros szaporodás és genetikai átörökítés • Az ember fejlődése egyetlen sejt létrejöttével kezdődik fogamzáskor. • A szexuális érintkezés tetőpontján egy férfi mintegy 350 millió spermiumot juttat a nő hüvelyébe. • Minden egyes spermium feje 23 kromoszómát tartalmaz. Minden kromoszóma a dezoxiribonukleinsav (DNS) egyetlen molekulája – egy hosszú, két szálból álló molekula, amelyben a két szál egymás köré csavarodik. • A kromoszómák az öröklődés alapegységeit, a géneknek nevezett szakaszok ezreit tartalmazzák, amelyek az aminosavak sorrendjét kódolják ( az aminosavak alkotják a testünket felépítő fehérjék ezreit és a sejtek működését szabályozó enzimeket is).
• A spermium által hozott 23 kromoszóma adja az új egyed kifejlődéséhez szükséges genetikai információ felét. • A másik felét az anyai petesejt adja, amely szintúgy 23 kromoszómát tartalmaz + olyan géneket, amelyek a spermium által hordozott géneknek felelnek meg. • A spermiumok a nő méhén keresztül megkísérelnek felúszni a petevezetékbe csak néhány száz képes megtenni az utat. • Az „utazást” túlélő spermiumok egyike egy petesejttel találkozik + áthatol az azt határoló hártyán => megtörténik a fogamzás.
• A petesejt és a spermium egy zigótát alkot, amelynek 46, párba rendezett kromoszómájából 23 az apától, 23 az anyától származik => ebből fejlődik ki végül a megszülető gyermek minden sejtje. • A zigóta új sejteket mitózissal hoz létre, amely a sejt megkettőződésének és osztódásának folyamata egyben. • Mitózis → az a sejtosztódási folyamat, amelyik a csírasejtek kivételével megteremti a test minden sejtjét. ≈ során a sejt vlmennyi kromoszómája lemásolódik, és mindegyikből új keletkezik, ezek aztán úgy válnak szét, hogy mindkettőből egy-egy jut minden új sejtbe. A mitózis biztosítja, hogy az élőlény élete folyamán azonos genetikai információ maradjon fenn a test sejtjeiben.
Meiózis → a változatosság forrása • A testi sejt másolásáért a mitózis felelős, azonban a csírasejtek [spermiumok és petesejtek] replikációja másképp megy végbe. Ugyanis: ha a testi sejtekhez hasonlóan a spermiumok és petesejtek termelését is mitózis vezérelné, minden újabb generációban megduplázódna az utódok által öröklött kromoszómák száma. • A csírasejetek ezért ↑ meiózis által jönnek létre, ami biztosítja, hogy a zigóta rendesen csak 46 ( ! ) kromoszómát tartalmazzon.
• A meiózis folyamatának első fázisában a csíratermelő sejtek 23 kromoszómapárja ugyanúgy másolatot készít magáról, mint mitóziskor. De → ezután a sejt nem egyszer osztódik ketté, mint a mitózisban, hanem kétszer, ami 4 utódsejtet eredményez. • Ezen utódsejtek mindegyike csak 23 páratlan kromoszómát tartalmaz, feleannyit, mint amennyi a szülősejt készletében volt. • Amikor a petesejt és a spermium a fogamzáskor egyesül, a zigóta egy teljes, 46 kromoszómából (23 kromoszómapárból) álló készletet szerez.
• Mivel a zigóta kromoszómáinak fele származik mindkét szülőtől, a létrejövő egyén genetikailag, mind apjától, mind anyjától különbözik. • Ez a szaporodási folyamat hozza létre a generációk közötti genetikai változatosságot, amely elősegíti a faj fennmaradását. • A genetikai változatosságot fokozza → a crossing over (átkereszteződés) => a meiózis első fázisában a genetikai anyag kicserélődik 1 kromoszómapáron belül. • Mialatt az azonos jellemzőkhöz tartozó géneket tartalmazó krom. -pár tagjai egymás mellett helyezkednek el, a pár egyik tagjának 1 szakasza helyet cserélhet a másik krom. megfelelő szakaszával => mindkét krom. génösszetétele módosul.
Ikrek • A zigóta kialakulását követő első néhány mitózisban az utódsejtek néha teljesen szétválnak, és külön egyeddé fejlődnek. • Ha az ↑ ilyen osztódás két egyént eredményez → őket egypetéjű ikreknek nevezzük, mert egyetlen petéből származnak. • Kb. 250 fogamzásból egy. • Potenciálisan azonos: - testi és pszichológiai felépítés - betegségre való fogékonyság - várható élettartam
Kétpetéjű ikrek • Két különböző zigótából fejlődnek ki. • Születésükkor nem hasonlítanak jobban egymásra, mint bármely más, azonos szülőktől származó gyerek. • Szülésükre való hajlamot befolyásolja: – – – Bőrszín Öröklődés Az anya életkora A megelőző terhességek száma Termékenységet előidéző gyógyszerek szedése Amerikai fekete nők, 35 -40 éves kor, 4 v. több gyermeket szült anyák, meddőség elleni gyógyszert szedők.
A nem meghatározása • Az emberi sejtben található 23 krom. párból 22 -ben a két kromoszóma hasonló típusú: – Azonos méretűek és alakúak – Egymásnak megfelelő géneket hordoznak A 23. pár kromoszómái azonban különbözhetnek => ez a pár határozza meg a személy genetikai nemét. A nő krom. -i között a 23. pár két tagja azonos típusú, Xkromoszóma. A férfinak csak 1 X-kromoszómája és 1 sokkal kisebb Ykromoszómája van.
• Az anya mindig XX, minden petesejtje 1 X kromoszómát tartalmaz. • Az apa spermiumainak fele X-, a másik fele Y-kromoszómát hordoz. • Ha X-kr-t tartalmazó spermium termékenyíti meg a petesejtet => a gyermek XX => LÁNY lesz ♀. • Ha a spermium, amely megtermékenyíti a petesejtet Y-kr-t tartalmaz => a gyermek XY => FIÚ lesz ♂. • Minden fogamzásnál 50 -50% esély van fiú-, illetve lánygyermekre.
Mutációk és öröklődő rendellenességek • Mutáció → a gének lemásolásának folyamatában keletkező hiba, amely módosítja a DNS molekuláris szerkezetét: – Egy adott gén minőségi változása / gének sorrendjének változása 1 kromoszómán. – A kromoszóma egy része elvész / megkettőződik. – Néha testi sejtekben → bőr, máj, agy v. a csont sejtjeiben is előfordul. Ilyenkor => csak azt a személyt befolyásolja, akiben előfordul, a köv. generációba nem továbbítódik. – Azonban => ha a mutáció a szülő spermiumában / petesejtjében köv. be, a genetikai információ átkerülhet a következő nemzedékbe.
Gyakoribb genetikai rendellenességek Sarlósejtes vérszegénység • A vörösvértestek íves sarló alakot vesznek fel (kerek alak helyett). Amikor a vér oxigénellátása csökken, pl. nagy magasságban, kimerítő testedzés v. altatás folyamán, rögöket képeznek => könnyen elzárhatják a kisebb ereket. • Tünetek: súlyos hasi, háti, fej- és végtagfájdalmak, a szív megnagyobbodása, agysejtek kevesebb vérellátottsága => a vértestek könnyen megrepednek, korai halálhoz is vezethetnek. • Elsősorban az afrikai eredetű embereket sújtja (az USAban 8 -9%, Ny-Afrikában 20% az előfordulási esély).
Down-kór → kromoszómahiba • A ≈ kórral született gyerekek 95%-nak 47, eggyel több kromoszómája van. A 21. kromoszómából két példány helyett hárommal rendelkeznek => 21. triszómiának is nevezik. • Értelmileg és testileg visszamaradottak. Külső jellegzetességük: – – – ferde szem, redő a szemhéjakon lapos arcél, a fülek alacsonyabb elhelyezkedése rövid nyak, kiugró nyelv, fogazati szabálytalanságok rövid/széles kéz, kicsi/görbe ujjak a lábujjak között szélesebb rés a tenyéren keresztben végigfutó ránc
• Gyakran szenvednek: – Szív-, fül- és szembetegségekben ezek miatt nagyobb valószínűséggel – Leukémiában halnak meg fiatalon – Veszélyeztettek a légúti fertőzésekre (Frid, 1999) A speciális iskola / a környezet lényegesen javít a helyzetükön. Előfordulási esélye: Az USA-ban 1000 születésre 1 ≈ eset jut. Kockázati tényező: életkor → a petesejt érzékeny a környezeti ártalmakra => vírusok, sugárzás, vegyszerek, amelyek károsíthatják a kromoszómákat v. megzavarhatják a meiózis folyamatát → minél idősebb egy nő, annál tovább volt kitéve az ilyen környezeti ártalmaknak.
Esélye: - 30 év alatti nő élve született Down-kóros csecsemőt hoz világra, kevesebb, mint 1: 800 - 40 éves korban 1: 100 - 45 éves korban 1: 32 - 49 éves korban 1: 12 (Hook, 1982; Chan, 1998 )
- Slides: 22