2012 04 Diagnosis Pleural fluid left aspiration cytology

  • Slides: 18
Download presentation

2012 04월 Diagnosis : Pleural fluid, left, aspiration cytology ; Negative for malignancy

2012 04월 Diagnosis : Pleural fluid, left, aspiration cytology ; Negative for malignancy

2012 10 PET-CT & Chest PA

2012 10 PET-CT & Chest PA

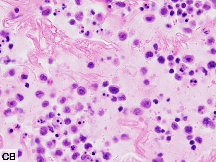
CB

CB

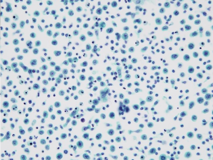
Cytologic Findings 1. 2. High cellularity Singly scattered large cells 1. Moderately abundant cytoplasm

Cytologic Findings 1. 2. High cellularity Singly scattered large cells 1. Moderately abundant cytoplasm 2. Round to irregular nuclear membrane 3. Small tongue like nuclear projection 4. 1~2 Prominent nucleoli 5. Cytoplasmic vacuoles 3. Lymphoglandular bodies

Differential diagnosis 1. Malignant lymphoma ; 1. Primary effusion lymphoma 2. Pyothorax associated lymphoma

Differential diagnosis 1. Malignant lymphoma ; 1. Primary effusion lymphoma 2. Pyothorax associated lymphoma 3. Secondary involvement 2. Metastatic tumor ; 1. Carcinoma 2. Malignant melanoma 3. Mesothelial lesion ; 1. Reactive mesothelial cell 2. Malignant mesothelioma

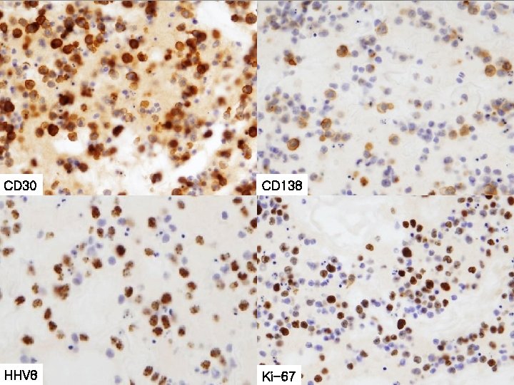
CB ; Immunohistochemistry Positive CD 30 HHV 8 CD 138 Negative CD 3 CD

CB ; Immunohistochemistry Positive CD 30 HHV 8 CD 138 Negative CD 3 CD 20 CD 79 a VS 38 Ki-67 EBER-1 m. RNA ISH S-100 Calretinin CK

CD 20 CD 3 CD 79 a EBER-1 m. RNA ISH

CD 20 CD 3 CD 79 a EBER-1 m. RNA ISH

CD 30 CD 138 HHV 8 Ki-67

CD 30 CD 138 HHV 8 Ki-67

Cytologic Diagnosis • Diagnosis : Pleural fluid, left, aspiration cytology : Malignant lymphoma ,

Cytologic Diagnosis • Diagnosis : Pleural fluid, left, aspiration cytology : Malignant lymphoma , primary effusion lymphoma

Primary effusion lymphoma • Definition – A large B-cell neoplasm usually presenting as serous

Primary effusion lymphoma • Definition – A large B-cell neoplasm usually presenting as serous effusions without detectable tumor masses

Primary effusion lymphoma • Epidemiology – In young or middle-aged homo- or bisexual males

Primary effusion lymphoma • Epidemiology – In young or middle-aged homo- or bisexual males with HIV(+) and severe immunodeficiency – In the absence of immunodeficiency • Elderly pts • High prevalence for HHV 8 infection – Co-infection with monoclonal EBV * EBV-associated HHV 8(-) large B-cell lymphoma : occuring with chronic suppurative inflammation, such as pyothorax associated lymphoma

Primary effusion lymphoma Chen et al. The oncologist 2007; 12: 569 -576

Primary effusion lymphoma Chen et al. The oncologist 2007; 12: 569 -576