1 nasada chrzstka wzrostowa przynasada trzon s to






























































































- Slides: 94
1. nasada -chrząstka wzrostowa - przynasada – trzon są to elementy anatomiczne charakteryzujące kość dziecięcą 2. chrząstka wzrostowa, przynasada , to miejsca zmniejszonej odporności, 3. więzadła, ścięgna, torebki stawowe są mocniejsze od połączeń poprzez chrząstkę wzrostową – stąd częstsze złuszczenia aniżeli zwichnięcia 4. aktywność chrząstki wzrostowej jest odwrotnie proporcjonalna do wieku dziecka, zasada ta odnosi się również do gojenia złamań i ich przebudowy
§ największa u noworodków § przemieszczenia kątowe > 20° u dzieci starszych nie dają gwarancji przebudowy § złamania w części bliższej kości udowej, złamania śródstawowe wymagają anatomicznego nastawienia § wtedy, kiedy siła urazu działa prostopadle do linii chrząstki wzrostowej , może wystąpić zaburzenie wzrostu kości - wzrost asymetryczny § wtórny przerost kości na długość spowodowany nadmiernym przekrwieniem i pobudzeniem chrząstki wzrostowej – to zjawisko specyficzne dla złamania kości udowej. § brak możliwości przebudowy przemieszczeń rotacyjnych
1. złuszczenia nasad 2. złamania podokostnowe , typu „ zielona gałązka” 3. złamania z oderwania – awulsyjne 4. deformacje plastyczne (Border 1874 ) dotyczy jedynie kości promieniowej, przewlekły uraz, który nie doprowadza do złamania, a jedynie do nadmiernego wygięcia kości
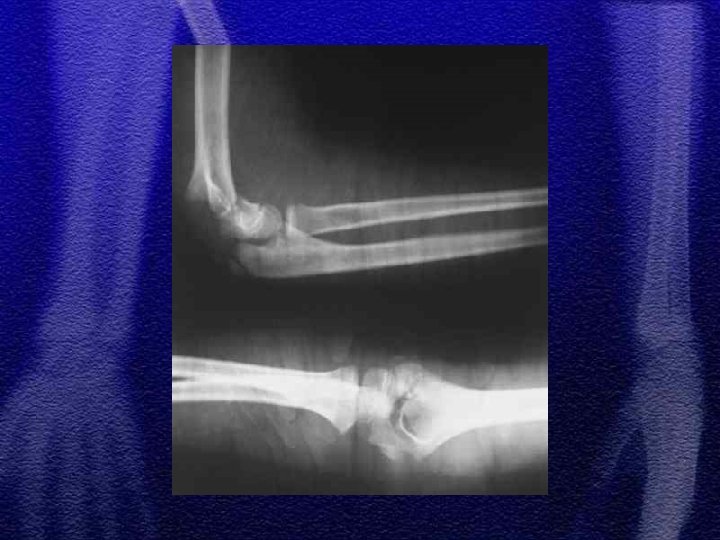
§ u dzieci młodszych § dotyczą najczęściej stawu łokciowego, z uwagi na obecność linii chrząstek wzrostowych, wtórnych jąder kostnienia pojawiających się w różnym czasie WARTO WYKONAĆ DLA PORÓWNANIA RTG KOŃCZYNY ZDROWEJ
§ w miejscu torbieli samotnej § w miejscu dysplazji włóknistej § wrodzona łamliwość kości § w miejscu chrzęstniaka
WSKAZANIA DO LECZENIA OPERACYJNEGO: § złamania towarzyszące ciężkim urazom OUN § złamania otwarte § złamania śródstawowe z przemieszczeniem odłamów § złamania wielomiejscowe § złamania nie dające zadowalającego ustawienia w trakcie leczenia § złamania wybrane - szyjki kości udowej, nadkłykci i kłykci kości ramiennej, złamanie Monteggia
§ druty Kirschnera § cienkie groty Steinmanna, pręty Rusha, pręty Endera, Nancy § ZESPOL - płyty nadkostne i zewnętrzne § Szew kostny - śruby § zewnętrzne stabilizatory,
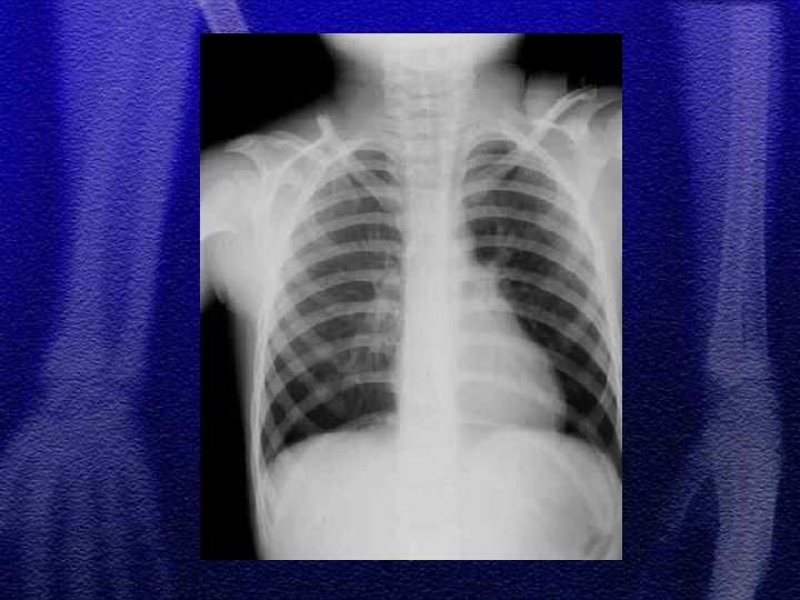
§ W obrębie powłok - zadrapania, wylewy krwawe, obrzęki w różnych stadiach gojenia, oparzenia, ubytki kępek włosów, naderwane uszy § złamania kości czaszki, żeber, kości długich w okolicach nasad i przynasad, związane z pociąganiem i skręcaniem kończyn - nawarstwienia okostnowe § złamania kompresyjne kręgosłupa mogą być wynikiem powtarzanego potrząsania dzieckiem
§ Najczęściej są to następstwa urazów okołoporodowych § złamania obojczyka - wystarczy 7 -10 dniowe unieruchomienie miękkiegojenie poprzez wytworzenie obfitego guza kostniny § złamanie trzonu kości udowej - wyciąg plastrowy pionowy, rozwórka Koszli 2 -3 tyg. § złamania kości ramiennej - miękki opatrunek Desaulta 2 tyg. § złuszczenia nasad występują sporadycznie
§ Najczęściej dotyczą trzonu § Złuszczenia nasad typ I lub II wg Saltera-Harrisa § Klasyczne urazowe zwichnięcia w stawie barkowoobojczykowym z uszkodzeniem więzadeł kruczo – barkowych występuje jedynie u dzieci starszych, bardzo rzadko
§ Opatrunek ósemkowy § Prostotrzymacz § Opatrunek Desaulta, w zależności od wieku od 2 do 4 tygodni § Wskazania do leczenia operacyjnego to: złamania otwarte, towarzyszące złamaniu uszkodzenia naczyniowo-nerwowe, napięcie skóry na odłamie § Zespolenie drutem Kirschnera
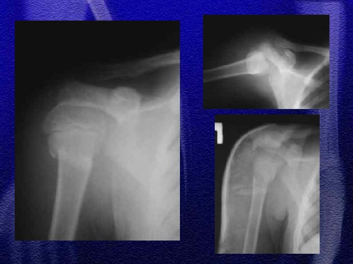
1. złamanie szyjki chirurgicznej (przynasady) 2. zwichnięcie barku występuje u dzieci wyjątkowo rzadko, w starszej grupie wiekowej 3. u dzieci młodszych złuszczenie typ I, u dzieci starszych typ II 4. leczenie: jednoczasowa repozycja zamknięta, wyciąg szkieletowy, leczenie operacyjne rzadko 5. istnieje bardzo duża możliwość przebudowy kości w tej okolicy
§ Noworodki – uraz okołoporodowy § Dzieci poniżej 3 roku życia oraz powyżej 12 r. ż. LECZENIE ZŁAMANIA T RZONU KOŚCI RAMIENNEJ § GIPS WISZĄCY § PODŁUŻNIK GIPSOWY + OPATRUNEK DESAULTEA § WYCIĄG SZKIELETOWY § LECZENIE OPERACYJNE - ZŁAMANIA OTWARTE POWIKŁANE USZKODZENIEM NACZYŃ I NERWÓW
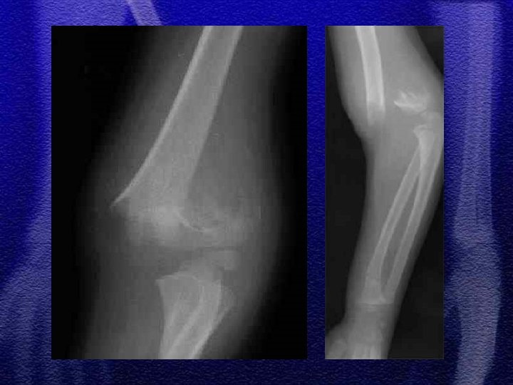
1. Szczyt występowania złamania 3 -10 rok życia, co wynika z budowy anatomicznej, która predysponuje do ww. złamań 2. Wiotkość torebki stawowej i więzadeł usposabia do przeprostu 3. Linia złamania przebiega w przynasadzie w miejscu jej ścieńczenia (dół dla wyrostka dziobiastego oraz wyrostka łokciowego )
§ Wyprostne - 95% § Zgięciowe - 5% § Klasyfikacja wg Gartlanda
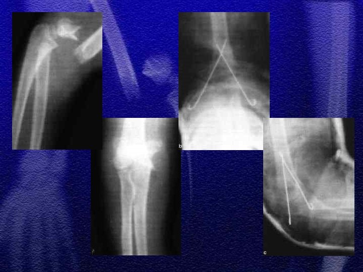
§ Repozycja zamknięta , unieruchomienie gipsowe § Repozycja zamknięta i zespolenie przezskórne dwoma drutami Kirschnera § Repozycja otwarta i zespolenie dwoma drutami Kirschnera skrzyżowanymi lub równoległymi § Wyciąg szkieletowy typu „Zeno”
§ Złamania otwarte § Złamania powikłane uszkodzeniem naczyń i nerwów § Niemożność utrzymania poprawnego ustawienia odłamów
§ Występują u dzieci bardzo rzadko § Dotyczą dzieci starszych § Leczenie zachowawcze, wyciąg, szkieletowy, repozycja otwarta i zespolenie drutem Kirschnera
§ Występują bardzo rzadko § Najczęściej u dzieci małych w 2 -3 r. ż. § Trudności diagnostyczne wynikają z powodu późniejszego uwidaczniania się nasad w obrazie radiologicznym
§ Podział wg Fowlersa
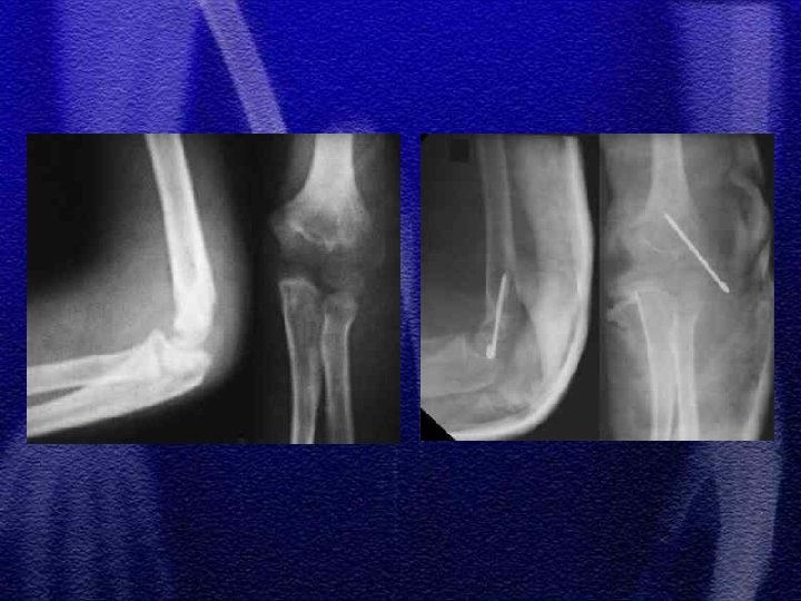
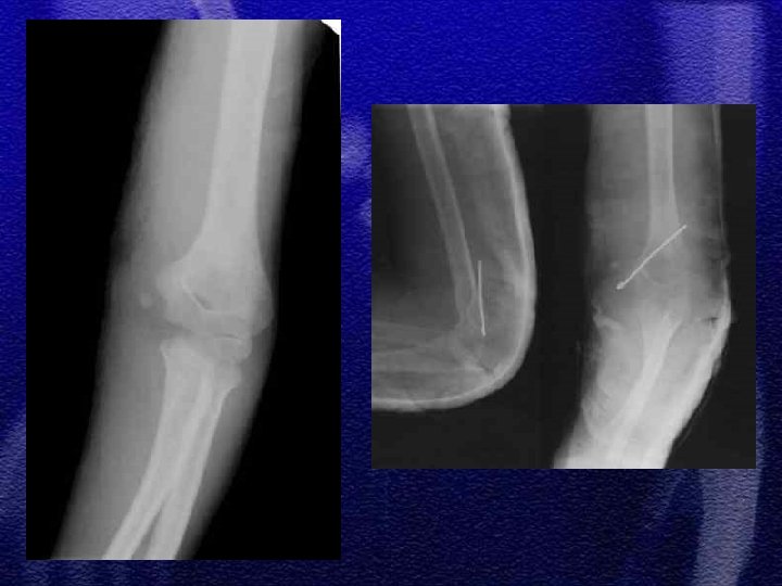
1. Jest to typ IV według Saltera-Harrisa 2. Mięśnie prostowniki, więzadło poboczne stawu łokciowego przemieszczają złamanie (złamanie awulsyjne) 3. Leczenie I° zachowawcze 4. II i III° operacyjne 5. Z uwagi na możliwość wtórnego przemieszczenia odłamów decydując się na leczenie zachowawcze należy pamiętać o kontrolach rtg. w 3, 7, 14 dobie od złamania
§ Występuje znacznie rzadziej aniżeli kłykcia bocznego § Jest to typ IV wg Saltera-Harrisa § Leczenie jak w złamaniach kłykcia bocznego
§ Ustawienie przedramienia w nadmiernej koślawości powoduje nadmierne pociąganie i oderwanie nadkłykcia przez mięśnie zginacze przedramienia § Jest uszkodzeniem awulsyjnym § Często towarzyszy zwichnięciu stawu łokciowego § Leczenie złamania z przemieszczeniem operacyjne
§ Izolowane występuje rzadko § Współistnieje ze złamaniem szyjki kości promieniowej lub złuszczeniem nasady bliższej kości promieniowej § Ze zwichnięciem głowy kości promieniowej (typ Monteggia) § Złamaniem kłykcia bocznego kości ramiennej § Leczenie - złamanie bez przemieszczenia zachowawcze, z przemieszczeniem operacyjne - grot Steinmanna, „popręg Webera”, śruba
§ Typy złamania
§ Zachowawcze - bez przemieszczenia oraz z przemieszczeniem kątowym do 20° § Repozycja zamknięta § Operacyjne - krwawe nastawienie i zespolenie śródszpikowe (drut Kirschnera) przeprowadzony przez dalszą nasadę kości ramiennej
§ Podział
§ Najczęściej występuje typ wyprostny 85% § Wśród złamań typu Monteggia notuje się największą ilość błędów diagnostycznych § Leczenie - próba nastawienia zachowawczego, leczenie operacyjne przy niepowodzeniu repozycji zachowawczej § Należy pamiętać o możliwości wtórnego przemieszczenia odłamów
§ Występuje rzadko § PODWICHNIĘCIE GŁOWY KOŚCI PROMIENIOWEJ U DZIECI MAŁYCH - DZIECKO PROWADZONE ZA RĄCZKĘ WYRYWA SIĘ – występuje bardzo często, wymaga szybkiego nastawienia
§ U dzieci występuje rzadko § Najczęściej powyżej 10 r. ż. § Często towarzyszy mu oderwanie nadkłykcia przyśrodkowego kości ramiennej, który może być przemieszczony do stawu § Rzadziej złamanie wyrostka dziobiastego kości ramiennej
§ Specyficzne - to złamanie typu „zielonej gałązki”, przy złamaniach tego typu okostna nie jest uszkodzona całkowicie, dotyczy to również warstwy korowej § Przy repozycji należy złamać pozostałą warstwę korową, ponieważ zapobiega to wtórnemu przemieszczeniu
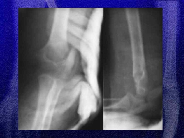
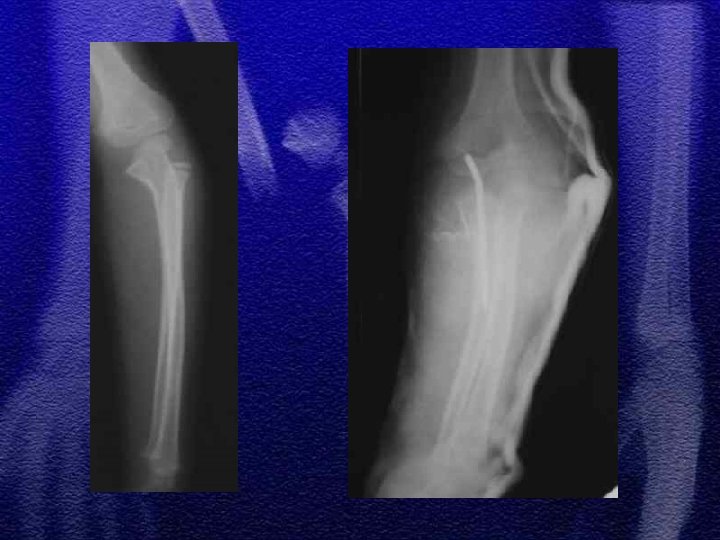
§ U dzieci starszych podobnie jak u dorosłych przydatny jest podział dotyczący lokalizacji złamania - określający 3 strefy złamania § W wieku rozwojowym rzadko występuje złamanie typu Galeazzi odmiana dziecięca to złamanie dalszej przynasady kości promieniowej ze złuszczeniem dalszej nasady kości łokciowej
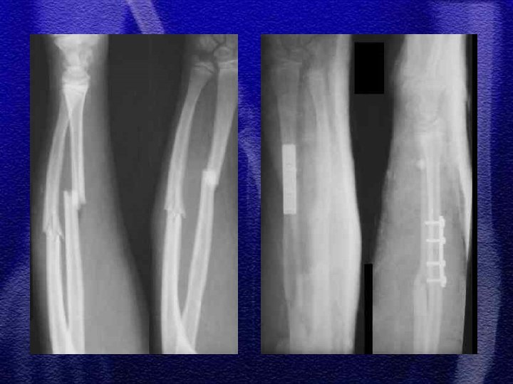
§ Najczęściej repozycja zamknięta § Konieczne kontrole rtg. w 3, 7, 14 dobie z uwagi na możliwość wtórnego przemieszczenia § Leczenie operacyjne - płytki, drut Kirschnera
§ Wyznaczenie jednoznacznego kryterium do zaakceptowania zrostu nieprawidłowego we wstępnej fazie leczenia jest trudne § Przemieszczenie do boku nawet o szerokość trzonu można zaakceptować § Przemieszczenia kątowego >20° nie można akceptować § Przemieszczenia rotacyjne nie podlegają korekcji § Zasadnicze znaczenie ma wiek dziecka
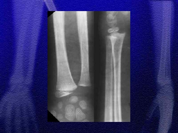
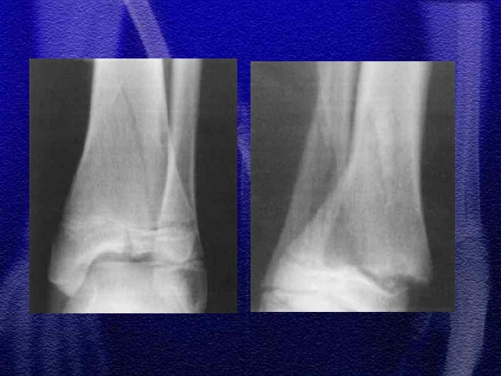
§ Złamania przynasad § Złuszczenia dalszej nasady kości promieniowej to najczęstszy uraz chrząstki nasadowej u dzieci § Najczęstsze złuszczenia typ I i II § Typ III IV i V występują sporadycznie, są obarczone możliwością wywołania zaburzeń wzrostu kości (zniekształcenia pseudo-Madelunga)
§ Nastawienia zachowawcze u dzieci powinny być wykonywane w znieczuleniu ogólnym § Wyjątek stanowią złamania z niewielkim przemieszczeniem
§ Występuje sporadycznie § Leczenie: repozycja, gips biodrowy lub wyciąg pośredni (6 tyg. ), aparat odciążający do 6 mies
1. Występuje bardzo rzadko 2. Odcinek bliższy kości udowej u dzieci ma mały potencjał przebudowy, złamanie tej okolicy wymaga więc anatomicznego nastawienia i stabilnego zespolenia 3. Leczenie - złamania bez przemieszczenia -zachowawcze, z przemieszczeniem - wiązka drutów Kirschnera, śruby, płyta kątowa w złamaniach okolicy międzykrętarzowej
§ Jałowa martwica głowy kości udowej § Przedwczesne zarośnięcie chrząstki wzrostowej § Biodro szpotawe § Staw rzekomy (wyjątkowa rzadkość)
§ Występują bardzo rzadko - leczenie zachowawcze § Złamania podkrętarzowe - sporadyczne, leczenie wyciąg szkieletowy w pozycji 90/90°, lub półpoziomy w odwiedzeniu, dzieci starsze leczenie operacyjne § Zrost następuje szybko
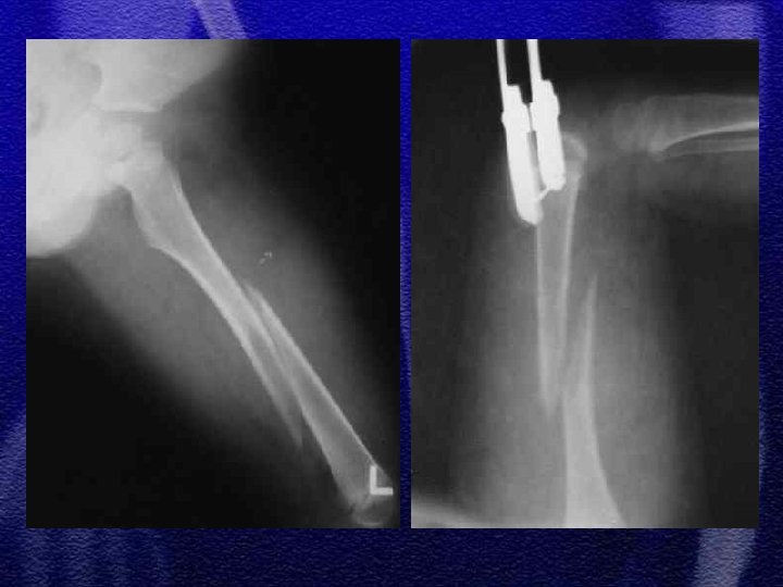
§ Dotyczy najczęściej chłopców w wieku 4 -10 lat § Złamanie występuje najczęściej w środkowej części trzonu § Dziecko jest we wstrząsie z powodu bólu i dużej utraty krwi , musi być hospitalizowane § Należy pamiętać o możliwości współistnienia zwichnięcia stawu biodrowego, złamania panewki lub miednicy § Złuszczenie nasady bliższej kości udowej urazowe występuje głównie u noworodków i niemowląt
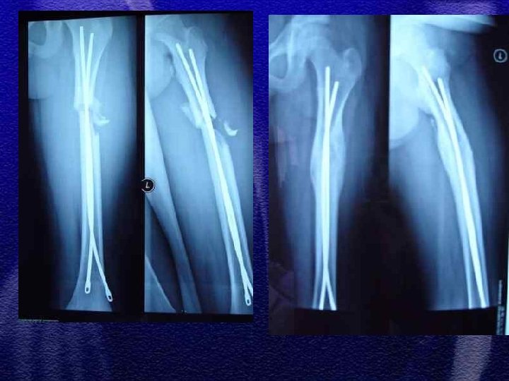
§ Do 4 roku życia leczenie wyłącznie zachowawczewyciąg plastrowy lub szkieletowy w zależności od wieku § Większość złamań do 10 r. ż. - wyciąg szkieletowy ok. 3 tyg. , a następnie gips biodrowy od 3 do 6 tygodni w zależności od wieku § Leczenie operacyjne rozważa się po 10 roku życia a metody zespolenia to: Zespol, pręty Endera, Rusha, stabilizatory zewnętrzne
§ Częstym zjawiskiem występującym po złamaniach trzonu kości udowej u dzieci jest przerost (w zakresie uda) kończyny na długość § Przyczyną przerostu kończyny jest przekrwienie kości w wyniku złamania i nadmiernego pobudzenia chrząstek wzrostowych § Różnica długości kończyn może dochodzić do 2 cm
§ Noworodki i niemowlęta - tolerancja załamania osi 30 -40°, 1, 2 cm skrócenia § U dzieci starszych tolerancja załamania osi< 20°, przemieszczenia do boku przebudowują się § Lecząc wyciągiem szkieletowym (trwa to ok. 3 tyg. ) należy wystrzegać się nadmiernego rozciągnięcia odłamów (przerost na długość)
§ Uraz ten należy do kazuistyki § Klasyfikacja i postępowanie podobne jak u dorosłych
§ Następuje w wyniku działania dużej siły § Najczęściej typ II wg Saltera-Harrisa § Rzadko typ I bez przemieszczenia oraz typ IV prowadzący do zaburzenia wzrostu kości udowej § W znacznych przemieszczeniach należy ocenić stan krążenia i unerwienia kończyny § Leczenie – nastawienie w znieczuleniu ogólnym, złuszczenia niestabilne można ustalić przy pomocy dwóch skrzyżowanych drutów Kirschnera
§ Oderwanie wyniosłości międzykłykciowej, leczenie - I i II stopień wg Meyersa i Mc. Keevera punkcja leczenie zachowawcze, gips do 6 tygodni w zależności od wieku § Przemieszczenia III° leczenie operacyjne: szew, pętla druciana, zespolenie śrubą przy użyciu artroskopu
§ Występuje bardzo rzadko § Bez przemieszczenia leczy się zachowawczo § Typ i wg Watson-Jonesa operacyjnie - śruba drut Kirschnera
§ Złuszczenia nasady bliższej wyjątkowo rzadkie, obarczone powikłaniem pod postacią zaburzenia wzrostu kończyny co może prowadzić do znacznych odchyleń osi § Złamania bliższej przynasady mogą powodować podobne powikłania
§ U dzieci małych mogą wystąpić kłopoty diagnostyczne, ponieważ obrzęk w obfitej w tkankę tłuszczową kończynie jest niezauważalny, dziecko raczkuje, przy złamaniach podokostnowych lekko utyka chodząc, dlatego zdarza się że rozpoznanie jest opóźnione § Leczenie - gips udowy 2 -4 tyg. § U dzieci zdarzają się, choć rzadko, złamania marszowe
§ Leczenie zachowawcze jest zasadniczym postępowaniem, niezależnie od wieku dziecka § Dopuszczalne skrócenie odłamów do 1 cm § Dopuszczalne załamanie osi do 10° § Dopuszczalne przemieszczenie do boku o 2/3 szerokości trzonu
§ Przy wtórnych przemieszczeniach kątowych stosuje się gipsotomię § Leczenie operacyjne: złamania otwarte, złamania niestabilne - ZESPOL, śruby, stabilizatory zewnętrzne
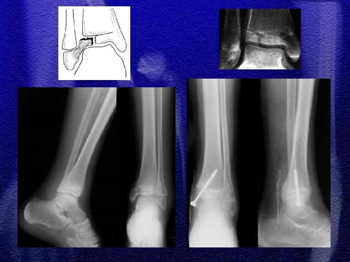
§ W zależności od mechanizmu urazu spotykamy różne typy złuszczeń od I do IV wg Saltera-Harrisa § Złuszczenia typu I i II leczenie zachowawcze gips - 4 tyg. § Złuszczenie typu III i IV leczenie operacyjne - śruby, druty Kirschnera § Złuszczenia wielopłaszczyznowe typ II i III występujące jednocześnie w nasadzie dalszej kości piszczelowej