7 Sindromul mediastinal Ce este S mediastinal Orice

















































- Slides: 49
7. Sindromul mediastinal
Ce este S. mediastinal? Orice situație în care pe imaginea Rg. se identifică o modificare a: dimensiunilor; formei mediastinului: Modificarea arcurilor mediastinale
Tipuri de leziuni în S. mediastinal Opacități F rar: hipertransparențe Rarissim: imagini mixte (hidroaerice)
CARACTERELE GENERALE OPACITAȚILOR MEDIASTINALE LIMITA EXTERNA NETĂ ȘI CONTINUĂ FORMA CONVEXĂ SPRE PLAM N RACORD ÎN PANTĂ LINĂ CU MEDIASTINUL LIMITA INTERNĂ NEDELIMITABILĂ (SILUETAJ)
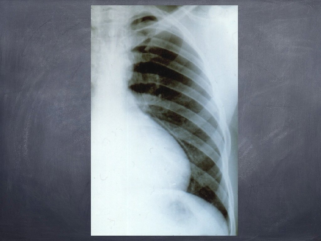
Semiologia opacităților mediastinale DEPLASĂRI ALE LINIILOR MEDIASTINALE; SEMNUL SILUETEI; SEMNUL CERVICO-TORACIC; SEMNUL CONVERGENȚEI HILULUI; SEMNUL ACOPERIRII HILULUI; SEMNUL “ICEBERG” – ului; SEMNUL ATRACȚIEI ESOFAGULUI
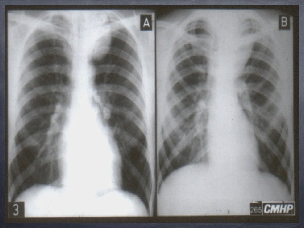
Semnul cervico-toracic
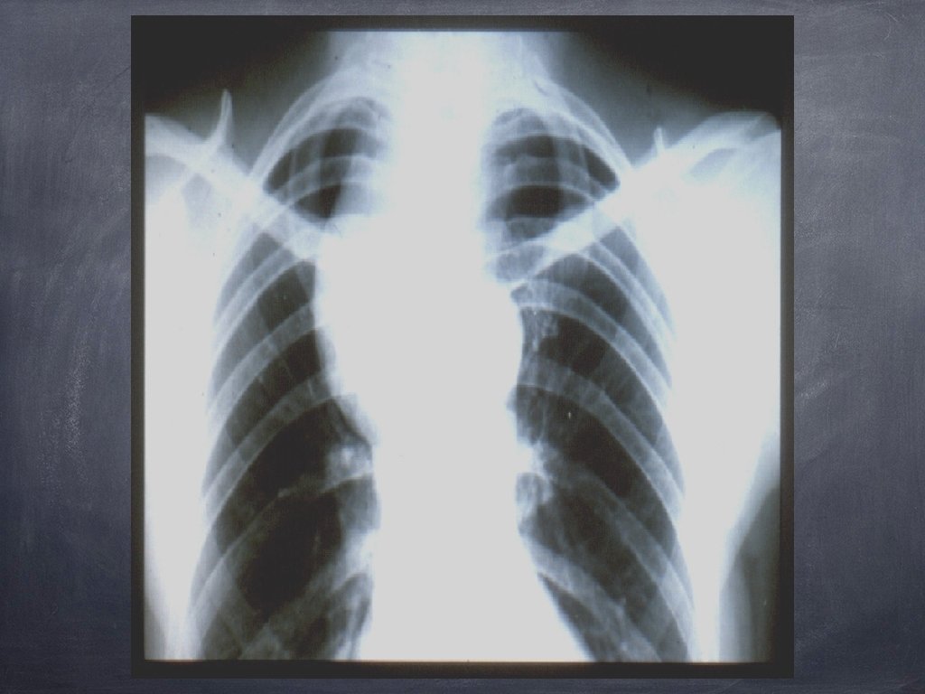
Semnul siluetei
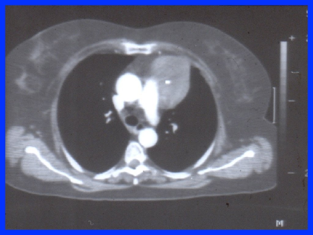
Semnul convergenței hilare
Semnul convergenței hilare
MASE CU DENSITAȚI SPECIFICE AER = EFRACȚIE, SUPURAȚIE; GRASIME = LIPOM; APA = CHISTURI, COLECȚII ; CALCIU; ARTEFACTE = METAL = CORPI STRAINI
Hipertransparențele mediastinale PNEUMOMEDIASTINUL; ANOMALIILE ESOFAGULUI; ABCESUL MEDIASTINAL
8. Sindromul vascular
Sindromul vascular Înglobează modificări ale vaselor pulmonare: calibru; numar; distribuție CREȘTERE LOCALIZATĂ DE CALIBRU CREȘTERE GENERALIZATĂ DE CALIBRU: - PRIN DEBIT ARTERIAL - PRIN STAZĂ VENOASĂ REDUCEREA DE CALIBRU (LOCALIZATĂ SAU GENERALIZATĂ) CREȘTERE CENTRALĂ DE CALIBRU CU REDUCERE PERIFERICĂ (HIPERTENSIUNE PULMONARĂ)
Vasele pulmonare ARTERA PULMONARĂ: TRUNCHI ARTERA PULMONARA DREAPTĂ: oblic orizontală: ram superior; ram inferior. ARTERA PULMONARA ST NGĂ: mai scurtă ca dreapta; ascendentă - diviziune posterioară URMEAZĂ DIVIZIUNEA BRONȘICĂ – SE TERMINĂ ÎN REȚEAUA PERIALVEOLARĂ
Circulația nutritivă = Aa. bronșice; Urmează diviziunea bronșiilor, anastomozându-se cu circulația funcțională; Rețeaua limfatică - traiectul venelor pulmonare; Circulația venoasă - traiect orizontal, separat de a. și de bronșie; 4 vv. pulmonare (sup. și inf. ) – AS
Hipertensiunea arterială pulmonară 1. Hiluri pulmonare cu arie de proiecție crescută, ramificate 2. Decalibrare bruscă a ramurilor de AP în regiunea perihilară; 3. Periferie pulmonară „săracă“ în benzi de desen pulmonar.
Staza venoasă pulmonară Redistribuţia vasculară; Edemul interstiţial; Revărsatul pleural; Edemul alveolar; hemosideroza nodulii de osificare
9. Modificările de configuraţie ale cordului
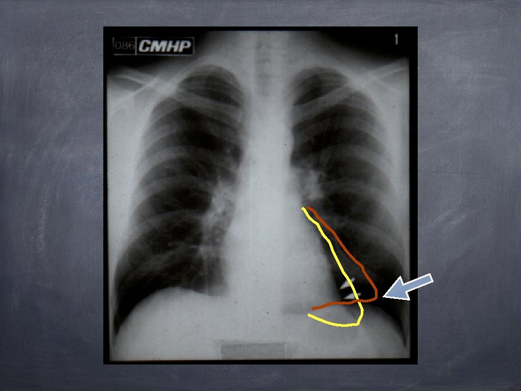
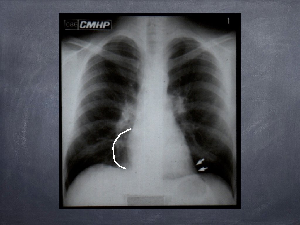
Dilataţia AS Incidenţa de față: Bombare AMS in porțiunea inferioară; Deschiderea unghiului carinei; Arc suplimentar pe marginea dreaptă a cordului
Dilatația de VS
Hipertrofia de VS
Dilatația / Hipertrofia de VD
Dilatația AD
Succes !